![]() |
![]() |
![]() |
|
![]() |
![]() |
![]() |
![]() |
![]() |
![]() |
![]() |
|
![]() |
![]() |
![]() |
|
![]() ![]() |
|||
Angled vs. Straight 1-Piece Implants
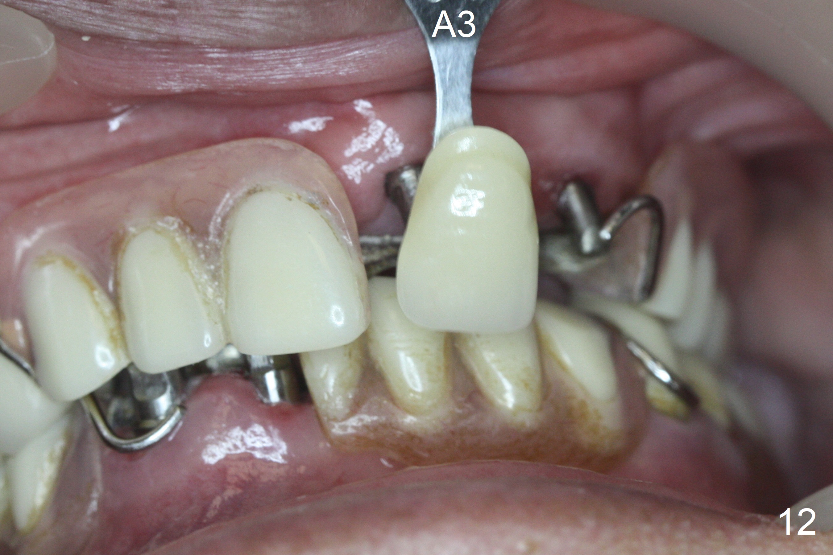
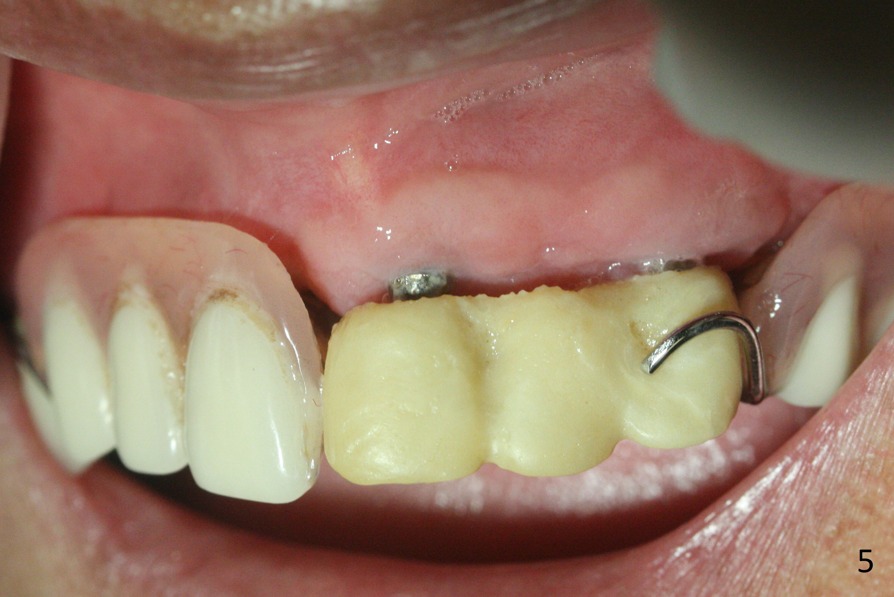
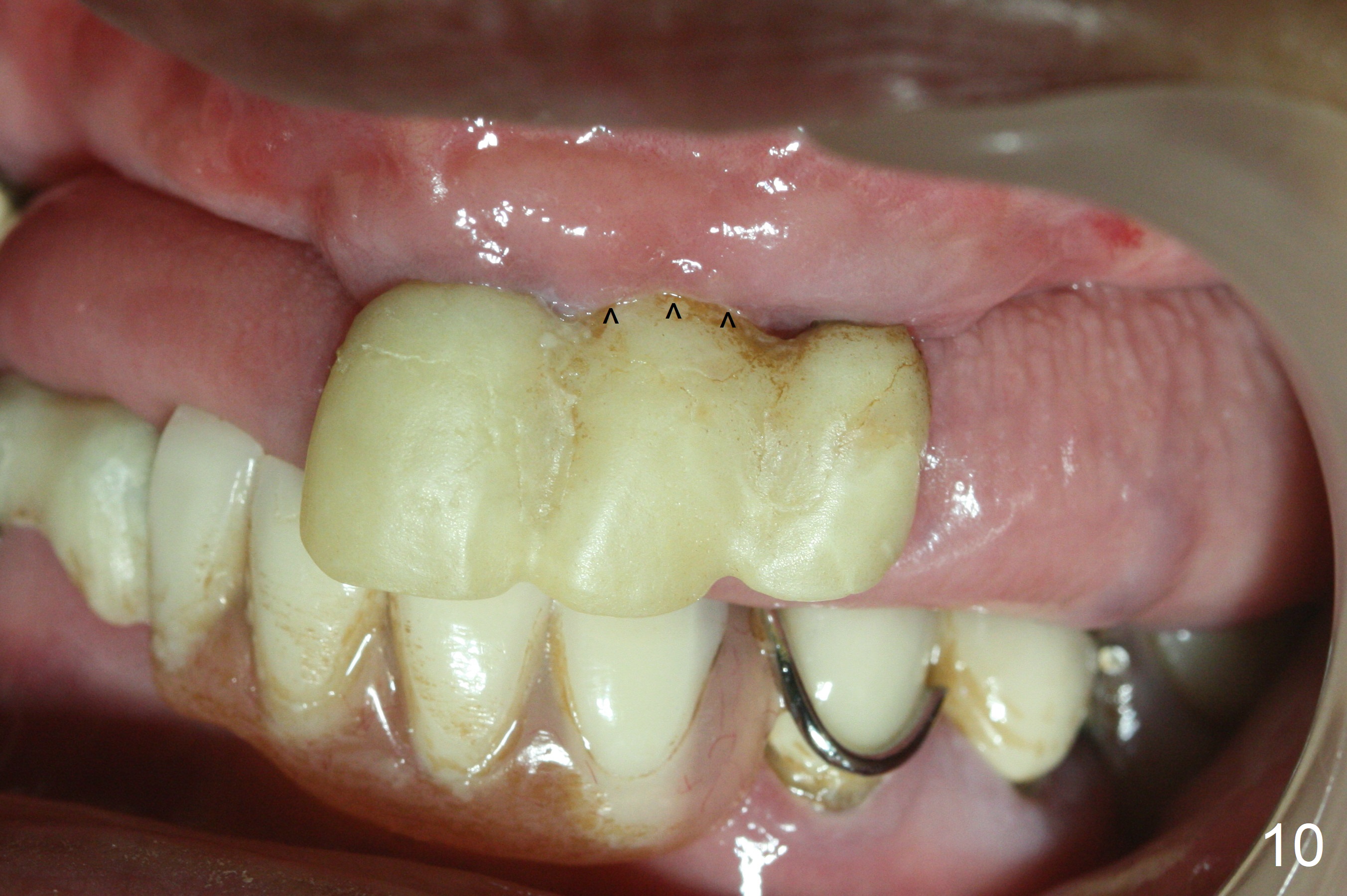
Incision reveals that the ridge at #9 and 11 is narrower than expected. A 3x14 mm 15º 1 piece implant is placed at the site of #9, while a 3x17 mm straight 1-piece one is placed at #11 (Fig.1,4). Insertion torques at #9 and 11 are 20 and 30 Ncm, respectively. The relatively low insertion torque is partially due to osteoporosis. The 65-year-old lady also has dry mouth. Osteotomy should be underprep. The position and trajectory of the implants are dictated by the partial denture (Fig.2). After minor abutment adjustment (Fig.3), an immediate provisional bridge is fabricated. There is no interference when the partial is removed and inserted. After bone graft (Fig.4 ^) and Osteogen Membrane, the ridge (Fig.3) is wider than before. The patient returns for reline 2 months postop (Fig.5-7). In spite of insufficient oral hygiene, the gingiva remains healthy around the implants. To form distinct papillae, acrylic should be added to (Fig.8 yellow line) and removed from (hushed area) the individual provisional crowns. One month after provisional modification (Fig.10, as compared to Fig.5), the pontic recipient site is concave (Fig.11) and becomes less concave after cord packing and abutment trimming. When the provisional bridge is reseated after impression (Fig.12), the pontic recipient site must be blanched again. Please trim the pontic recipient site of the model ~ .5 mm to enhance cosmetics. Water Pik has been used since surgery, but it may be related to loss of bone graft 3.5 months postop (Fig.9 *). One month post cementation, the patient has complained of pain when water pik is irrigating the gingiva palatal to the FPD, apparently in association with denture-related Candidiasis. Two weeks of use of Mycostatin Oral Suspension, peri-implantitis or peri-implant mucositis-like signs and symptoms disappear (Fig.13). CBCT taken 6 months postop confirms that the implants appear to be have been placed in the bone (14,15). The FPD appears to be loose 2.5 years post cementation.
Return to
Upper Arch Implant Reconstruction,
IBS,
Systemic Diseases,
26/27, 1-Piece,
Atrophic Ridge
Xin Wei, DDS, PhD, MS 1st edition 04/15/2017, last revision 05/03/2020