![]() |
![]() |
![]() |
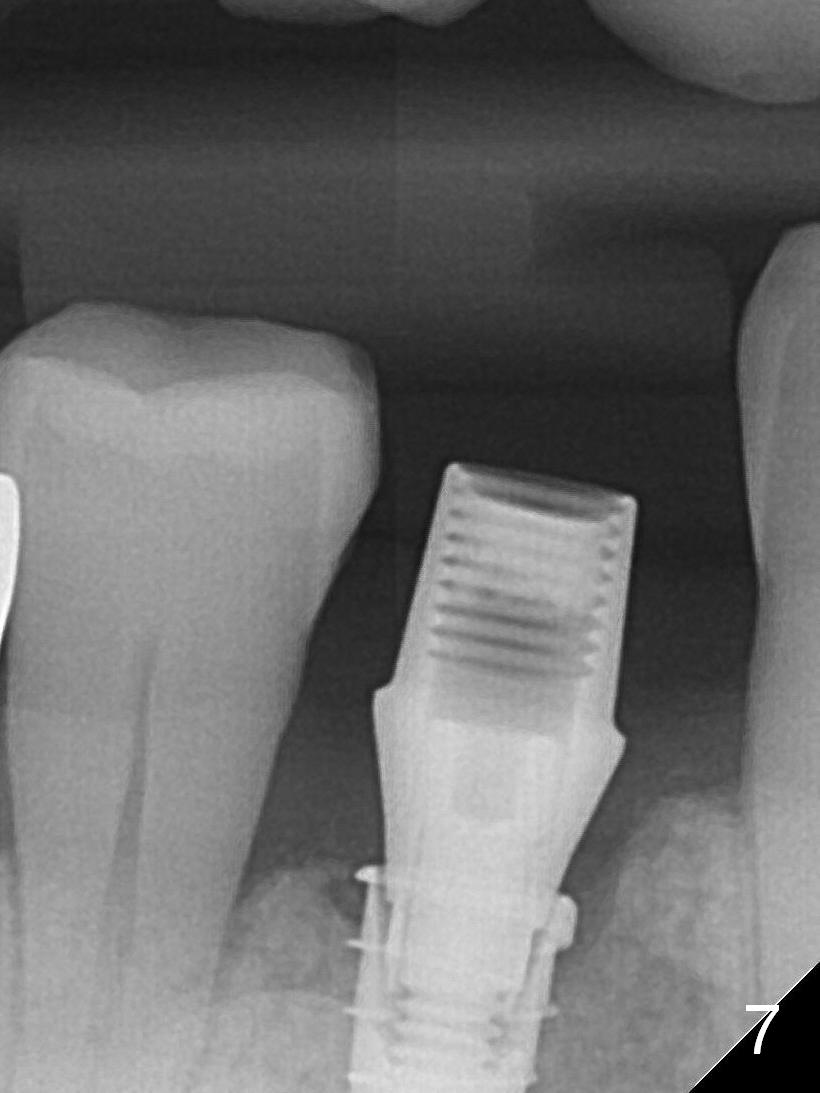
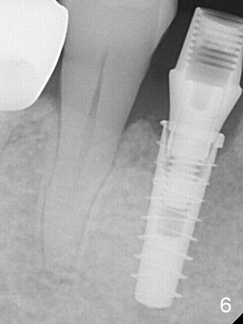
After placement of a 4x11 mm implant, a 4.5x4(2) mm abutment is inserted (Fig.4). Three months postop (Fig.6,7 (incomplete abutment seating (hand tightening))), the implant is loaded for intrusion of the opposing supraerupted tooth.
Immediate Abutment Last Next Xin Wei, DDS, PhD, MS 1st edition 12/06/2016, last revision 02/02/2020