![]() |
![]() |
![]() |
![]() |
![]() |
![]() |
![]() |
![]() |
![]() |
![]() |
![]() ![]() |
Upright UL7 Before UL6, LL7 Implants
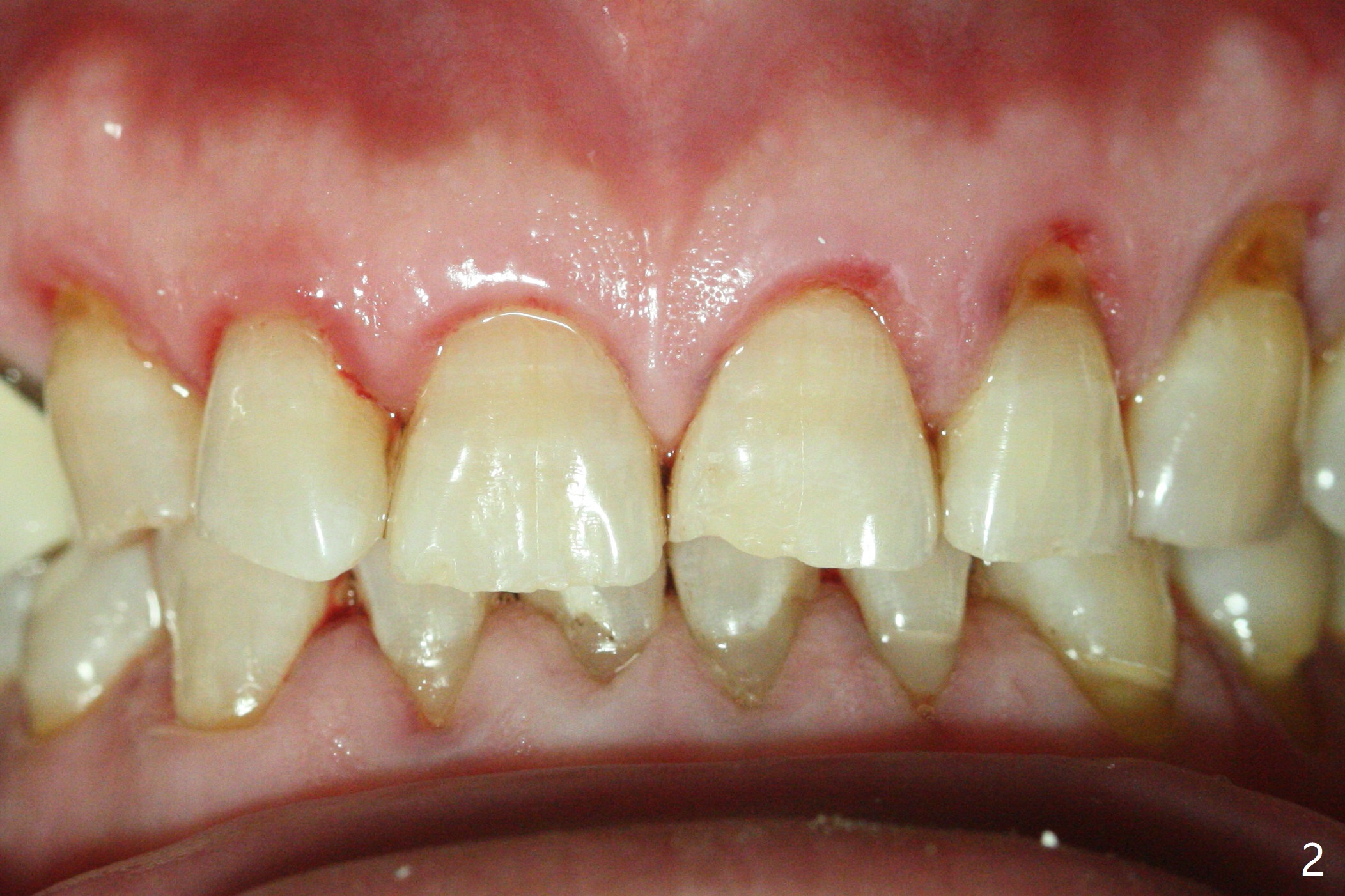
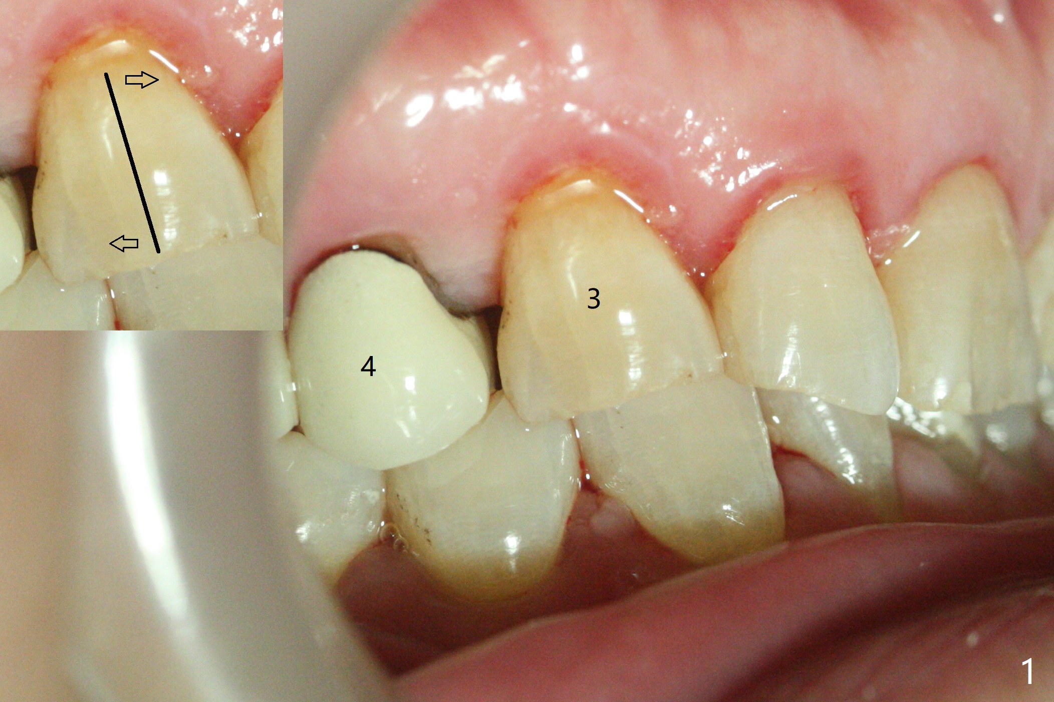
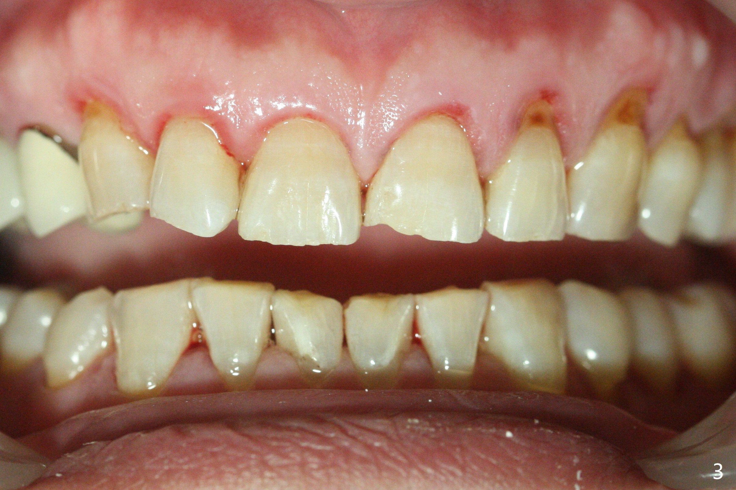
A 54-year-old man returns to office for UL7 upright 6 months post UR5 implant crown cementation (Fig.5,6). The ultimate purpose is to place implants at UL6 and LL 7. The latter will reduce severe occlusal wear especially in the lower anterior teeth (Fig.3,4). To solve the diastema between UR3 and 4 (Fig.1), the bracket at UR3 is placed in the height of contour (Fig.1 insert, Fig.4). Arch wire sequence may automatically close the diastema (Fig.1 insert arrows). In addition to tilting of UL7 (Fig.7), there are diastemata between U1s and UL3 and 4 (Fig.8,9 arrowheads). The patient is not tolerating orthodontic treatment well and requesting finishing the treatment early. We are considering mesializing UL7 instead of upright by placing a mini-implant between UL4 and 5 (Fig.10). There will be less interference of the roots of UL7 with the crown of the impacted UL8. There appears more space for a 1.6x8 mm mini-implant between UL4 and 5 (Fig.11) and UL 3 and 4 (Fig.12). Finally a mini implant is placed distal to UL7.
Return to No Deviation Ortho Cases 矫正,糖尿病,种植水平 Xin Wei, DDS, PhD, MS 1st edition 06/08/2020, last revision 12/05/2020