![]() |
![]() |
![]() |
![]() |
![]() |
![]() |
![]() |
|
![]() |
![]() |
![]() |
|
![]() |
|||
Why Place Abutment Immediately Post Implantation?
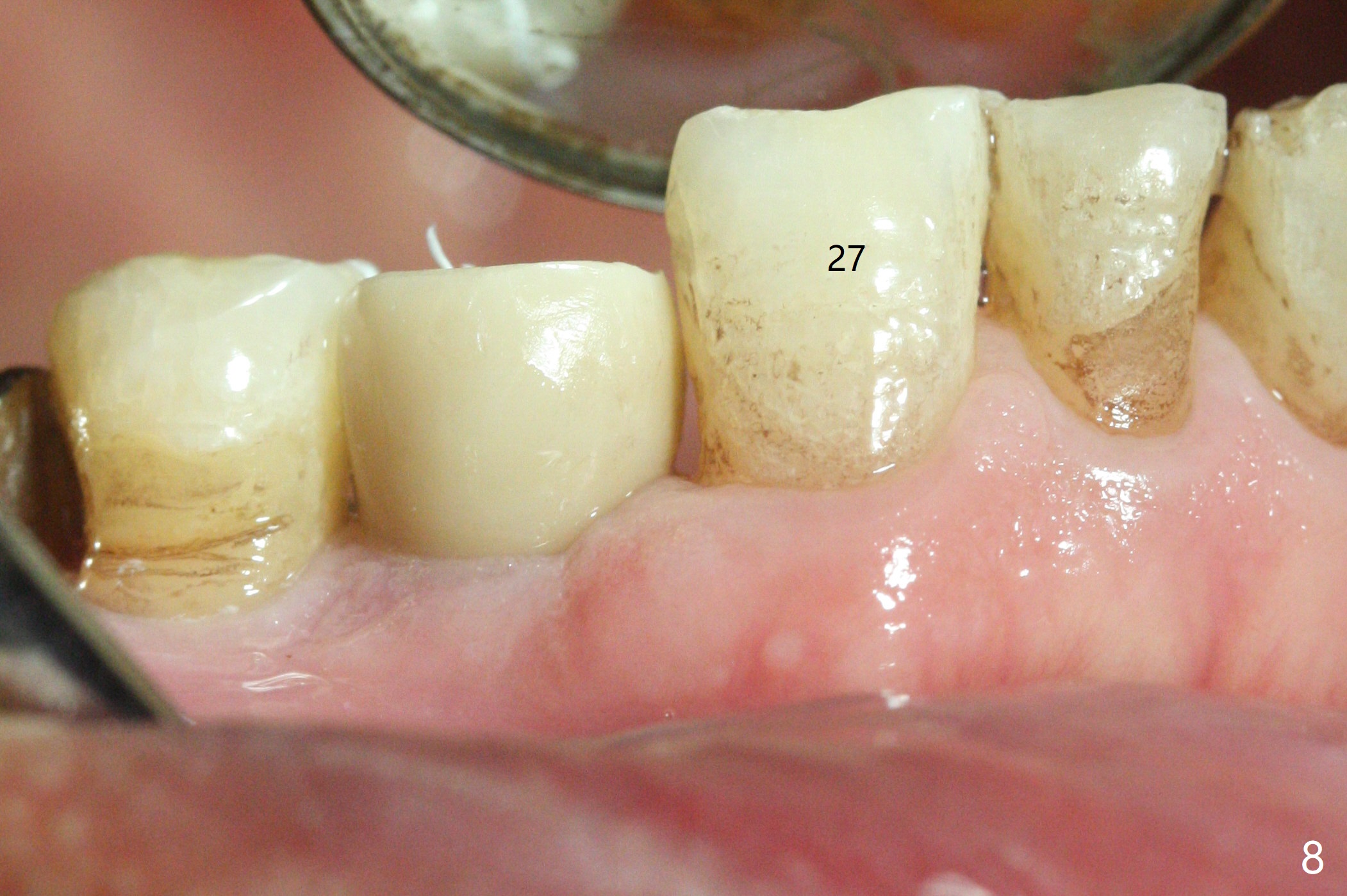
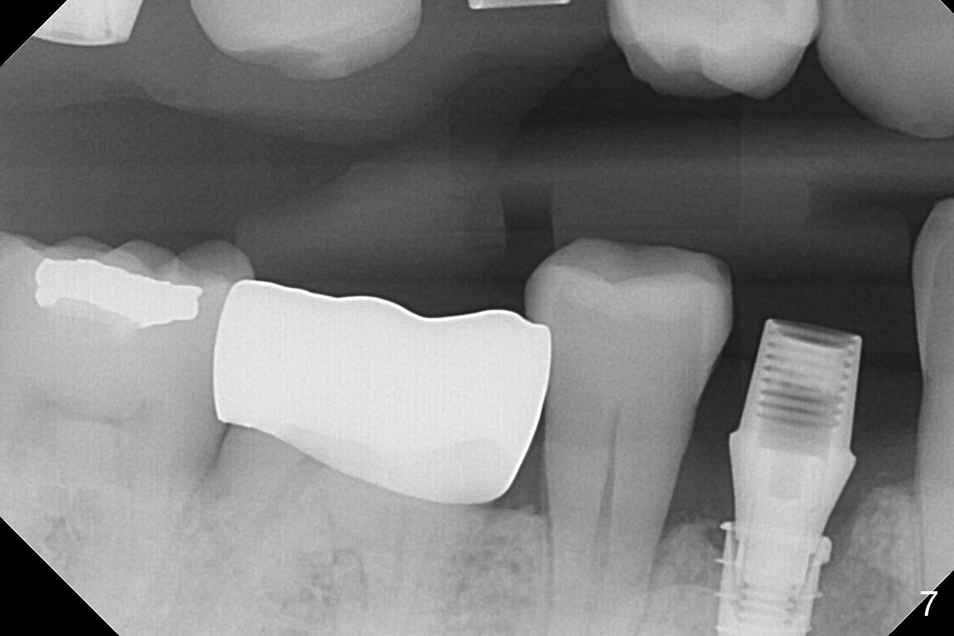
In fact the mesiodistal space of the site of #28 is within normal limit. The buccal plate atrophy is striking (Fig.1) with a fistula (^, associated with underlying residual root tip). When the flaps are raised, the ridge is triangular with the lingual plate (Fig.2 *) higher than the buccal one. Because of the slope, the multiple-drill approach is adopted in stead of single-drill one, because the marking bur is wobbling after 1.6 mm osteotomy at 13 mm (Fig.3). After placement of a 4x11 mm implant, a 4.5x4(2) mm abutment is inserted (Fig.4). The abutment and the implant act as a mesh (framework) so that bone graft and collagen membrane can be laid upon them buccolingually. When the flaps are sutured, there is less tension than that without the abutment. Furthermore, the buccal tissue volume seems to be increased (Fig.5 (<: fistula, which should heal soon), as compared to Fig.1). Tale photos to show effectiveness of the simultaneous GBR and disappearance of the fistula. Three months postop (Fig.6,7 (incomplete abutment seating)), the implant is loaded for intrusion of the opposing supraerupted tooth. The patient returns with chief complaint of food impaction between #27 and 28 three years 7 months post cementation; there is an open contact. Before pick up impression the distal convex surface of #27 is trimmed. The repaired crown has tight proximal contacts before (Fig.9,10) and after (Fig.11) retightening and cementation.
Return to
Lower Premolar Immediate
Implant,
IBS (#30),
#2/4,
13-15,
Prevent
Screw Loosening
Xin Wei, DDS, PhD, MS 1st edition 12/06/2016, last revision 02/02/2020