![]() |
![]() |
![]() |
![]() |
Long Pontic
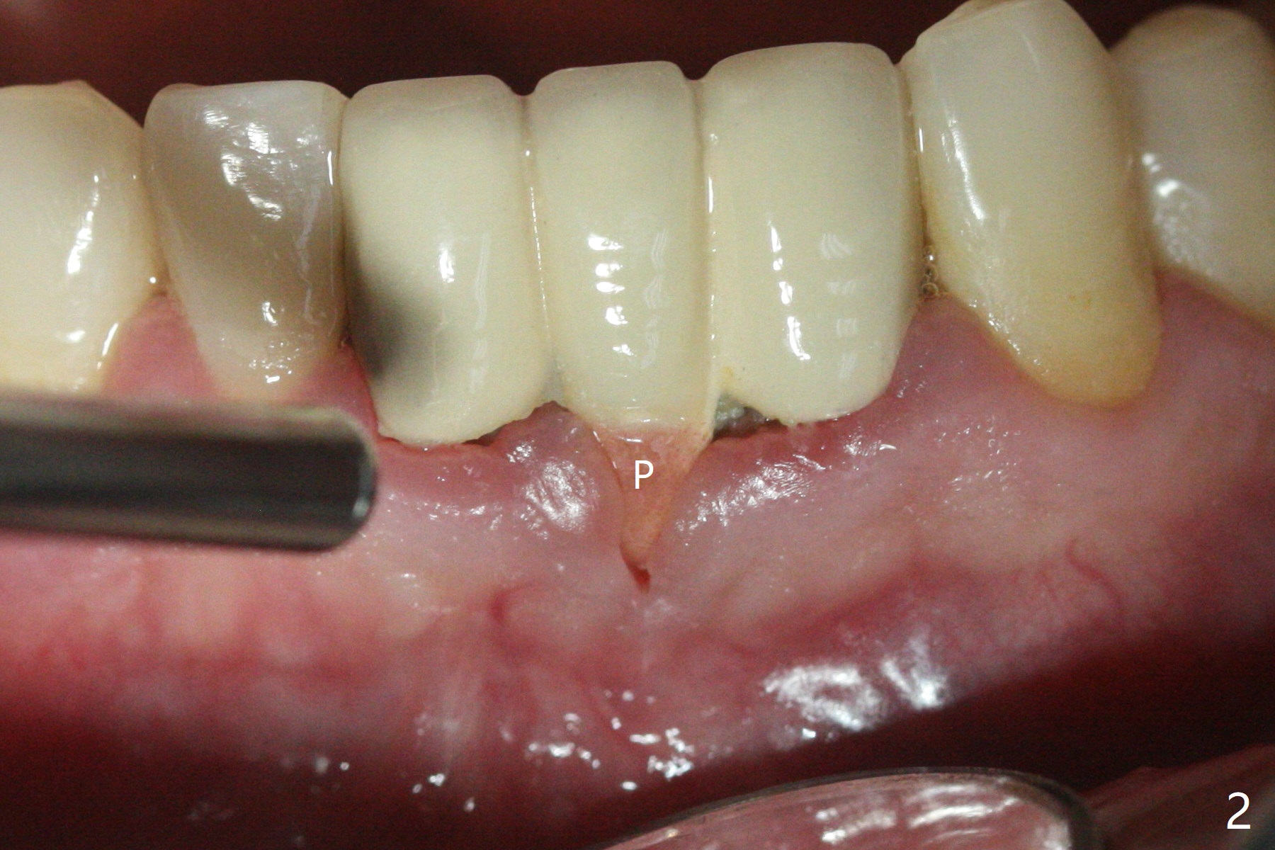
A 38-year-old man has gingival erythema and edema associated with #23-25 bridge (Fig.1). The most abnormal finding is the long pink porcelain at the pontic (Fig.2, 3: P). After taking Alginate for future provisional, the bridge is removed. The edentulous ridge must be atrophic, as shown in low density (Fig.3: *). A 2.0 mm 1-piece implant is proper for the site, as will be shown by CT. In fact 2.5 mm one is proper (Fig.4). The gingival erythema reduces significantly post bridge removal, SRP and water pik. After incision, surgical handpiece and diamond round bur are used to flatten the ridge until 4 mm.
Return to
No
Caries
前磨牙即种
Xin Wei,
DDS, PhD, MS 1st edition 04/09/2021, last revision
05/03/2021