![]() |
![]() |
![]() |
![]() |
||
![]() |
![]() |
![]() |
![]() |
![]() |
|
![]() |
![]() |
||||
最短一段式植体
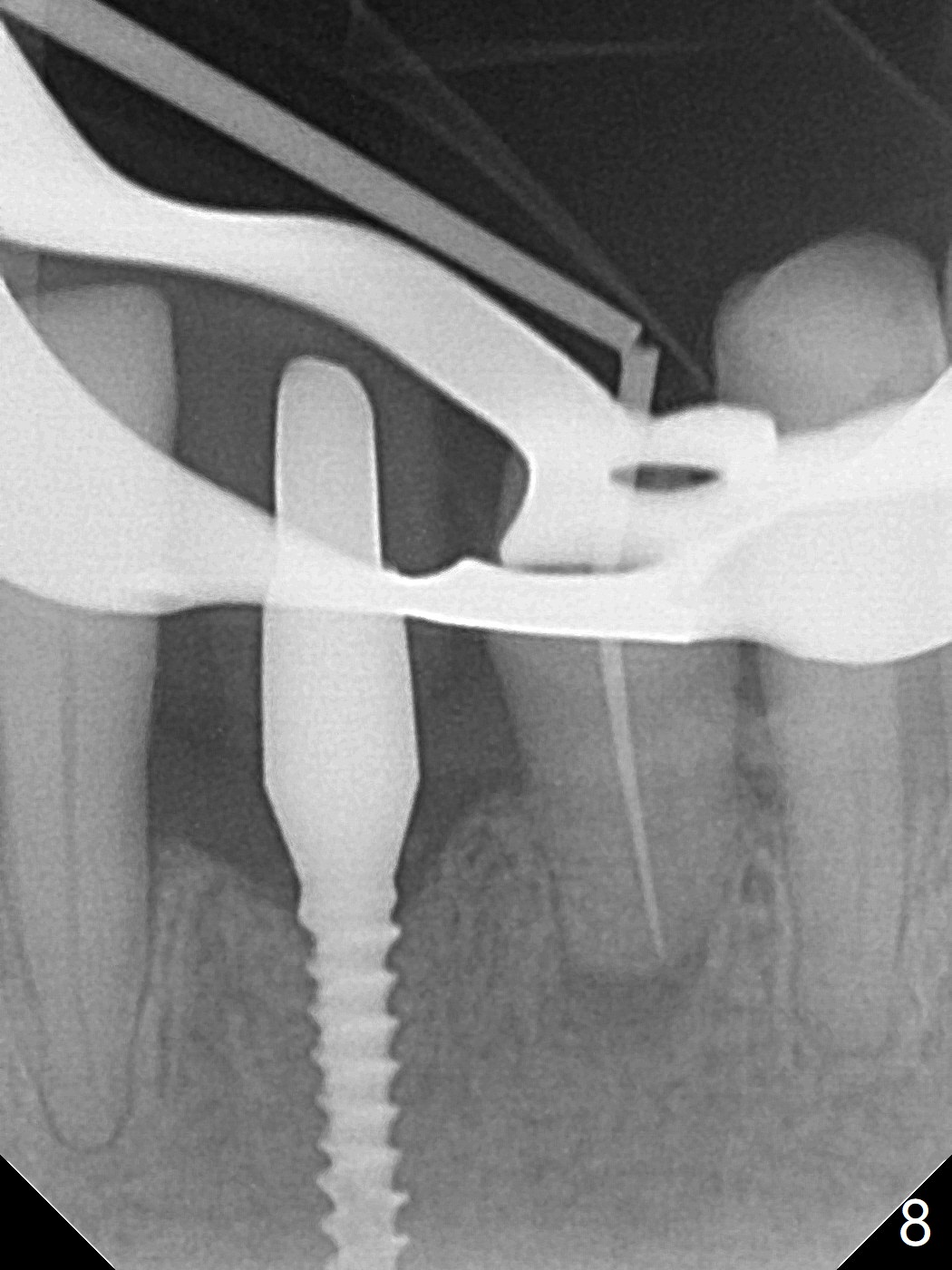
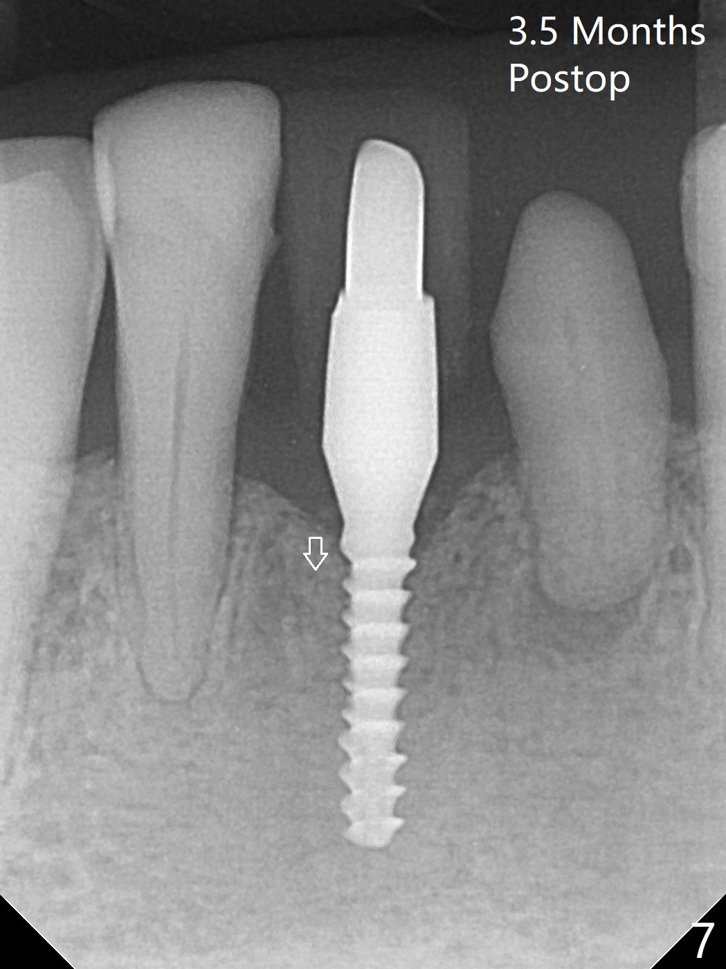
左下第一磨牙(#19)牙槽嵴狭窄,2.2毫米钻头完成导板钻洞后,舌侧骨板开始破裂(图一:<),打消牙槽嵴劈开术念头,放置2.5x8.5毫米一段式植体(图二(8.5毫米是最短植体)),好像离下齿槽神经管还有一定距离,适当植入深些(图四:箭头,15Ncm)。右下中切牙缺牙区牙槽嵴也十分狭窄(图四),最后不得不徒手植入2x8.5毫米植体(图五,六,25Ncm)。如果按设计植入2x12毫米植体,颊侧,或者舌侧骨板更容易穿孔。术后3.5月牙槽嵴下降(图七:箭头),可能术中那里压力太大,今后牙槽嵴钻洞要大。24号牙根尖阴影(图七),完成根管治疗(图八)。19牙位牙槽嵴吸收也严重(图九)。其实术后4个月19牙位牙槽嵴吸收并不严重(图十一)。
Return to No Deviation No Caries 劈开术 Next 2 mm Implant
Xin Wei, DDS, PhD, MS 1st edition 04/06/2021, last revision 08/13/2021