![]() |
![]() |
![]() |
![]() |
![]() |
![]() |
![]() |
![]() ![]() |
![]() |
![]() |
![]() |
![]() |
![]() |
绝对支抗
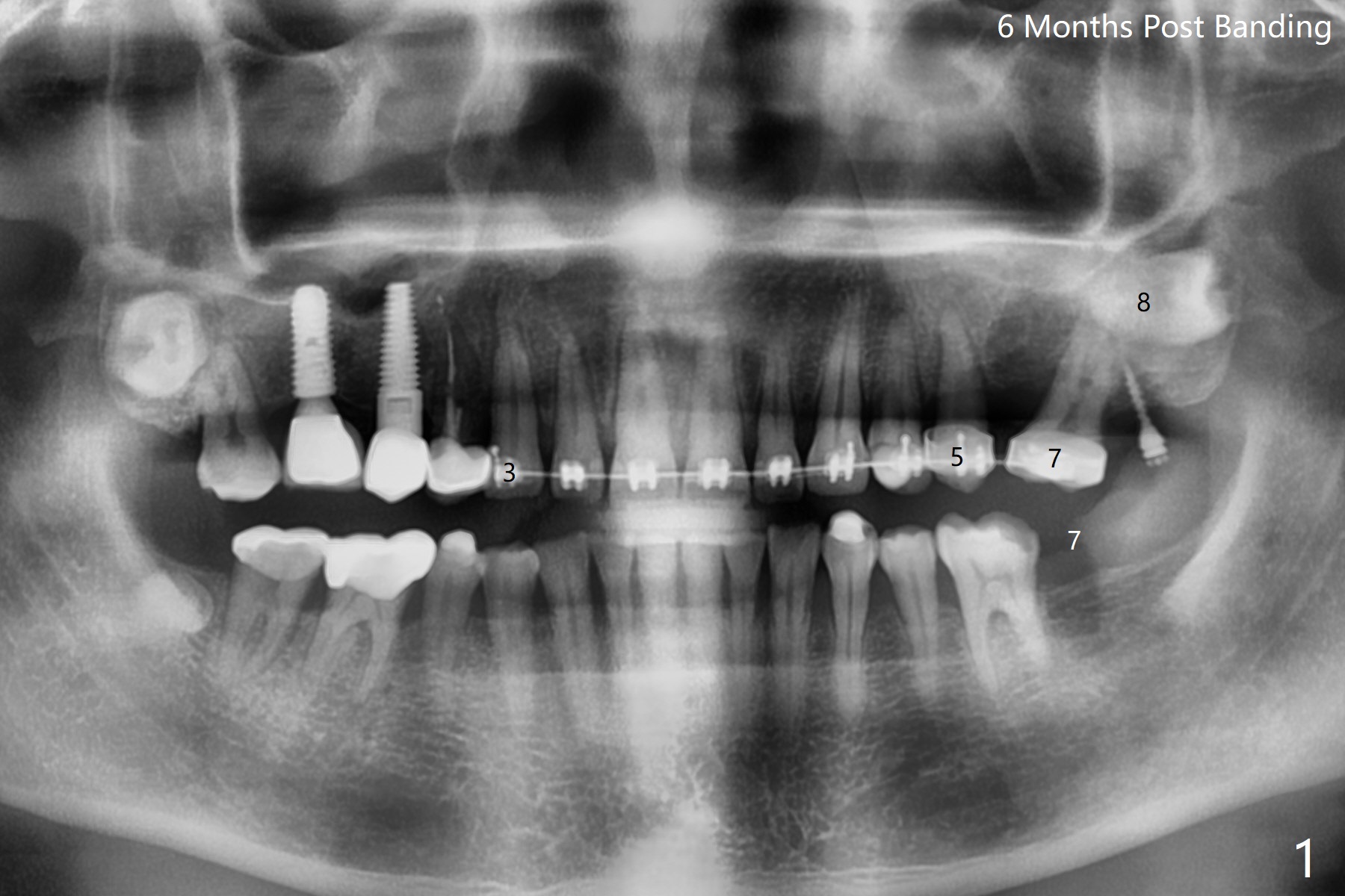
为了在左上6,左下7种植,使用右上3至左上5作为支抗推左上7远中,但是六个月效果不显著(图一),CT显示阻生牙(图一,二:8)没有阻挡。7远中植入1.6x8毫米微型植体,不过接近7根尖(图三),微型植体应该改变角度,而且往远中颊侧移位。最后效果不错(图四),植体马上启用(图五),而且同时取模做左下7导板。在微型植体牵引下,左上7的确往远中移位(图六,与图四对比),但是植体松动,马上植入3x10(2)毫米一段式植体,由于8阻挡,后者没有完全就位,稳定性差,没有启动。几天后也脱落。病人急着完成治疗,因为咀嚼困难。补救方法便是拔除阻生牙9(图七:x),让植体完全就位。切开后发现牙槽嵴处严重骨质吸收缺损(图八:D),离7很近,不适合种植。拔除8后(图九:S(socket)),两处植骨(粘性,图十),覆盖PRF膜,缝合。矫正九个月6空间相当双尖牙(图十二),还想增加2毫米才种植,病人急于完成治疗,所以再次植入微型植体,不同之处是切开,发现7远中颊侧骨质密度低(用探针),因此微型植体在腭侧植入(图十一:P),扭力似乎高,1.6x8毫米植体仿佛植入8牙槽窝(图十二:红虚线)。微型植体牵引一个月,磨牙缺牙间隙大约前磨牙大小,准备在远中(图十三)植入直径小植体(图十四),当后者整合时,用它继续推7。
Return to Trajectory Ortho Cases 成功病例 矫正,糖尿病,种植水平 18导板 导板与张口度
Xin Wei, DDS, PhD, MS 1st edition 12/05/2020, last revision 04/18/2021