![]() |
![]() |
![]() |
|
![]() |
![]() |
![]() |
![]() |
![]() |
![]() |
![]() |
![]() |
![]() |
![]() |
![]() |
![]() |
Hexed Temporary Abutment
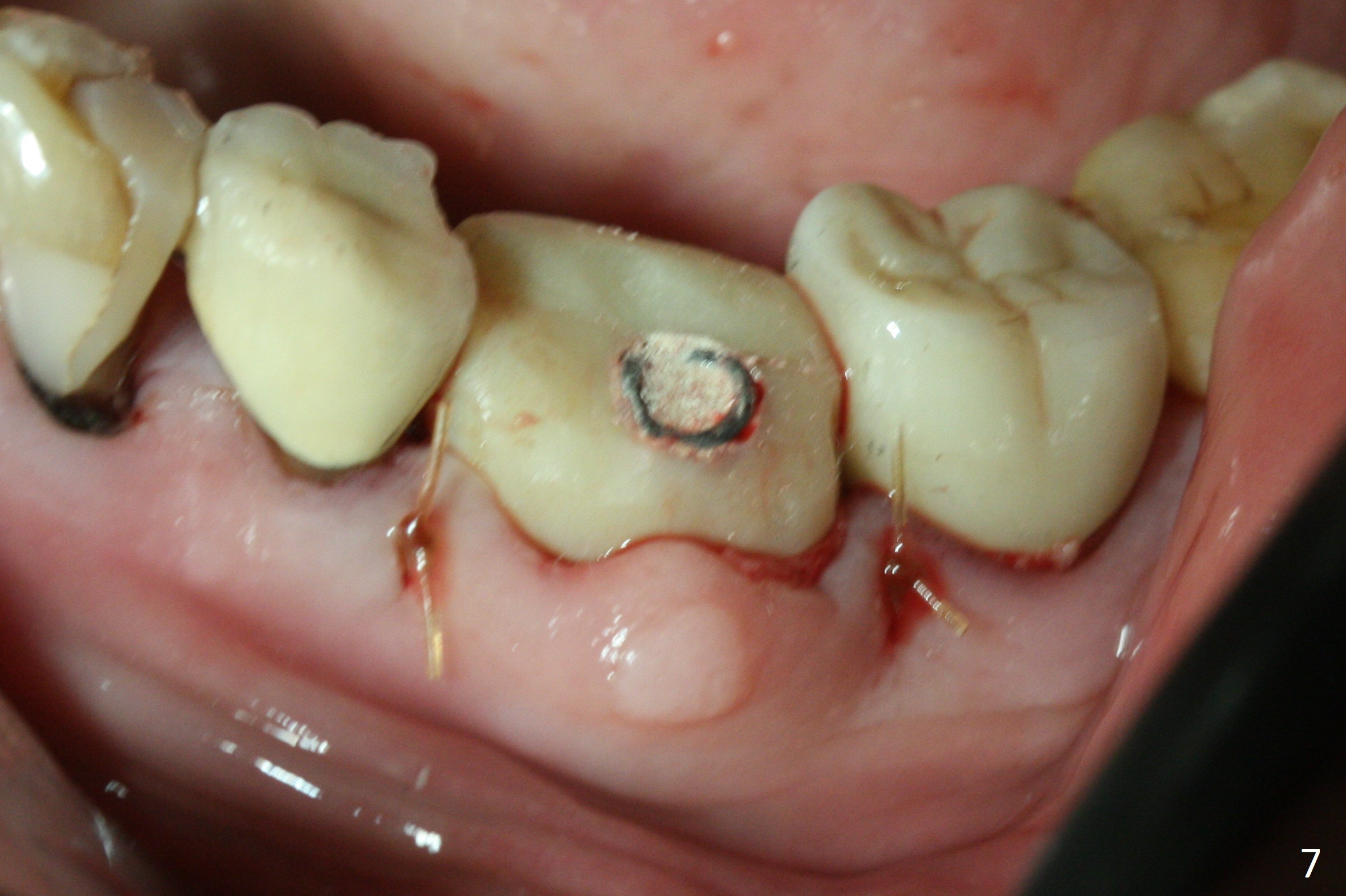
Extraction of the residual roots at #19 (Fig.1) is difficult, partially due to the hard one. The latter contributes to primary stability of 5x10 mm IS implant placed in the septum (Fig.2 (*),3). After change of cementation abutment (5.2x4.5(2) mm (short for provisional)) to hexed temporary abutment (5.2x8(2) mm), Collagen plug and Vera Graft are placed in the remaining mesial and distal socket (Fig.4 *). The last PA is taken when the temporary abutment (Fig.6 (<: hexed portion)) and provisional (P) are removed for modification. Before the abutment/provisional complex returns, a 2nd round of graft is placed (Fig.5 *). After the complex is seated, a 3rd round of graft is placed buccally (Fig.7). The temporary abutment is retightened 2 months postop (Fig.8). The implant appears to be osteointegrated 3.5 months postop (Fig.9). The gingiva looks healthy with (Fig.10) and without the provisional (Fig.11,12). It appears that there is no or minimal buccal plate loss. After insertion of a 5.7 x3 mm 15 degree (B-type) angled abutment (Fig.13) and height adjustment, impression is taken. The provisional is reseated after impression. The mesial bony defect seems to have been repaired nearly 8 months postop, 3 months post cementation (Fig.14 *). The bone density increases mesially 11 months post cementation (Fig.15).
Return to
Lower
Molar Immediate Implant, Prevent
Molar Periimplantitis (Protocols,
Table),
Armaments,
#31,
21,
10 Screw
GEM21S
Cases
Expect to Form Lamina Dura
Xin Wei, DDS, PhD, MS 1st edition 11/06/2017, last revision 03/31/2020