![]() |
![]() |
2.5 or 3 mm 1-Piece Implants
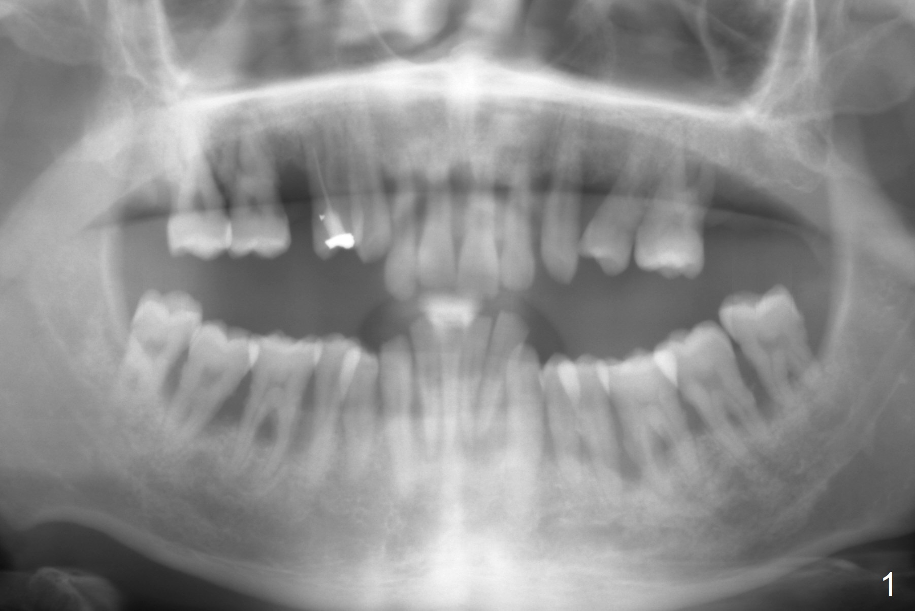
A 36-year-old man has generalized periodontitis (Fig.1). The mobile lower incisors will be extracted for immediate provisional FPD (Fig.2). The initial depth will be 16 mm. Get ready 2 of 1.2 mm drill. If the affected teeth are well aligned, take Alginate impression for surgical stent. In fact the patient has taken CT, which shows narrow 2-piece implants appropriate for the sites.
Return to
Lower Incisor Immediate Implant,
IBS,
Metronidazole
Xin Wei, DDS, PhD, MS 1st edition 08/21/2017, last revision 01/19/2018