![]() |
![]() |
New Rongeur
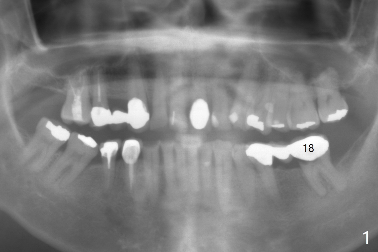
A 63-year-old man has lots of restoration (Fig.1), including #18-20 3-unit FPD. The latter has been sectioned to confirm non-salvageability of the tooth #18. After extraction and debridement, use a Rongeur purchased recently to flatten the pointed septum if present. Osteotomy is initiated with 1.6 mm and 2 mm pilot drills (parallel pin, PA), followed by sequential Magic Drills. If the septum is absent, use IS short stoppers to make osteotomy in the native bone (from the bottom of the socket). An incision will be made at the site of #19. If the edentulous ridge turns out to be narrow, choose a 1-piece implant. Otherwise use a Magicore. Take photos of the tooth #18 prior to extraction.
Return to Lower Molar Immediate Implant, Prevent Molar Periimplantitis (Protocols, Table), Armaments, No Antibiotic 24/25 RCT Xin Wei, DDS, PhD, MS 1st edition 10/29/2017, last revision 11/09/2019