![]() |
![]() |
|
![]() |
![]() |
![]() |
![]() |
||
Proximal Reduction of the Neighboring Teeth
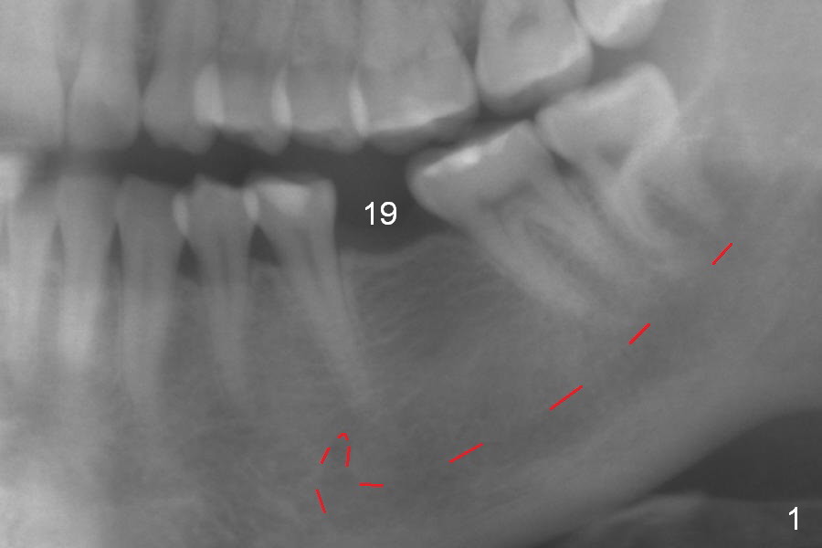
A 31-year-old woman agrees to have implant at #19 (Fig.1) after redoing MOL composite at #20 (Fig.2 *). The edentulous mesiodistal space is narrow (~ 6 mm in Fig.3). If the buccolingual bone width is found to be good after incision, a large implant is preferred. To gain space mesiodistally, the proximal surfaces of the neighboring teeth will be reduced (Fig.2 blue curved lines).
In fact, the buccolingual width of the ridge is sufficient to have a 4.5x11.5 mm implant placed (Fig.4,5, D3 bone, <35 Ncm). Proximal reduction is done before and after placement of a 5.5x4(3) mm abutment. Heavy abutment height adjustment is provided as well as the opposing prior to immediate provisional.
There is no bone loss 3 months postop (Fig.6).
Return to Lower Molar Immediate Implant
Xin Wei, DDS, PhD, MS 1st edition 04/04/2016, last revision 07/21/2016