![]() |
![]() |
![]() |
|
![]() |
![]() |
![]() |
|
![]() |
![]() |
![]() |
|
![]() |
![]() |
![]() |
|
![]() |
![]() |
![]() |
|
![]() |
![]() |
![]() |
|
![]() |
![]() |
![]() |
![]() |
![]() |
![]() |
![]() |
|
![]() |
![]() |
![]() |
|
![]() |
![]() |
![]() |
|
![]() |
|||
粘性骨板塑形
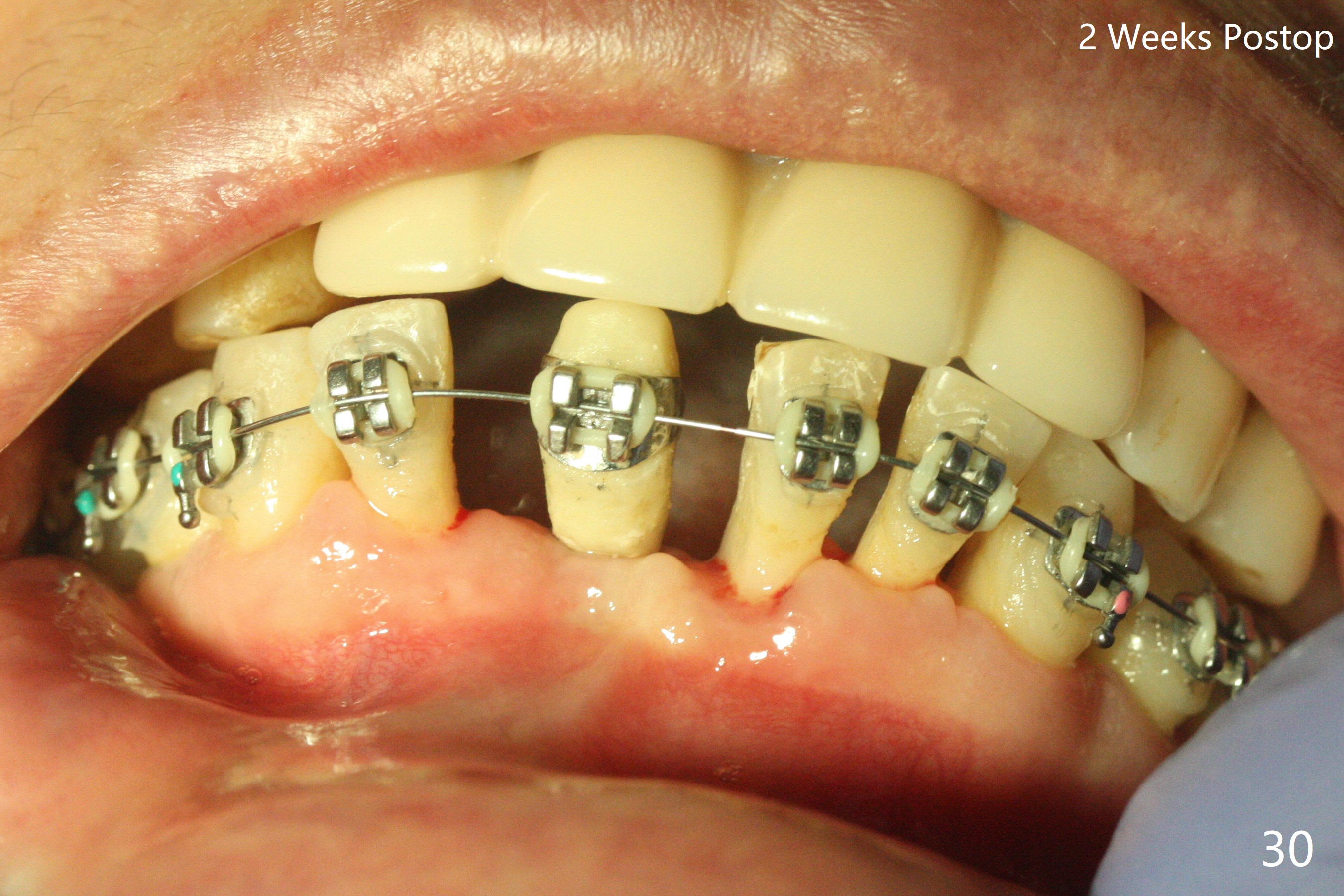
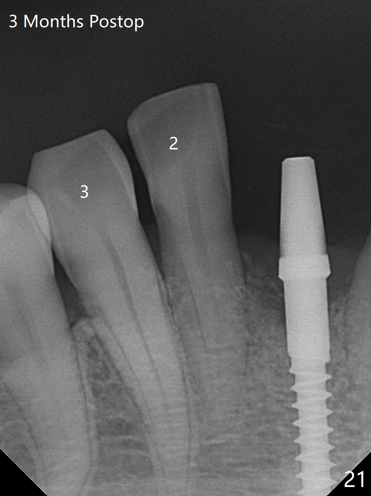
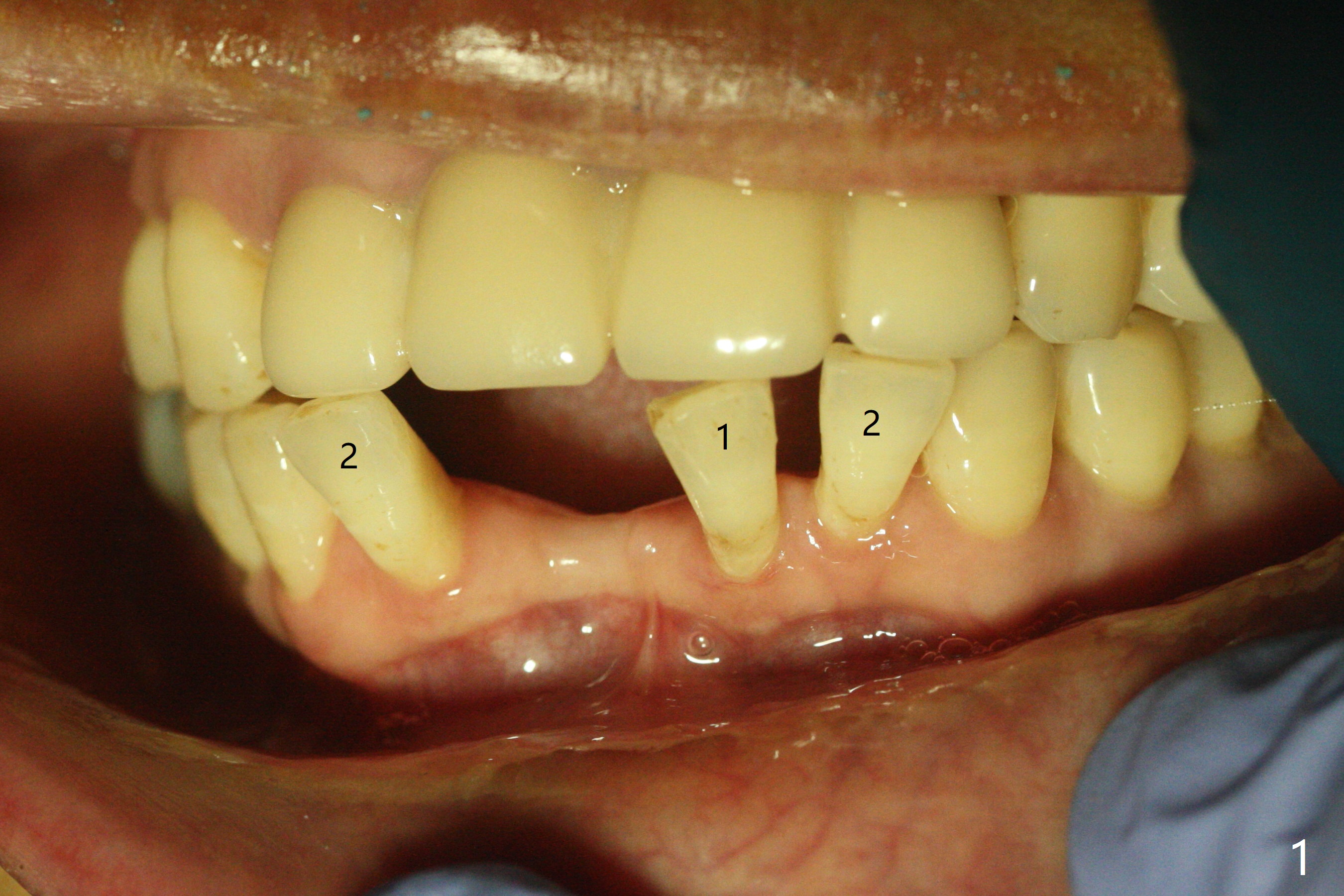
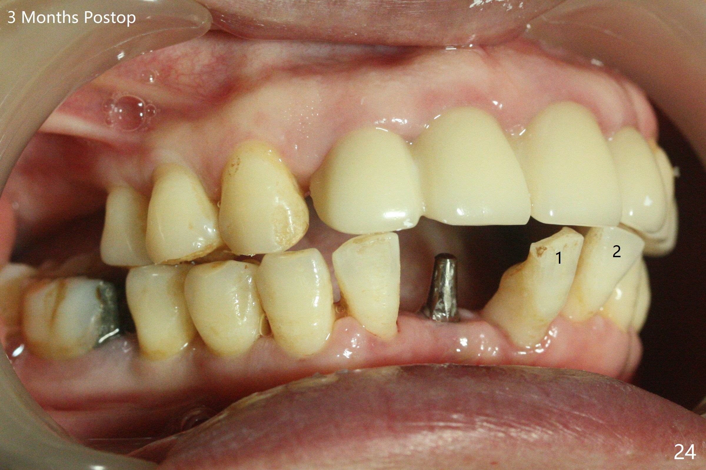
