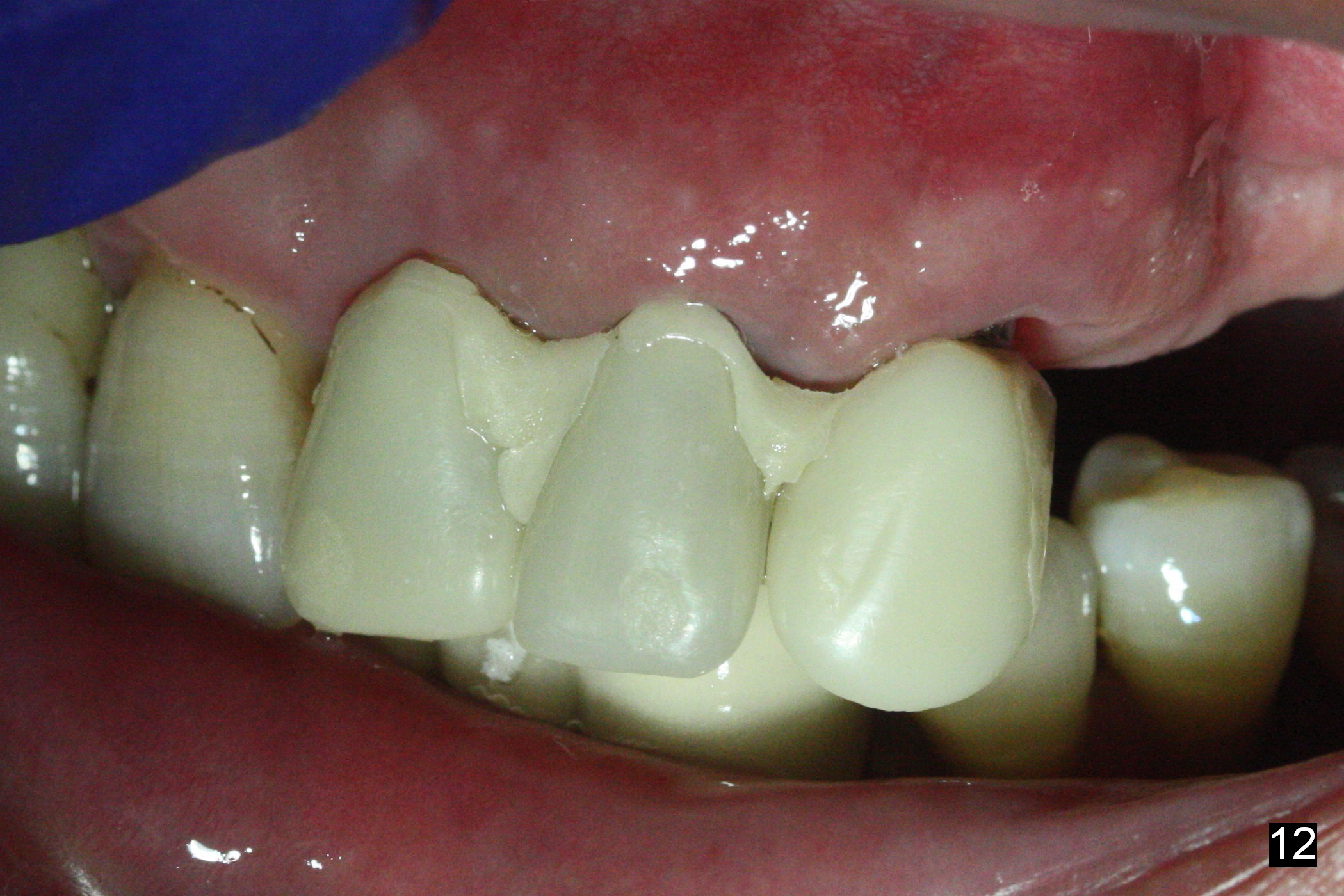
Fig.12: The provisional post trimming.  No cement is used.

Long Implants Last Next

Xin Wei, DDS, PhD, MS 1st edition 03/04/2017, last revision 03/02/2019