![]() |
![]() |
![]() |
![]() |
![]() |
![]() |
![]() |
|
![]() |
![]() |
![]() |
|
![]() |
![]() |
||
Internal Bleaching Post RCT
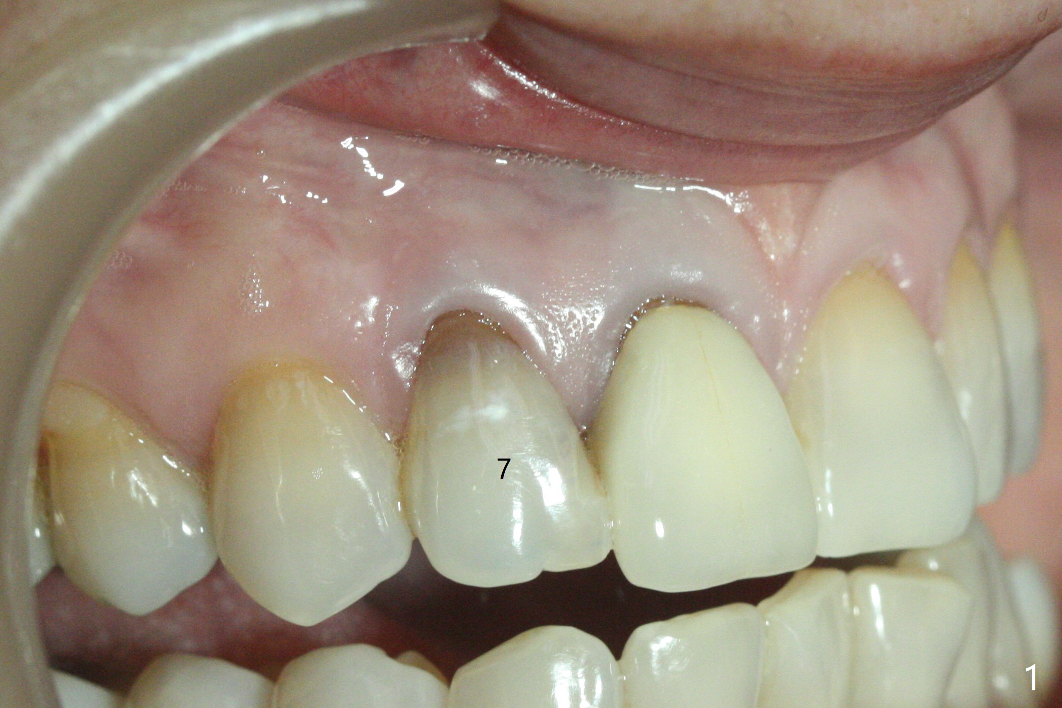
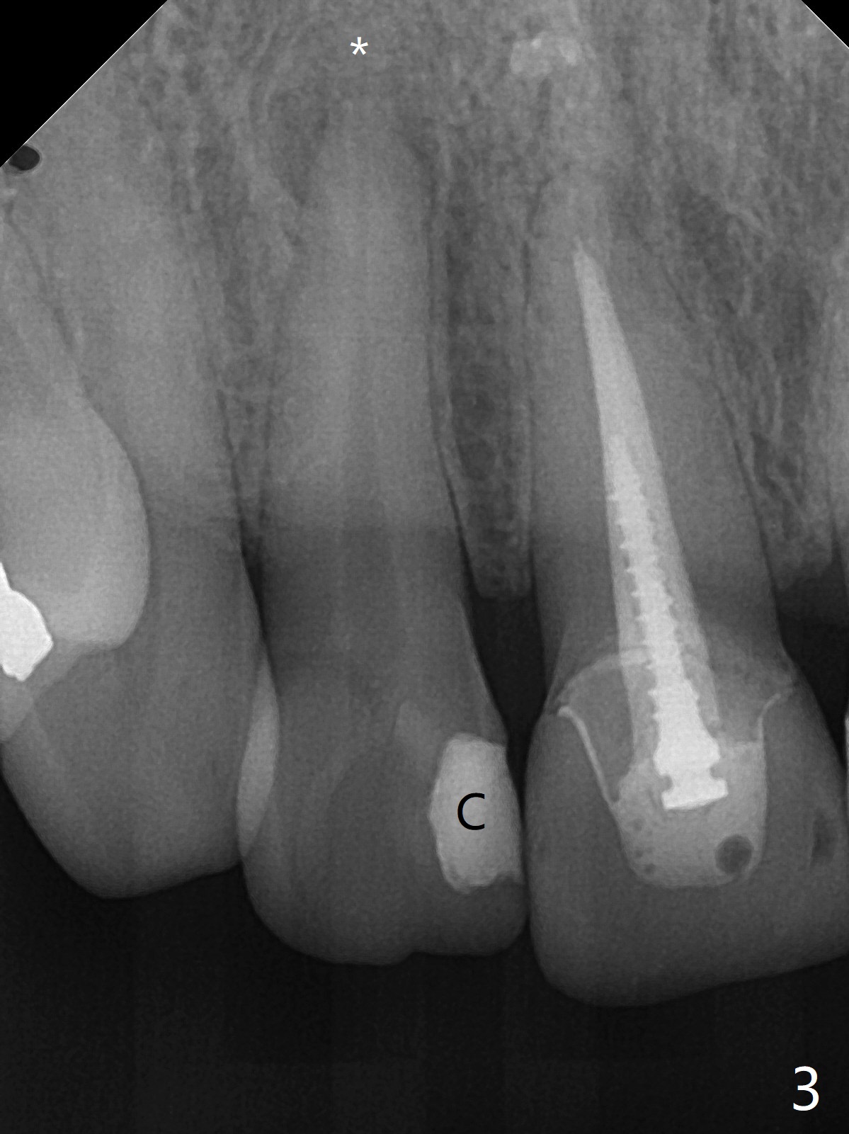
