![]() |
![]() |
![]() |
![]() |
![]() |
![]() |
![]() |
|
![]() |
![]() |
![]() |
|
Discolored Canine with Apical Obliterated Canal M
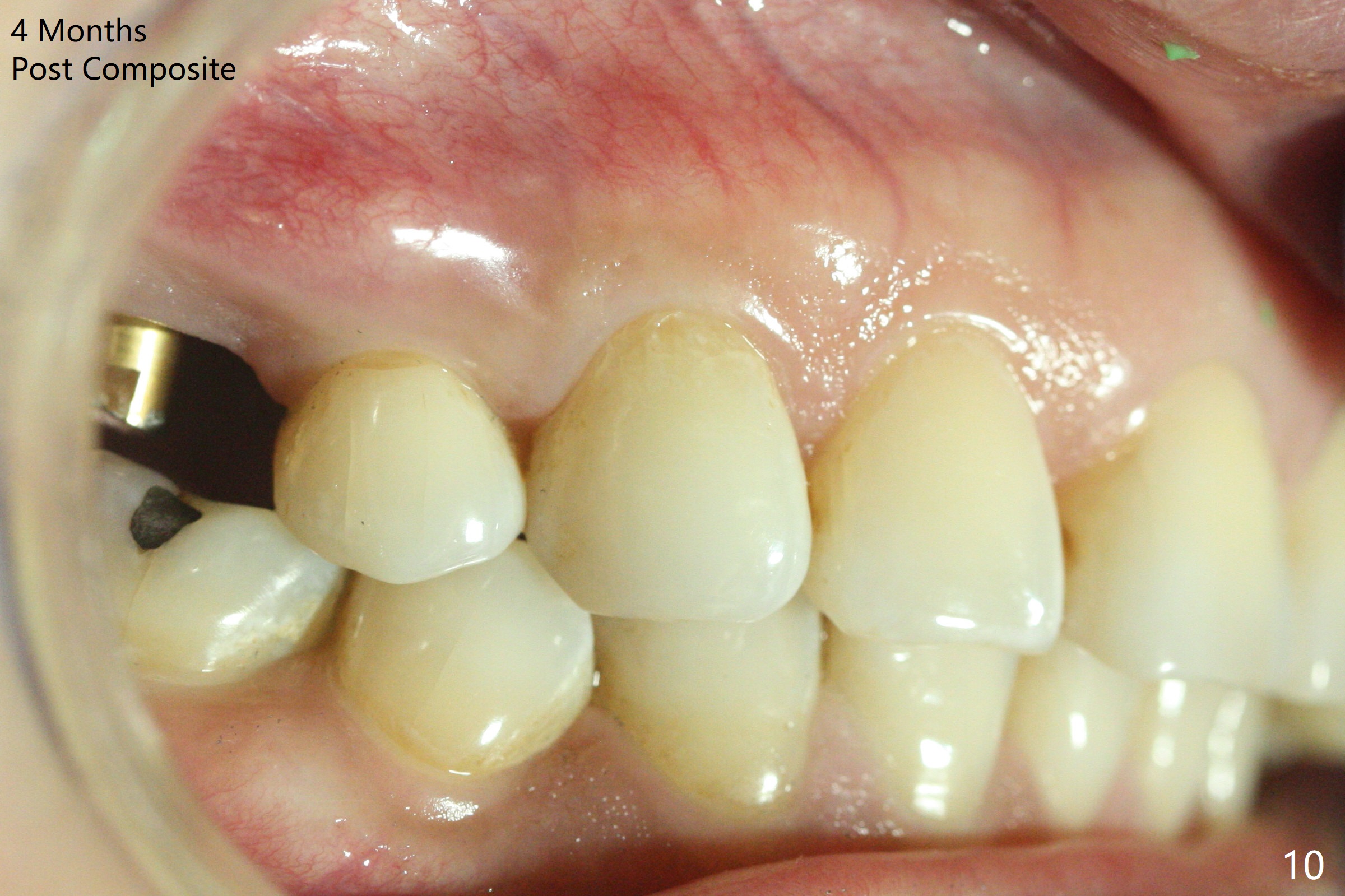
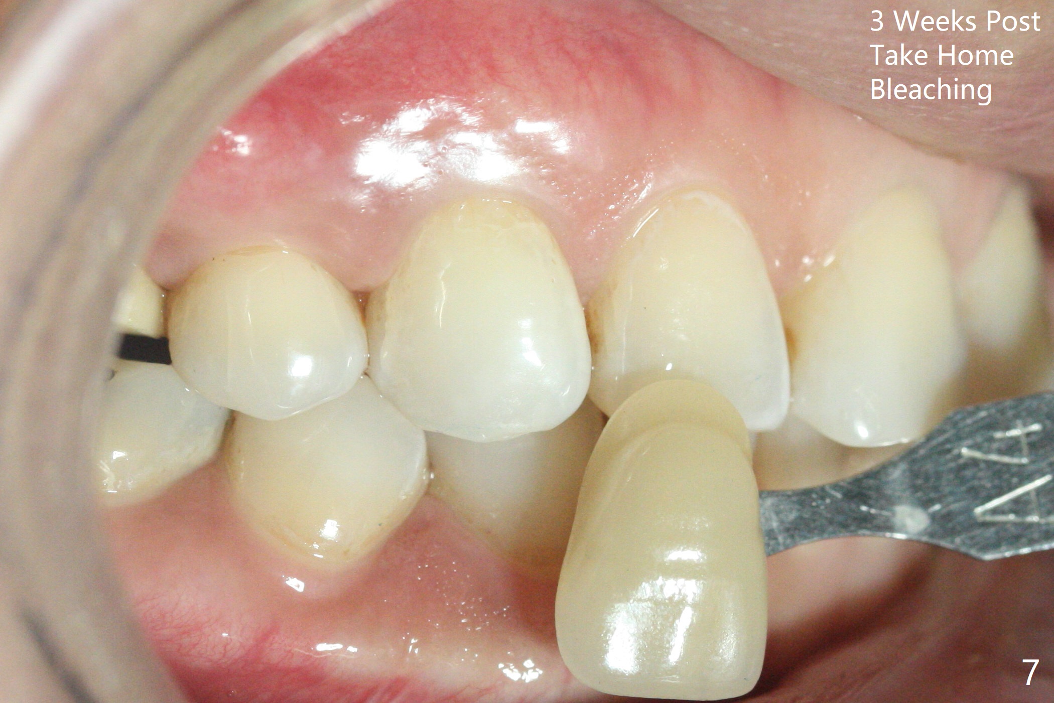
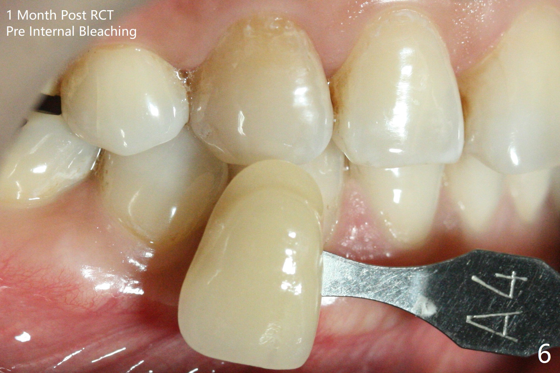
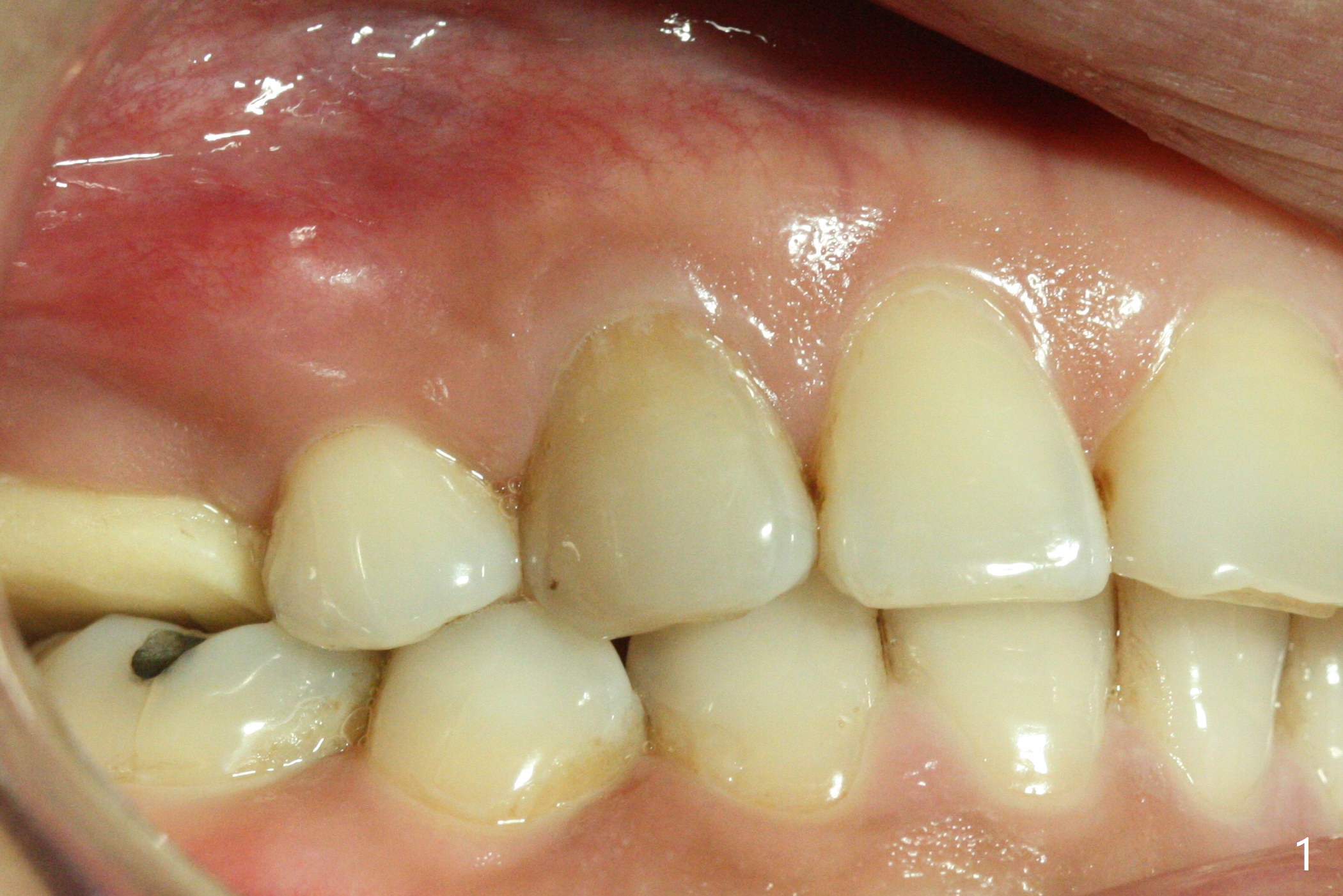
