![]() |
![]() |
![]() |
![]() |
![]() |
![]() |
![]() |
![]() |
综合治疗(计划中)
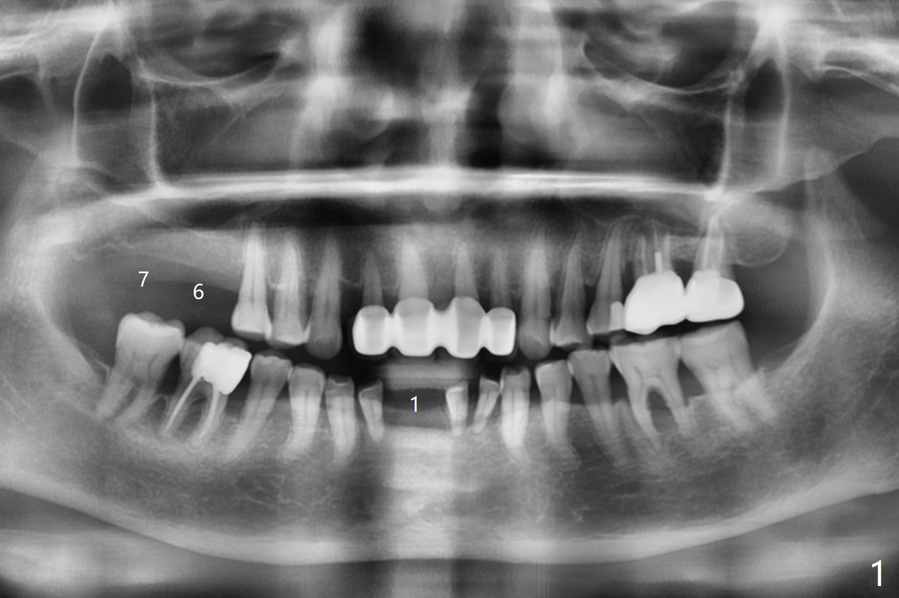
56岁女牙周炎,失去右上6,7以及右下1,后者缺牙间隙特别宽,其余切牙往颊侧移位(flare,病人不愿意拔除,图一)。右上植牙修复后(图二,三),下前牙种植(图四,五(选择窄植体)),建立正常覆盖,同时在邻近切牙唇侧植骨(图七,八:红线)。四-六个月后做局部矫正:使用植牙作为支抗将颊侧移位的前牙(牙冠)往舌侧推移(图七,八:蓝箭头),而牙根可能往唇侧移位(图六:红箭头),所以事先植骨(图七,八:红线)重要。矫正后3-3舌侧放置钢丝树脂固定。Jennifer: #25 implant and crown should be lingualized, as compared to the rest of the lower incisors (flared). After osteointegration, ortho will be conducted to correct the flaring using #25 implant as an anchor.
Return to
No Caries
1-piece
手术
Xin Wei,
DDS, PhD, MS 1st edition 10/24/2020, last revision
12/30/2020