![]() |
![]() |
![]() |
![]() |
![]() |
Guide for
Multiple Implants
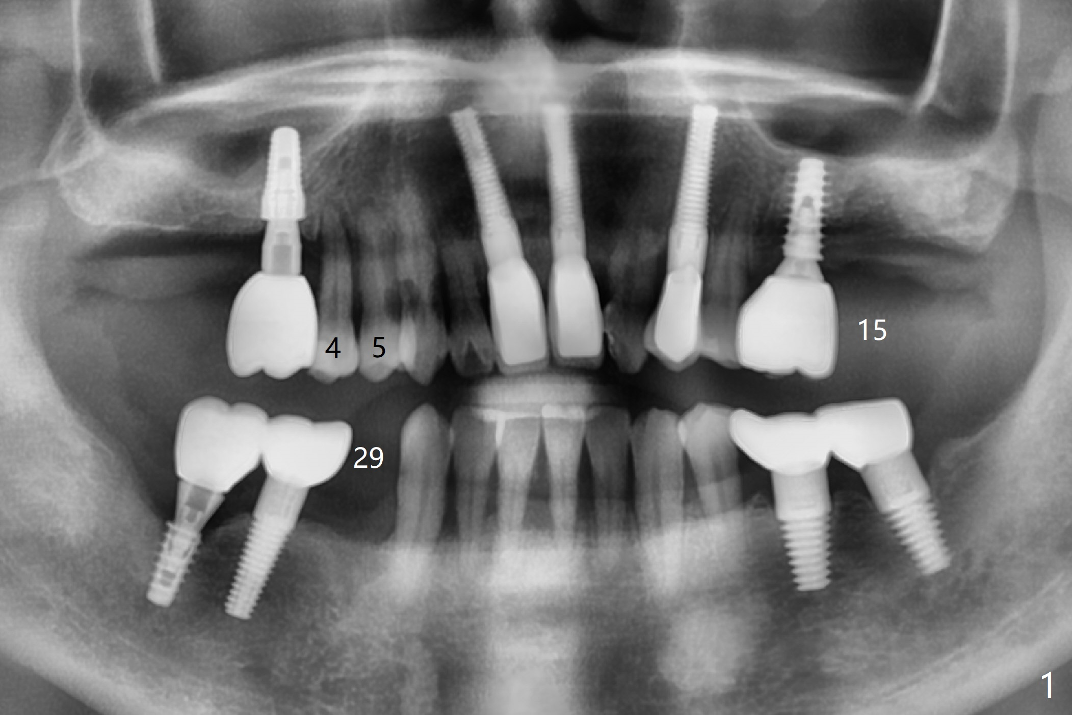
A 46-year-old man requests immediate implants at #4 and 5 because of pain associated with advanced periodontitis. Implants at #15 and 29 were removed with bone graft 4 months earlier (Fig.1). All of the 4 implants will be placed with guide. When 3.5 mm implants are placed at #4 and 5, they appear to be too close to each other (Fig.2). It is alright when the diameter changes to 3.0 mm (Fig.3). While a 5x10 mm implant will be placed at the 2nd stage (Fig.4), a 4x11.5 mm one will be placed in the same appointment as #4 and 5 (Fig.5).
Return to
Upper
Molar Upper and Lower Premolar Immediate Implant,
Trajectory,
No Antibiotic #28,
31,
14
3
Xin Wei, DDS, PhD, MS 1st edition
01/03/2019, last revision
02/05/2019