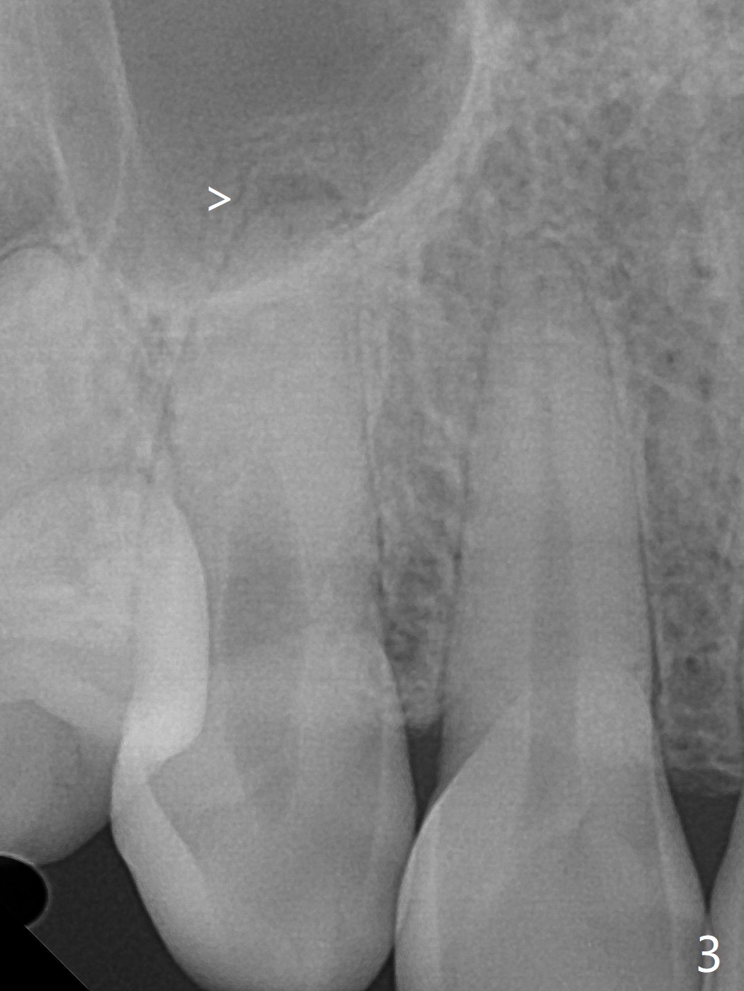
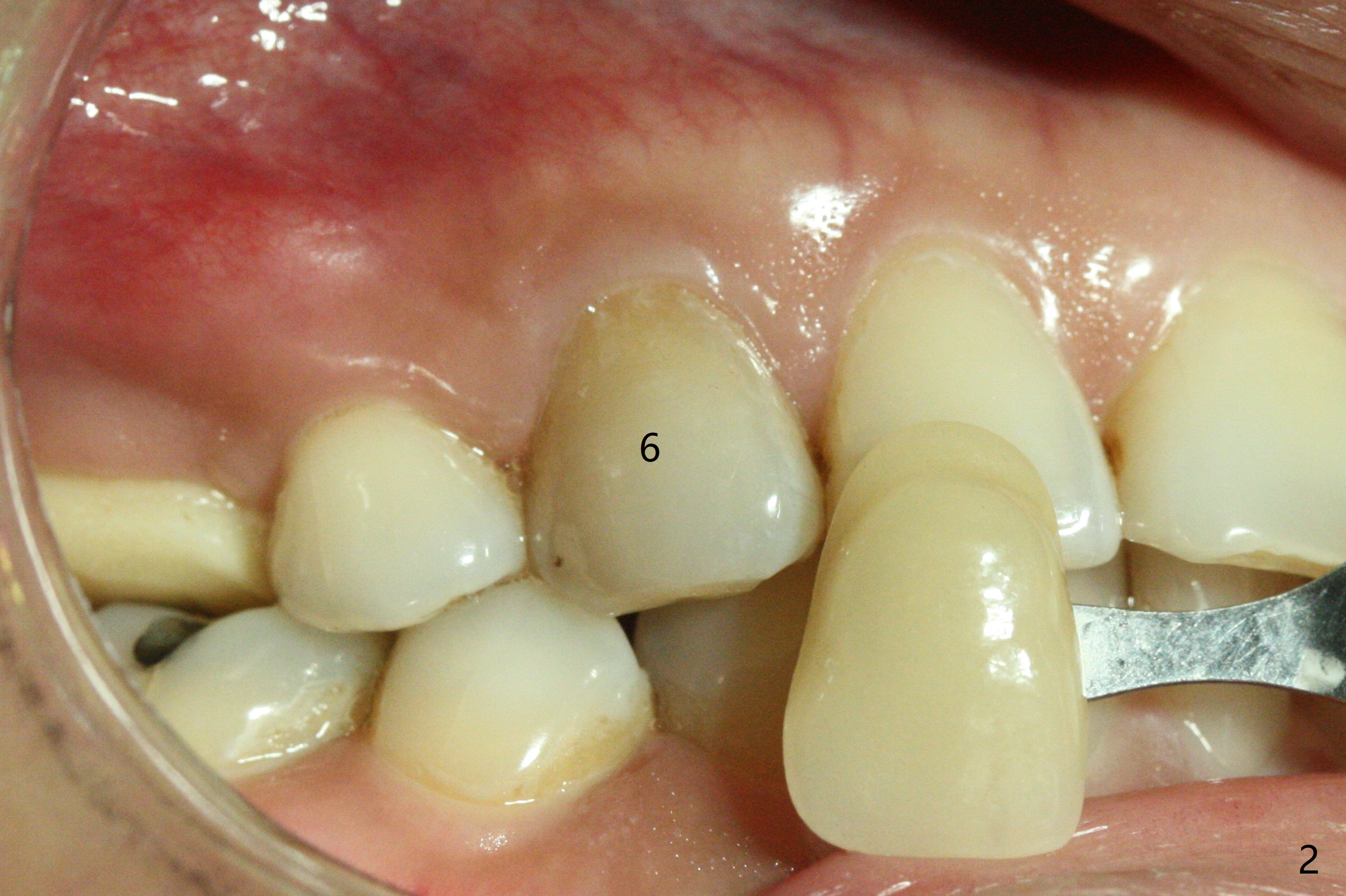
A 36-year-old woman (after #3 immediate implant and #31 socket preservation) wants to take care of the discolored canine 20 years post orthodontic treatment with extraction (Fig.1-3). RCT (Fig.4) appears to whiten the tooth (Fig.5 (A4)). The darkness appears to rebound 1 month post RCT, after removal of Gutta Percha for take home internal and external bleaching (Fig.6). The patient returns for composite after 3-week whitening (Fig.7,8). The shades of composite are bleach (flowable, C1) and B1 (packable, C2, Fig.9). The shade of the RCT tooth is compatible with that of the neighboring teeth 4 months post composite (Fig.10) when the implant at #3 has a new abutment.
Return to Trajectory II, Ortho Cases 7 Xin Wei, DDS, PhD, MS 1st edition 08/11/2019, last revision 05/20/2020