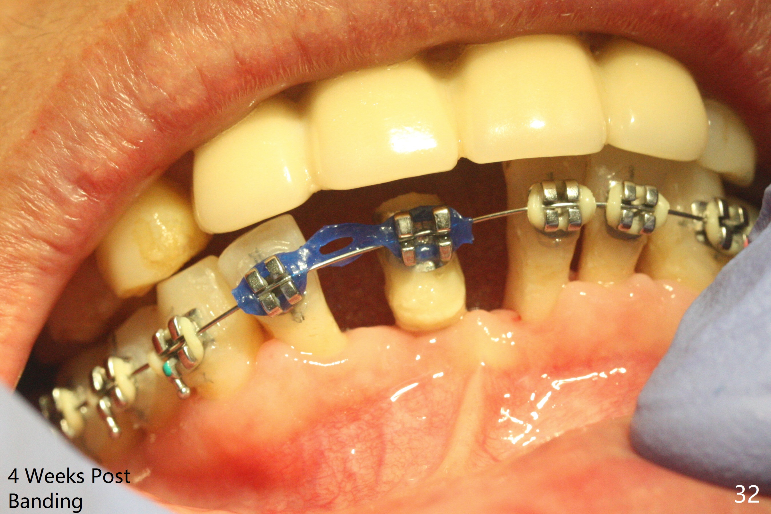
56岁女十分恐惧治疗,缺失右下1,其余切牙由于骨质吸收颊侧移位(图一:1,2),但是她不愿意拔除,同意右下1种植,牙周骨手术,植骨;植体整合后作为支抗,矫正移位下门牙。为了防止忘记舌侧瓣分离,先做舌侧切口(图二),然后颊侧瓣松弛分离(图三),包括使用前牙隧道刀(图四)切断颊侧骨膜,松弛到颊侧瓣能向舌侧牵拉3-4毫米(图五),舌侧瓣骨膜下广泛,深部分离(好像不能切断骨膜,图六),放置导板,磨平狭窄的牙槽嵴(图七:O(osteotomy)),植入2.5x12(4)毫米一段式植体(图八:故意舌侧植入,以便以后矫正),在颊侧骨板打多个出血洞(图八:箭头),然后把在平的器皿上形成的粘性骨板(sticky bone,图九),放置于植体和移位切牙周围(图十),接着使用消毒过的橡皮障punch(图十一(纸头相当于PRF膜;事先给助手示范))在三个PRF膜(图十二)打洞,套在植体和门牙上(图十三: 箭头),防止膜(图十四)和骨块(图十五,十六:*)移位,最后还必须使用最原始方法牙周敷料保护伤口(图十七)。术后9天,舌侧牙周敷料脱落,伤口稍微裂开(图十八)。术后18天撤除敷料,伤口裂开处有新鲜肉芽组织生长(图十九(*:下面是填入的骨粉,将是增宽的牙槽嵴(如果你是乐观主义者)),二十)。病人十分感激我们帮助她度过难关。她的确有sleep apnea,否定tongue thrust。术后三个月植体周围没有明显骨质吸收(图二十一至二十三),左下1,2轻度反合(图二十四),植体周围软组织健康(图二十五),5-5安置矫正器(图二十六,二十七,12 niti)。一周后下切牙向舌侧移动(图二十八),左下1,2反合纠正(图二十九)。再一周变化不大(图三十),植牙圈有些松动,两周后将重做临时牙冠,槽往舌侧移动。结果病人提前回来,植牙槽舌侧移位。一周后右下2不适(图三十一),尝试近中牵引(图三十二)。
Return to
No
Caries
开场白
丈夫
Xin Wei,
DDS, PhD, MS 1st edition 12/29/2020, last revision
05/03/2021