In fact, the buccolingual width of the ridge is sufficient to have a 4.5x11.5 mm implant placed (Fig.4,5, D3 bone, <35 Ncm).  Proximal reduction is done before and after placement of a 5.5x4(3) mm abutment.  Heavy abutment height adjustment is provided as well as the opposing prior to immediate provisional.

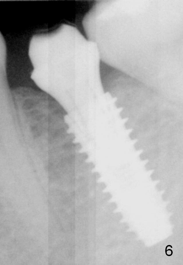
There is no bone loss 3 months postop (Fig.6).  Mesial laser gingivectomy and lingual margin prep are conducted prior to impression.

Narrow Mesiodistal Space

Xin Wei, DDS, PhD, MS 1st edition 07/21/2016, last revision 07/21/2016