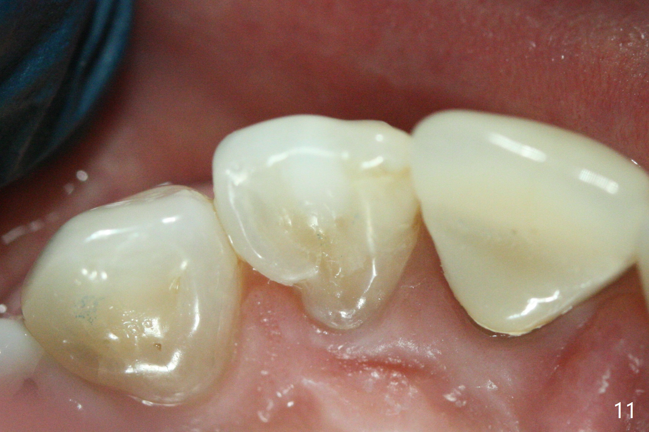
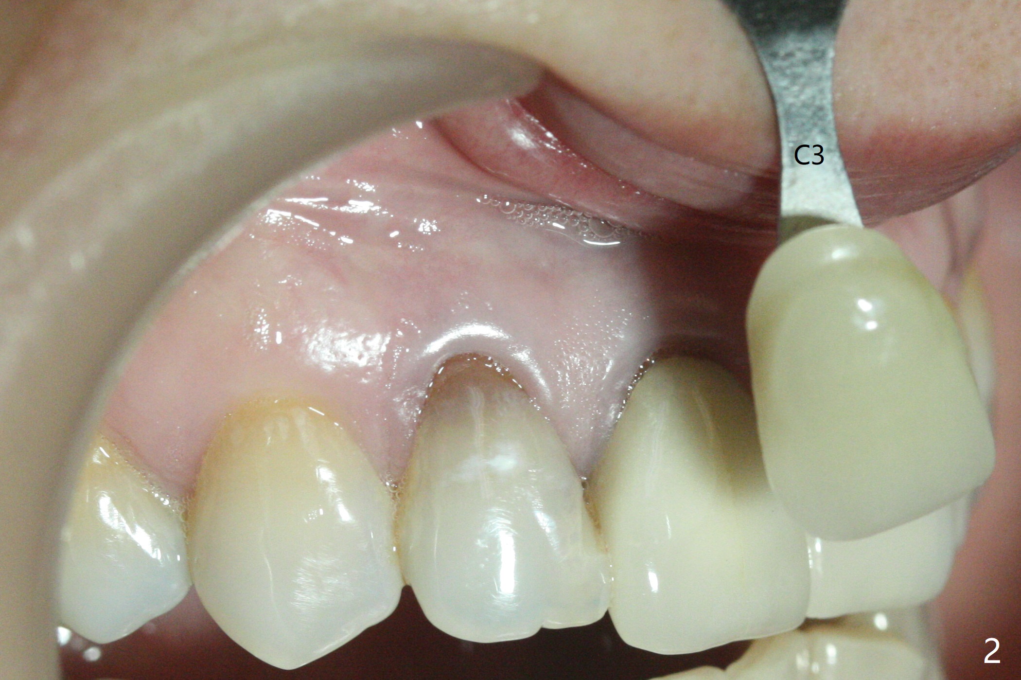
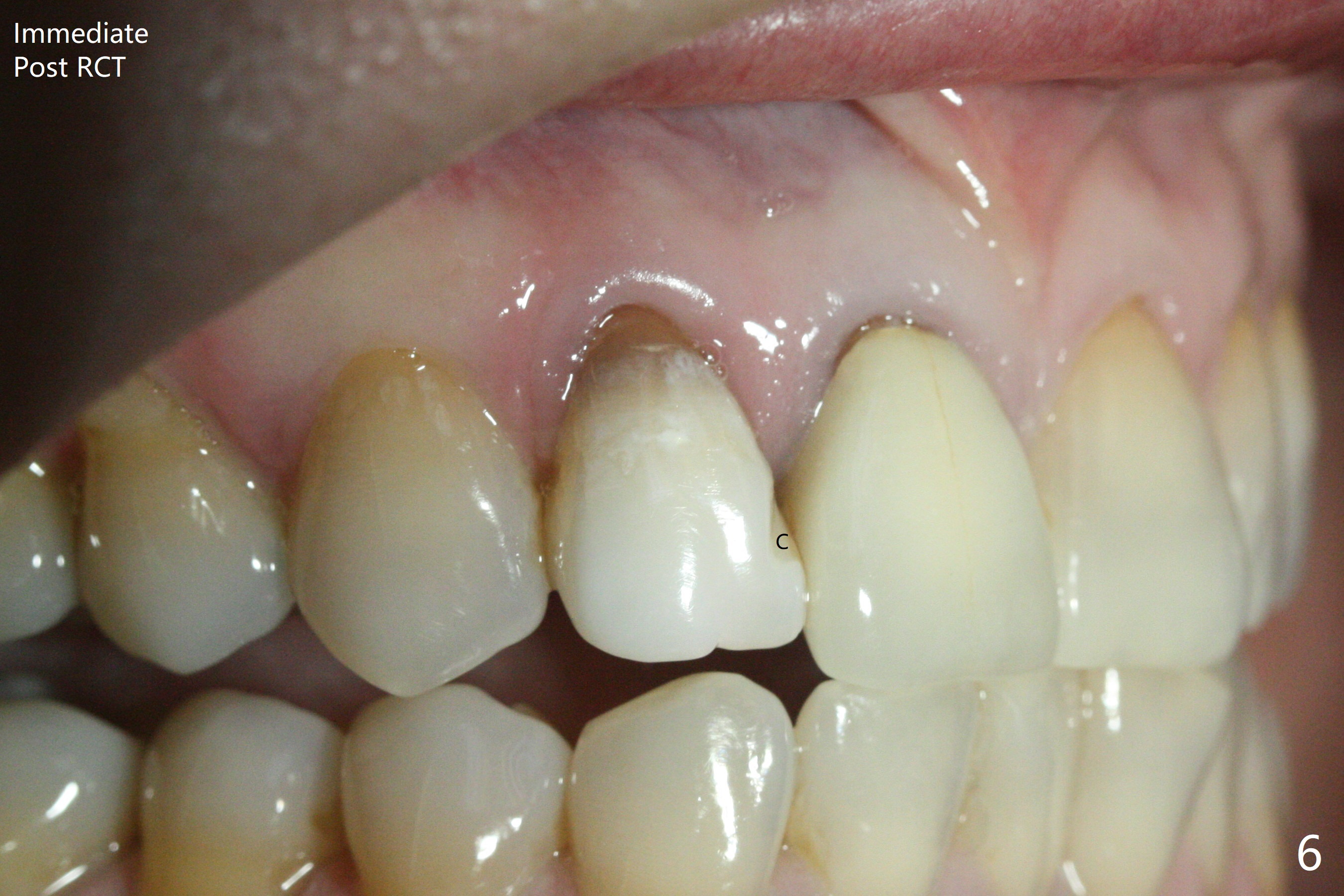
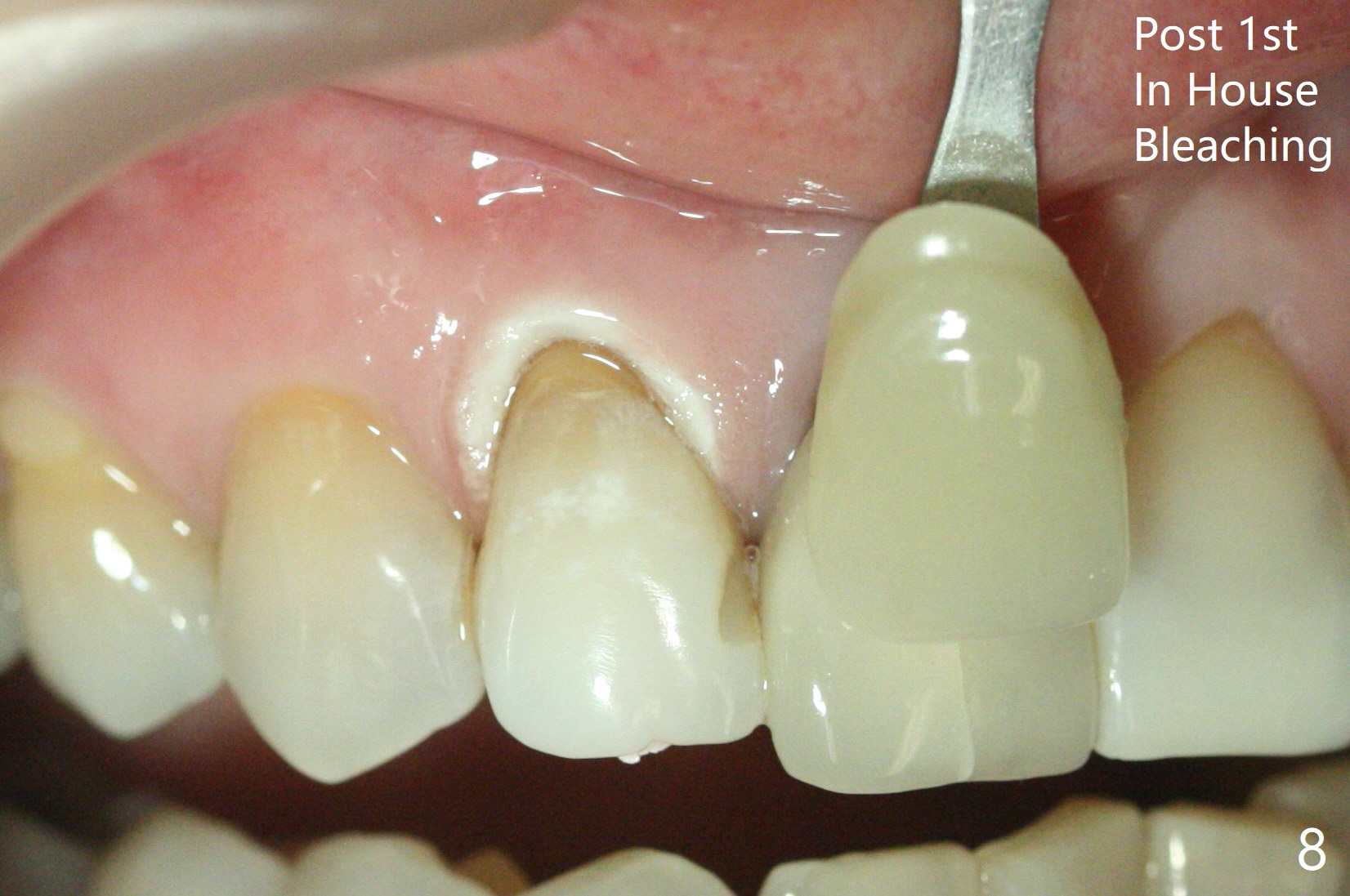
