![]() |
![]() |
![]() |
|
![]() |
![]() |
![]() |
|
![]() |
![]() |
![]() |
|
Multiple Missing Teeth
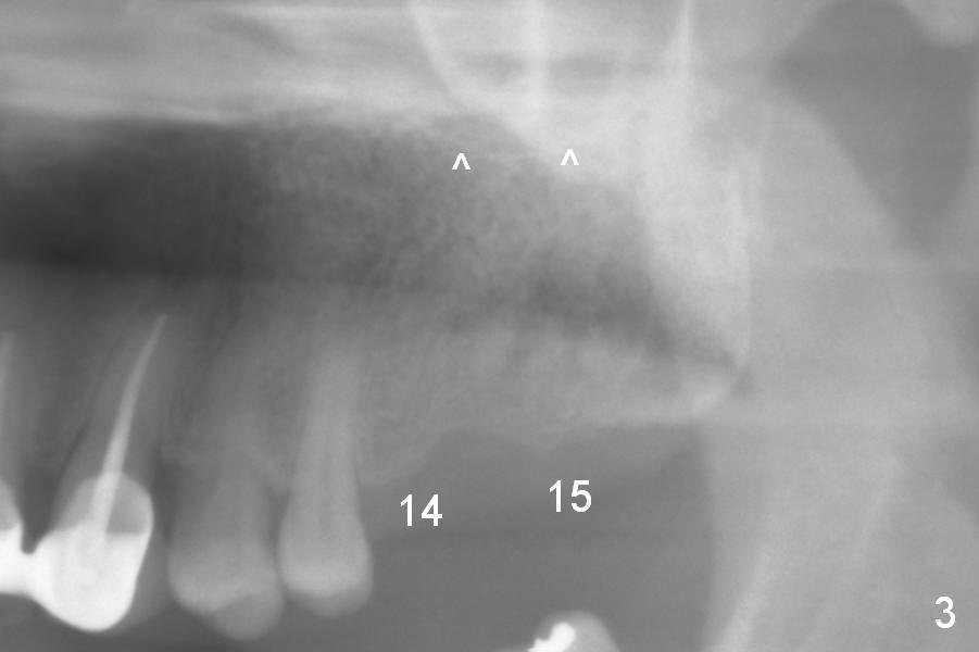
A 52-year-old man has multiple missing teeth. Since he has a lower partial denture (Fig.5), implants will be placed at the sites of #14 and 15 first (Fig.1). The site of #14 may need bone expansion if bone density is low, whereas the ridge at #15 is wide (Fig.2). There is no problem in height at the sites of #14 and 15 (Fig.3).
The buccolingual width at the sites of #19 and 21 appears narrow (Fig.4). On the other hand, the mesiodistal width at #19 seems to be wider than one molar and narrower than two (Fig.4-6). If CBCT and/or surgery confirms that the buccolingual bony width is narrow, two small diameter implants will be placed with restoration of two bicuspids.
CBCT confirms that the ridge at #14 is narrower than that at #15. In contrast, the bone density is lower at #15 than that at #14 (Fig.7-9). If the keratinized tissue is wide, use 4 mm tissue punch (3 mm from #13). If incision is made, wheel saws will be used to split the ridge. Or use Magic split and osteotomes. Bone expanders are going to be used for bone expansion at #14 and bone condensation at #15 (Fig.8,9). Be careful while using bone expanders at #14, since the bone density is higher. There is a chance of plate fracture. Use drills if indicated. Fabricate splinted provisional after placement of abutments.
Return to Full Arch Reconstruction,
IBS
#8/9
10
24/25
19/21/30
Xin Wei, DDS, PhD, MS 1st edition 12/19/2015, last revision 05/24/2019