![]() |
![]() |
|
![]() |
![]() |
|
![]() |
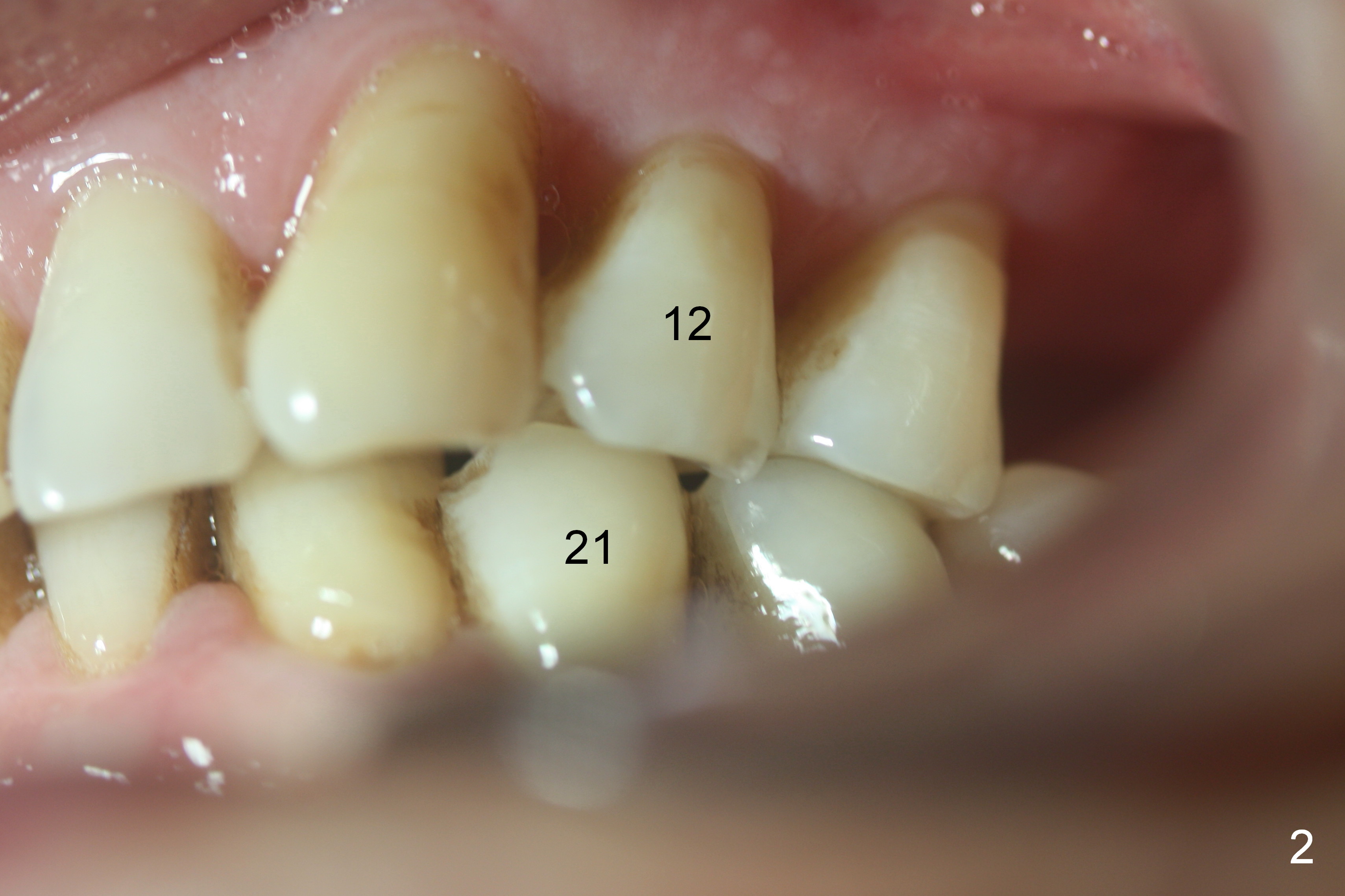
Provisional-Induced Intrusion
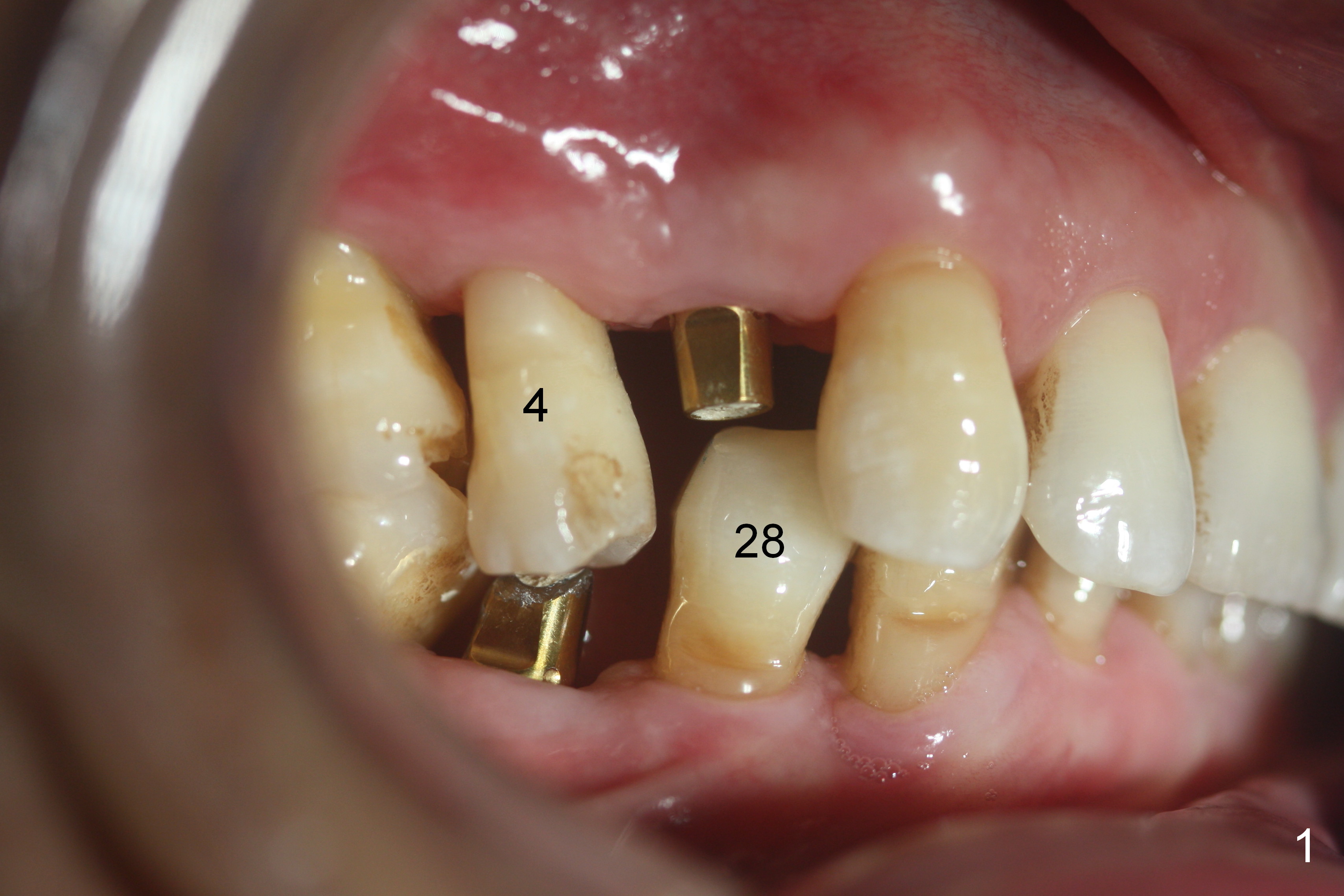
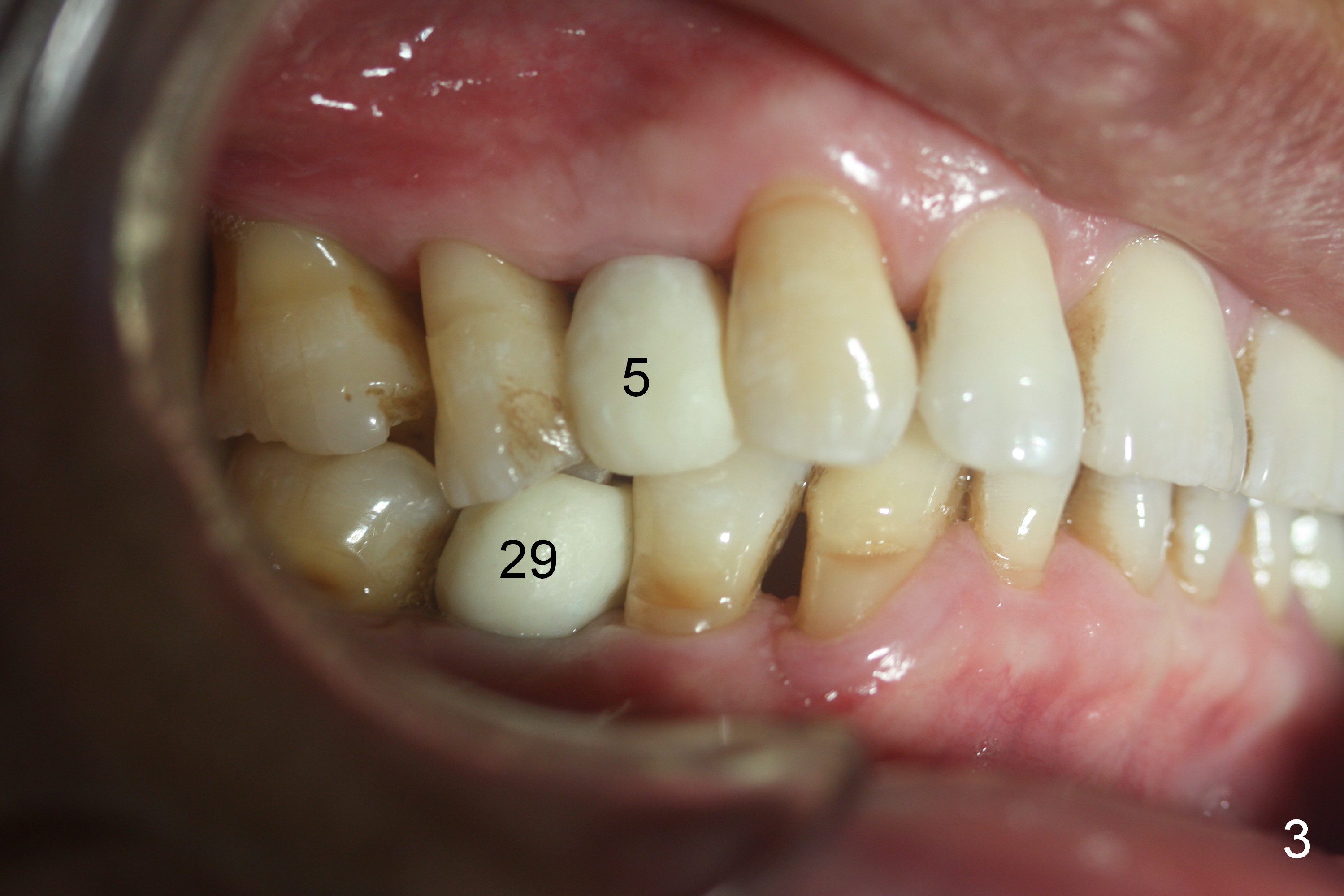
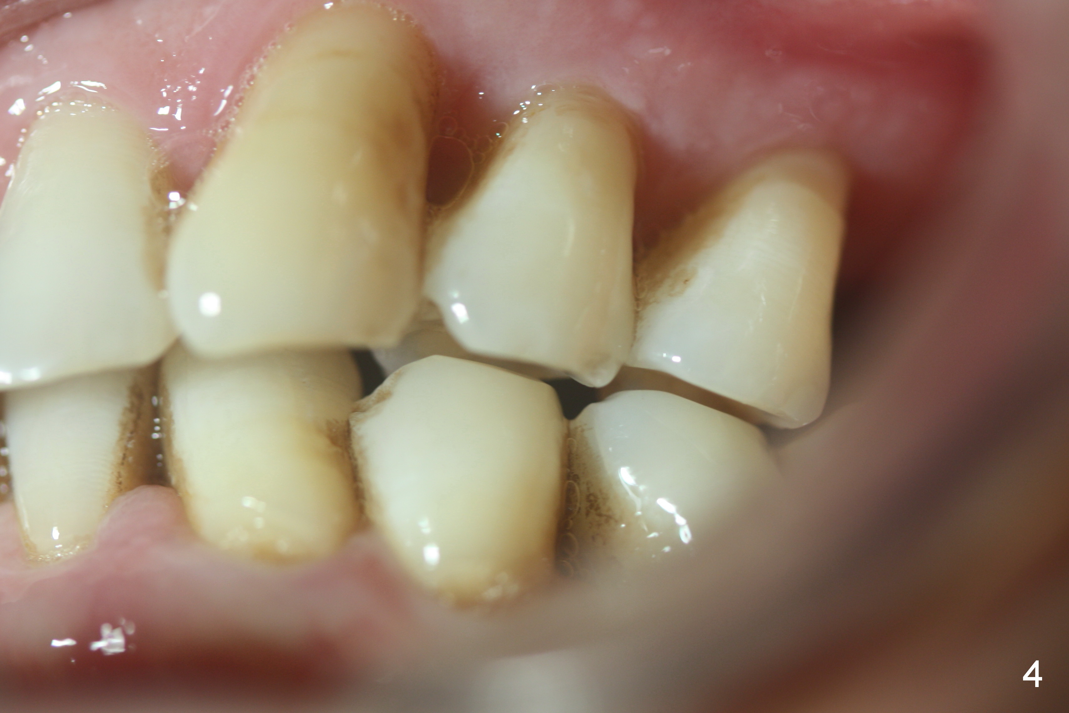
When cemented abutments are placed at #5 and 29, there is