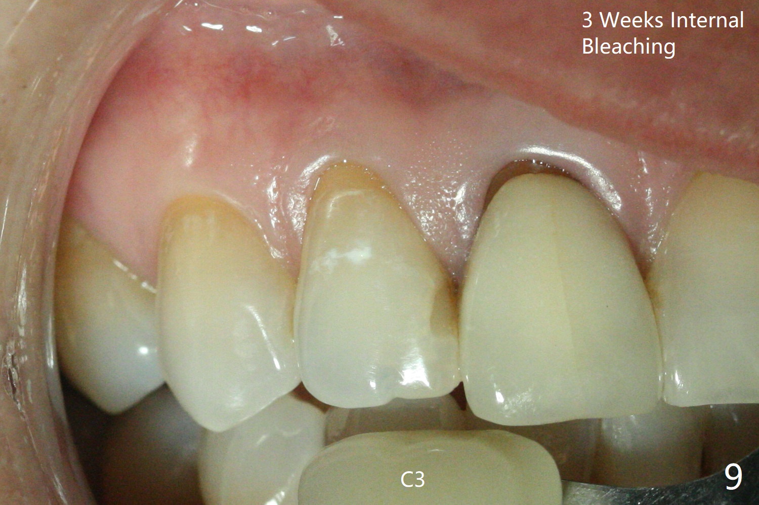
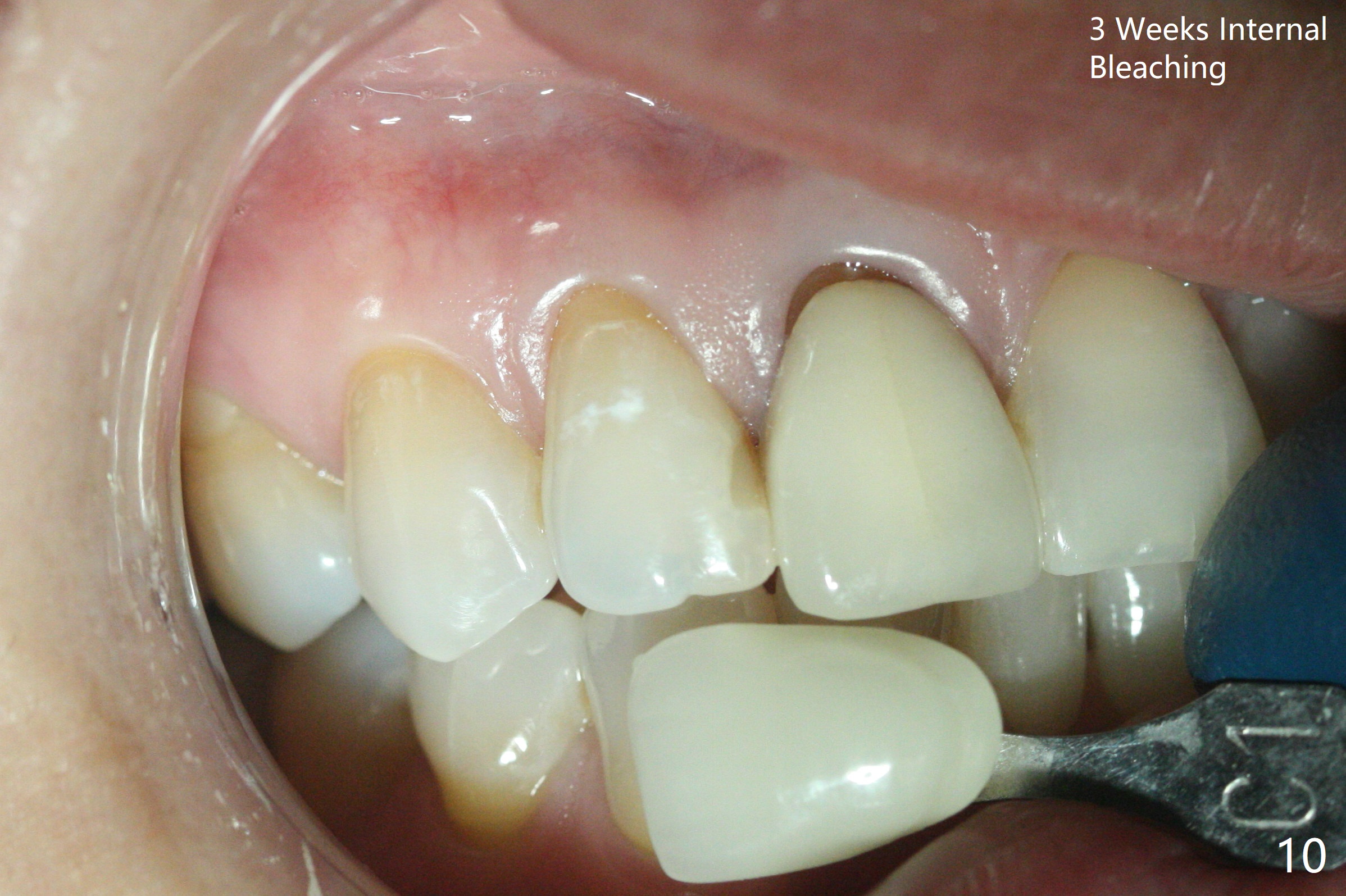
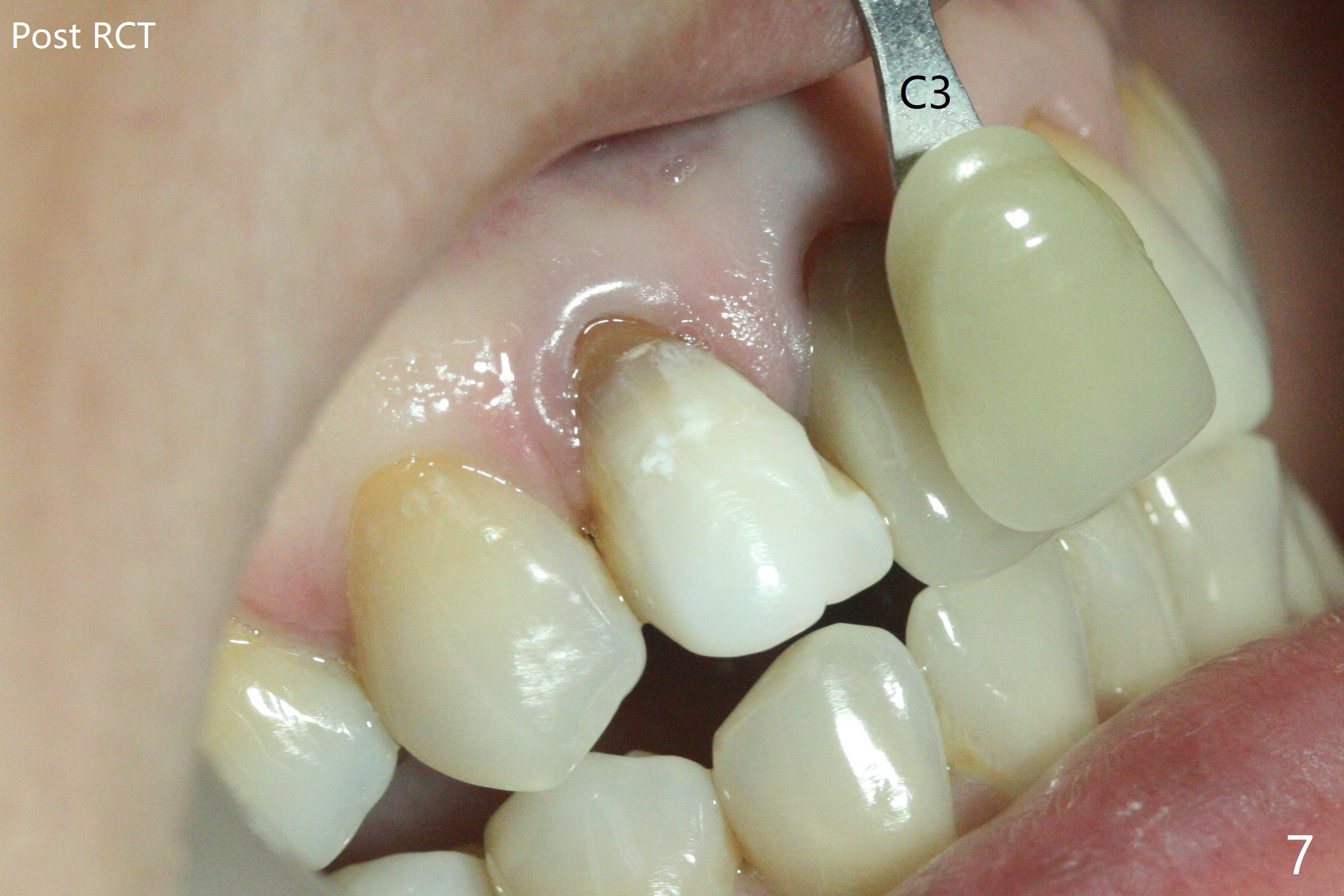
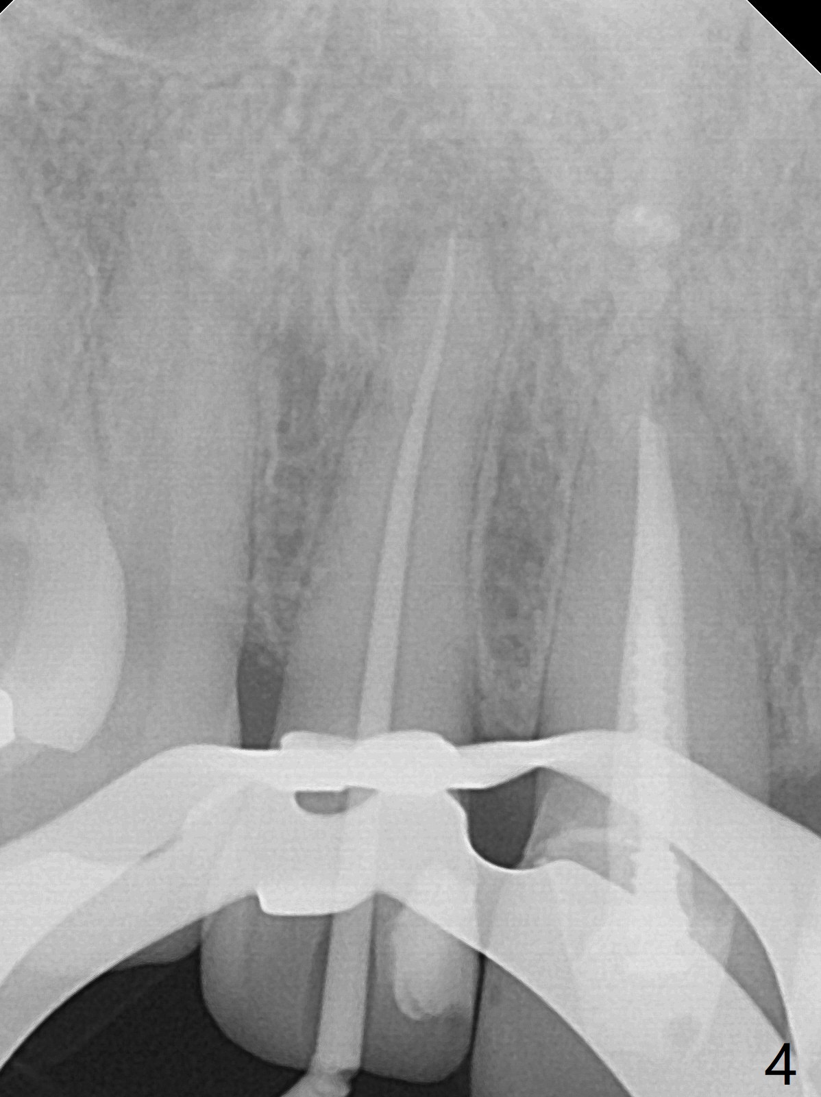
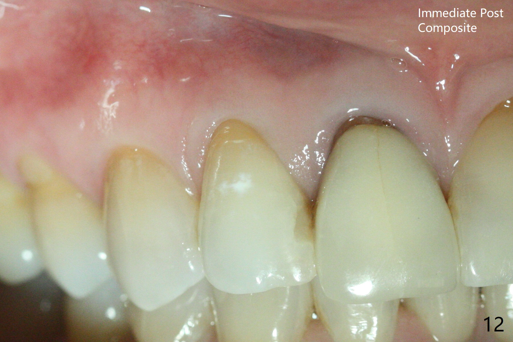
A 46-year-old woman requests a crown for the discolored tooth #7 (Fig.1,2) with mesiolingual composite (Fig.3 C) and periapical radiolucency (*). After RCT (Fig.4,5) with sodium hypochlorite, the tooth #7 is whiter than the ML composite (Fig.6,7). The patient returns 1 day post RCT for in house internal and external bleaching (Fig.8) with 35% hydrogen peroxide gel closed in the canal when she leaves. Three weeks later, the lateral incisor has the shade as the neighboring natural teeth (Fig.9,10). After the lightest shade composite placed in the canal and the access hole (Fig.11), the lateral looks better than the central with a crown and cervical discoloration (Fig.12).
Return to Professionals 6 Xin Wei, DDS, PhD, MS 1st edition 05/20/2020, last revision 06/10/2020