![]() |
![]() |
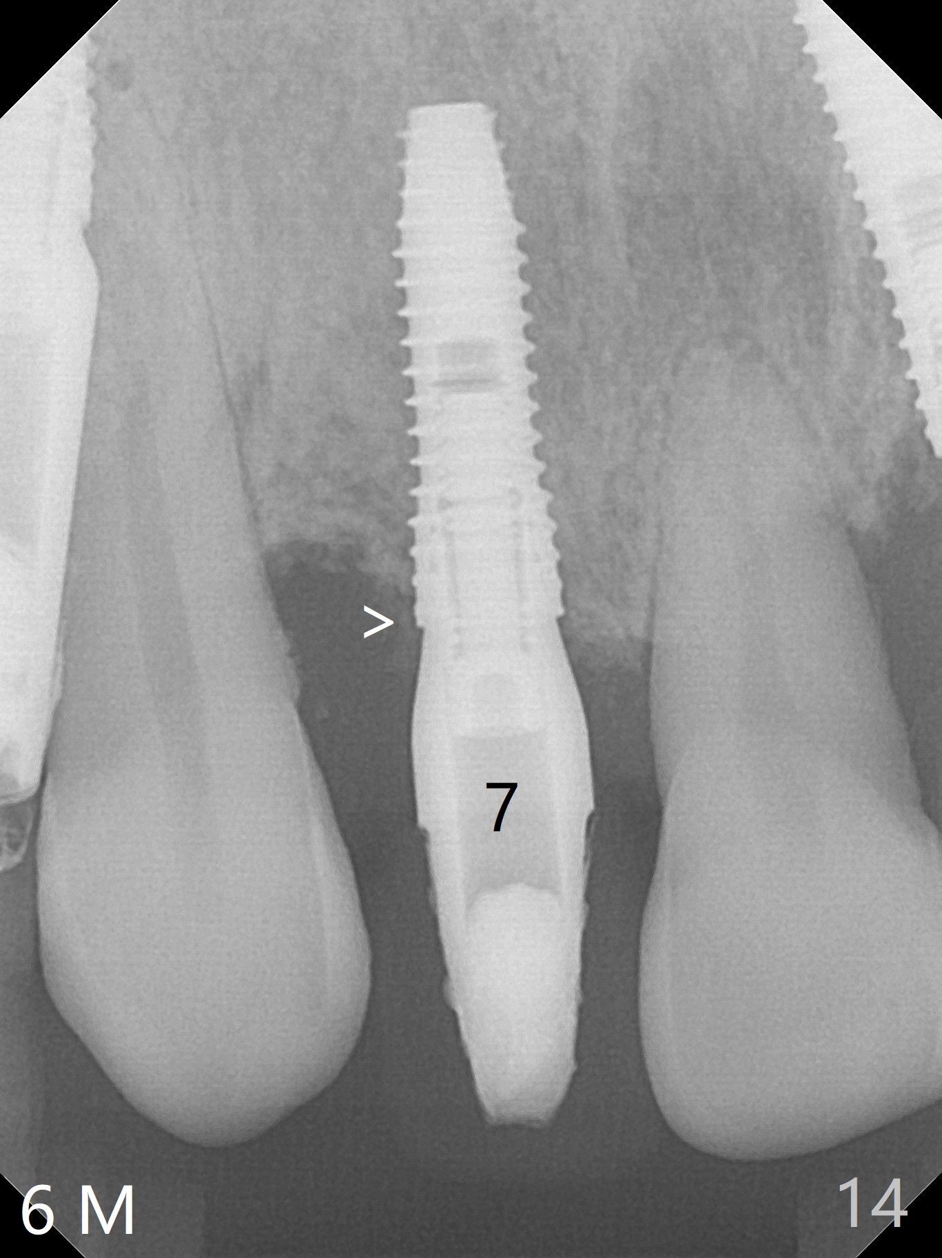
When a 3.8x13 mm implant is placed at #7 (50 Ncm), an angled abutment is used (Fig.4, 4.5x15°(A)5 mm). The distal threads appear to have been covered by the regenerated bone 6 months postop (Fig.14 >).
Long Implants 2nd Implant Surgery Last Next
Xin Wei, DDS, PhD, MS 1st edition 02/24/2017, last revision 03/02/2019