![]() |
![]() |
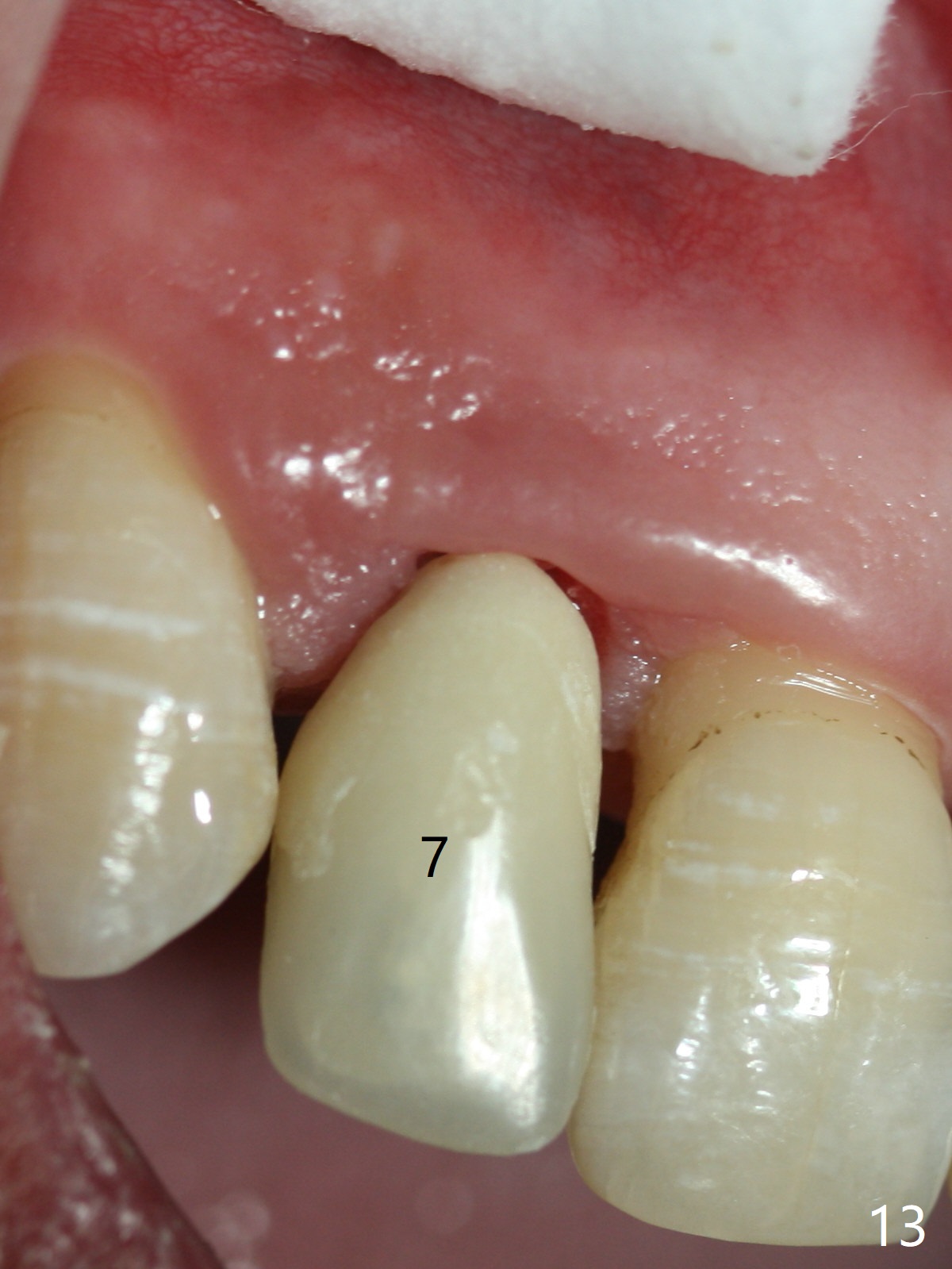
The tooth #7 has receded gingiva preop (Fig.1). The gingiva appears to have regenerated with a provisional (margin just modified) 6 months postop (Fig.13).
Long Implants 2nd Implant Surgery Last Next Xin Wei, DDS, PhD, MS 1st edition 02/24/2017, last revision 03/02/2019