limited space for restoration due to supraeruption of the opposing teeth (Fig.1), whereas the occlusion at the left side is normal. The patient refuses orthodontic treatment or mini-implant placement. Provisionals are fabricated at #5 and 29 with intentional stop (Fig.3) to intrude the teeth #4 and 28. At the same time, the rest of dentition has clearance (Fig.4).
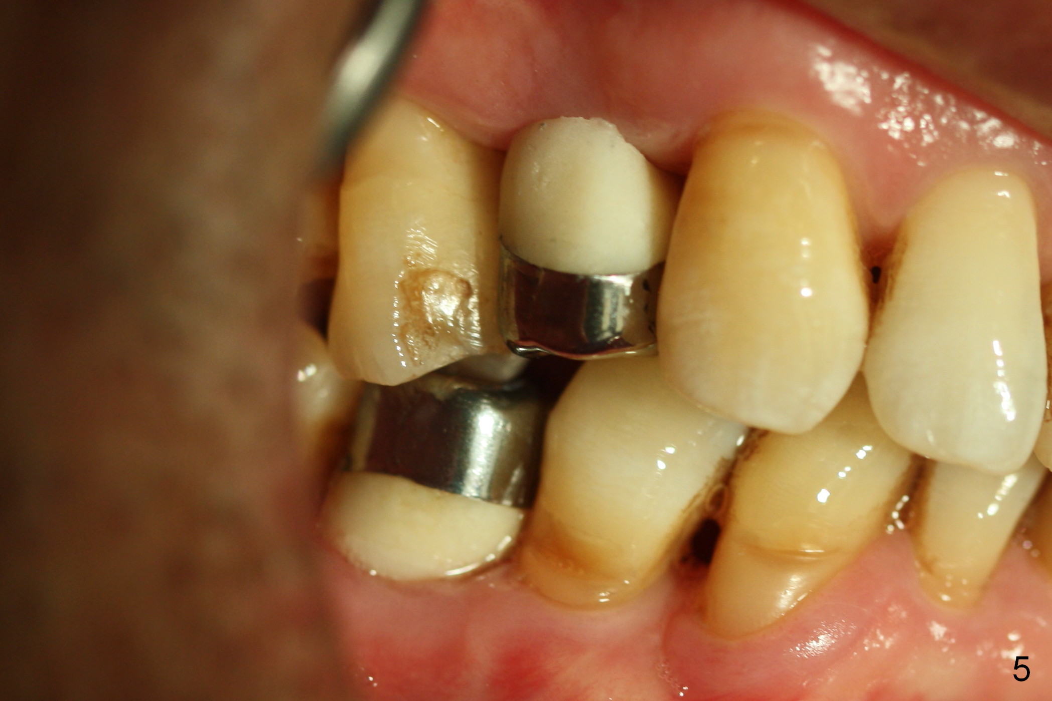
Within the first month, the acrylic provisonals fracture and are replaced with stainless steel crowns (Fig.5). The upper one has to be cemented with a permanent cement. In fact, the provisional-induced intrusion is not successful. After occlusal adjustment, impression is taken for #5 and 29. Photos will be taken either prior to or after cementation.
Return to
Full Arch Reconstruction,
Implant & Ortho
2
Xin Wei, DDS, PhD, MS 1st edition 08/01/2016, last revision 02/19/2017