![]() |
![]() |
![]() |
![]() |
Cantilever Bridge
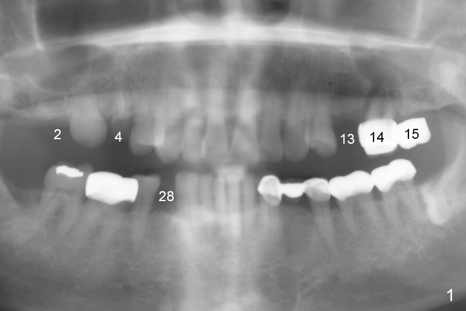
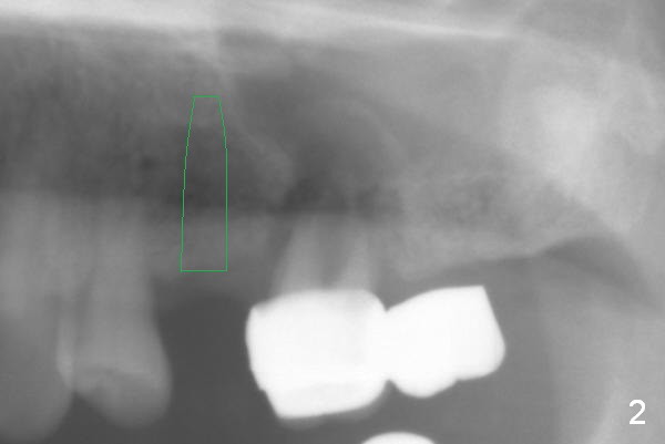
The 72-year-old man will return for #13-15 implantation after that at #2/4 and 28. There is severe wear in the cingula of the upper anterior teeth due to posterior collapse (several missing teeth, residual root and failing restoration, Fig.1). Prior to removal of the cantilever bridge (#14.15), an implant is placed at #13 (Fig.2). If the defect at #14 is too large after extraction, an implant is placed at #15 with an immediate provisional bridge (Fig.3 white line). Otherwise a large implant (possibly Tatum tapered) will be placed at #14 (Clindamycin) with splinted immediate provisional (Fig.4). Allograft is expected for sinus lift at #14 and 15 (Fig.3,4 red circles with Osteogen in 3:1 ratio). For socket preservation at #14, mix equal amount of allograft and Osteogen (Fig.3 pink), followed by Collagen plug (yellow) and the pontic of the provisional bridge. Prepare PRF (3-4 tubes of blood, one of them to be made for a plug).
Return to
Upper
Molar Immediate Implant,
Prevent Molar Periimplantitis (Protocols,
Table), IBS
Xin Wei, DDS, PhD, MS 1st edition 08/18/2016, last revision 01/19/2018