![]() |
![]() |
|
![]() |
![]() |
![]() |
Lower Incisor Wear
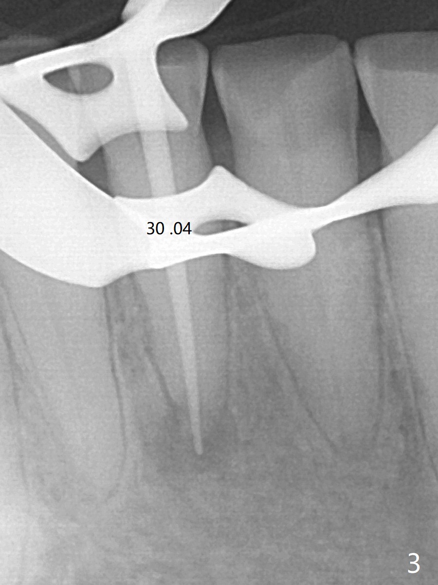
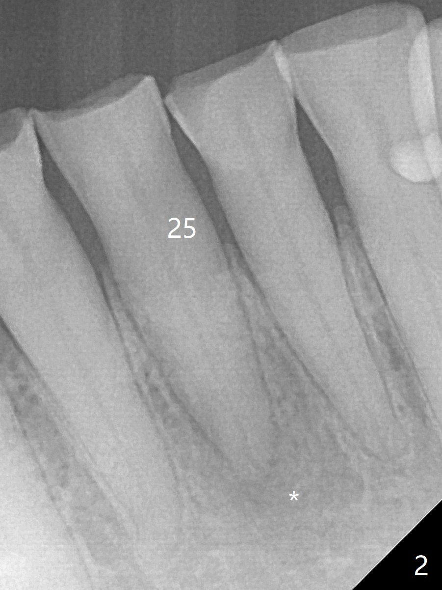
A 64-year-old man has multiple restoration and loves to eat crab. The lower incisors have severe wear. The tooth #25 is discolored with pulpal exposure and periapical radiolucency (Fig.1, 2 *). After insertion of 30/.04 master cone (Fig.3 (1 year 3 months post diagnosis)), RCT is finished with BioRoot RCS (bioceramic) and single GP (Fig.4). Nearly 10 months later, the patient returns with sinus track associated with the tooth #24 with PARL (Fig.5 *).
Return to
Lower
Incisor Immediate Implant,
Trajectory II
Professionals
Xin Wei, DDS, PhD, MS 1st edition
11/09/2019, last revision
11/10/2019