![]() |
![]() |
![]() |
![]() |
![]() |
Depth Control in Native Bone for Immediate Implant
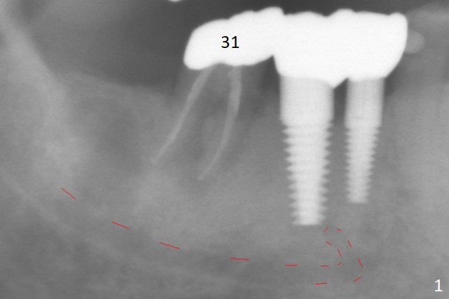
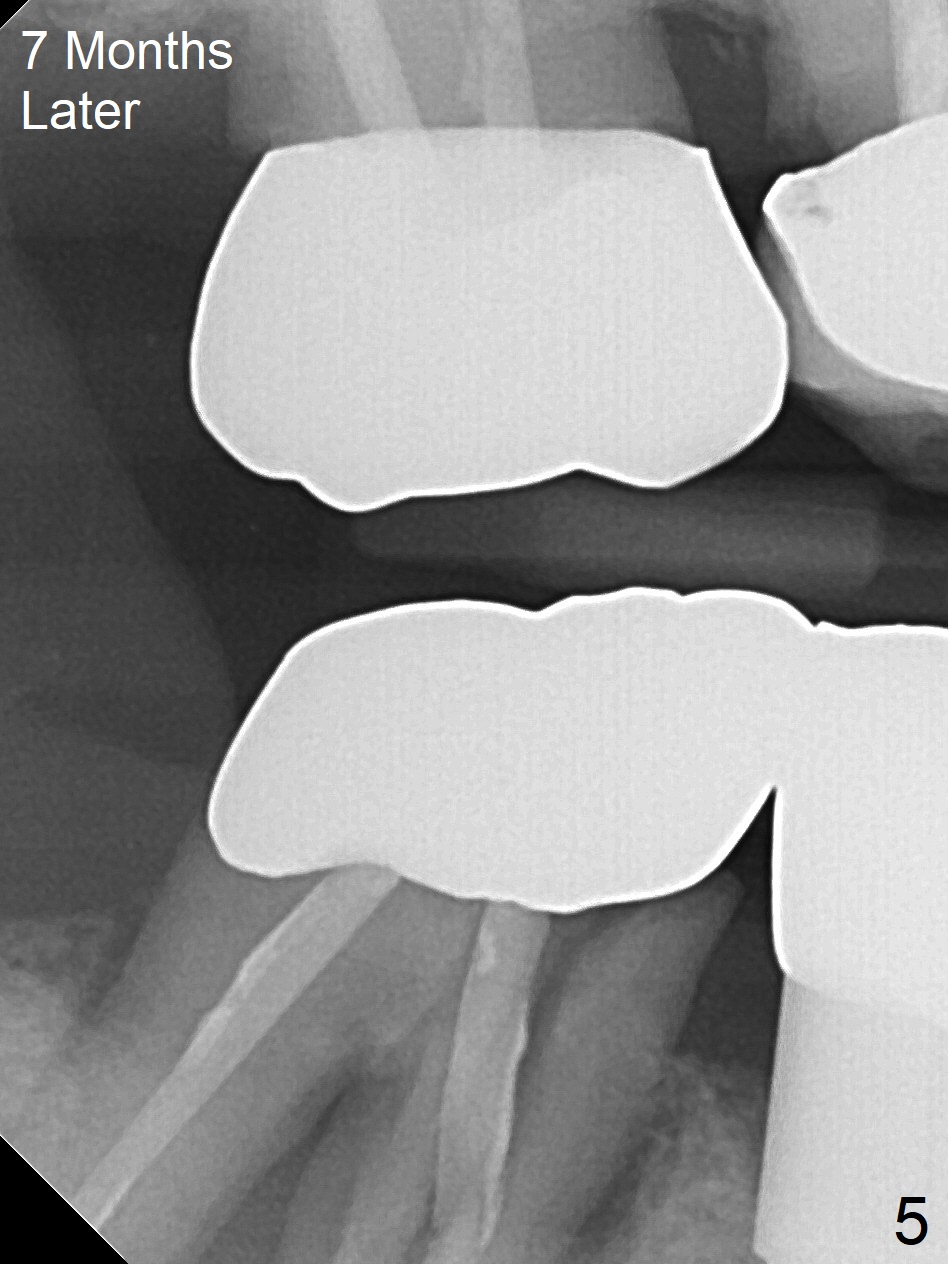
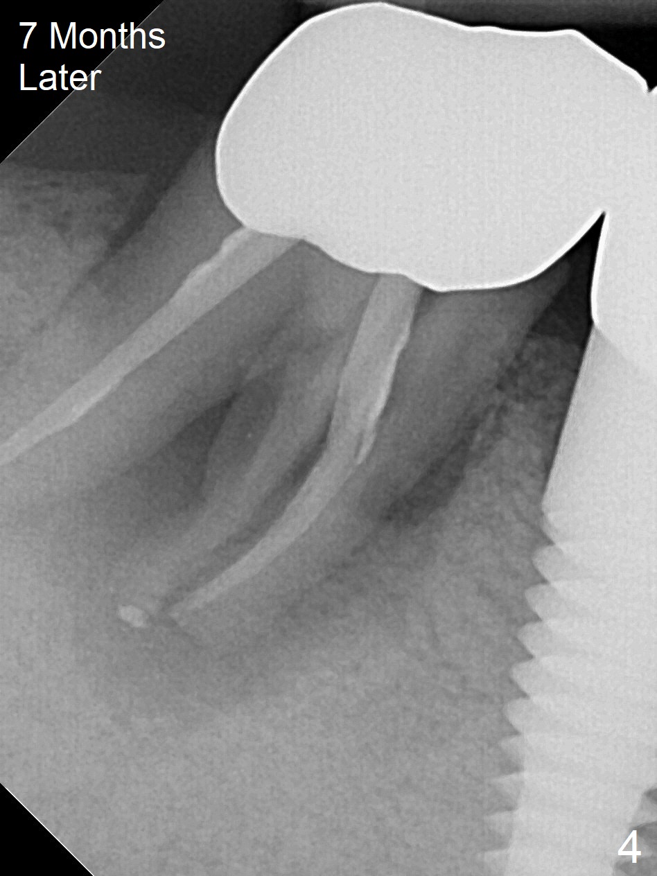
A 87-year-old man was asymptomatic with the tooth #31 eight months earlier (Fig.1), as compared to now (Fig.2). After extraction, osteotomy will be initiated in the septum (where there is more bone height) using IS 6 mm stopper (Fig.3 red line), followed by PA. If PA does not show the Inferior Alveolar Canal (Fig.1 red dashed line), take panoramic X-ray. A 5.5x13 mm implant will be placed (7 mm may not be covered by the native bone). The mesial root vertical root fracture is more obvious 7 months later (Fig.4,5).
Return to
Lower
Molar Immediate Implant, Prevent
Molar Periimplantitis (Protocols,
Table),
Armaments,
No Antibiotic, #19
Xin Wei, DDS, PhD, MS 1st edition 11/13/2017, last revision 02/11/2019