![]() |
![]() |
![]() |
![]() |
||
When Not Place Immediate Provisional?
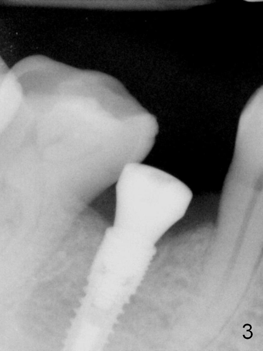
Partial edentulism with or without partial denture (especially in males) is more likely associated with implant failure than full dentition. Mr. Wang has lost several teeth (including #29, Fig.1) with secondary malocclusion, particularly supraeruption of the tooth #4. When a 3.8x10 mm submerged implant is placed with insertion torque >35 Ncm (Fig.2), an immediate provisional is selectively not placed to avoid micromovement. Instead, a healing abutment (5.2x5(3 mm) is placed immediately. For wound protection, periodontal glue and periodontal dressing are supplemented after suturing. Due to severe supraeruption of the tooth #4, the patient feels mild pain when he bites down heavily, a few hours postop. It is possible that the supraerupted tooth touches the periodontal dressing. The implant appears to be osteointegrated 4 months postop (Fig.3). A provisional is fabricated after placement of a cemented abutment (4.8x5(3) mm) to intrude the opposing tooth. There is no bone loss 2.5 years post cementation (Fig.4 CT).
Return to
Lower
Bicuspid Immediate Implant,
Upper Arch Reconstruction,
Posterior Immediate Provisional, #5,
14/15,
2
Xin Wei, DDS, PhD, MS 1st edition 03/28/2016, last revision 06/12/2019