![]() |
![]() |
![]() |
![]() |
![]() |
![]() |
![]() |
![]() |
||
![]() |
![]() |
|||
![]() |
![]() |
|||
瘘道
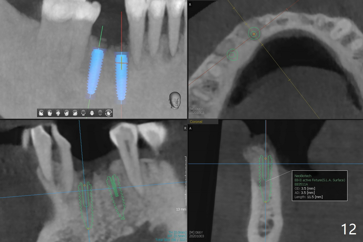
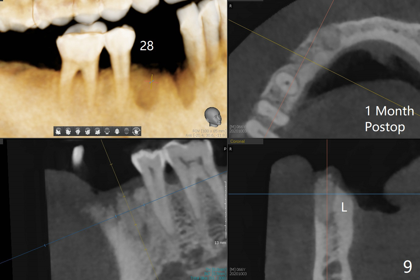
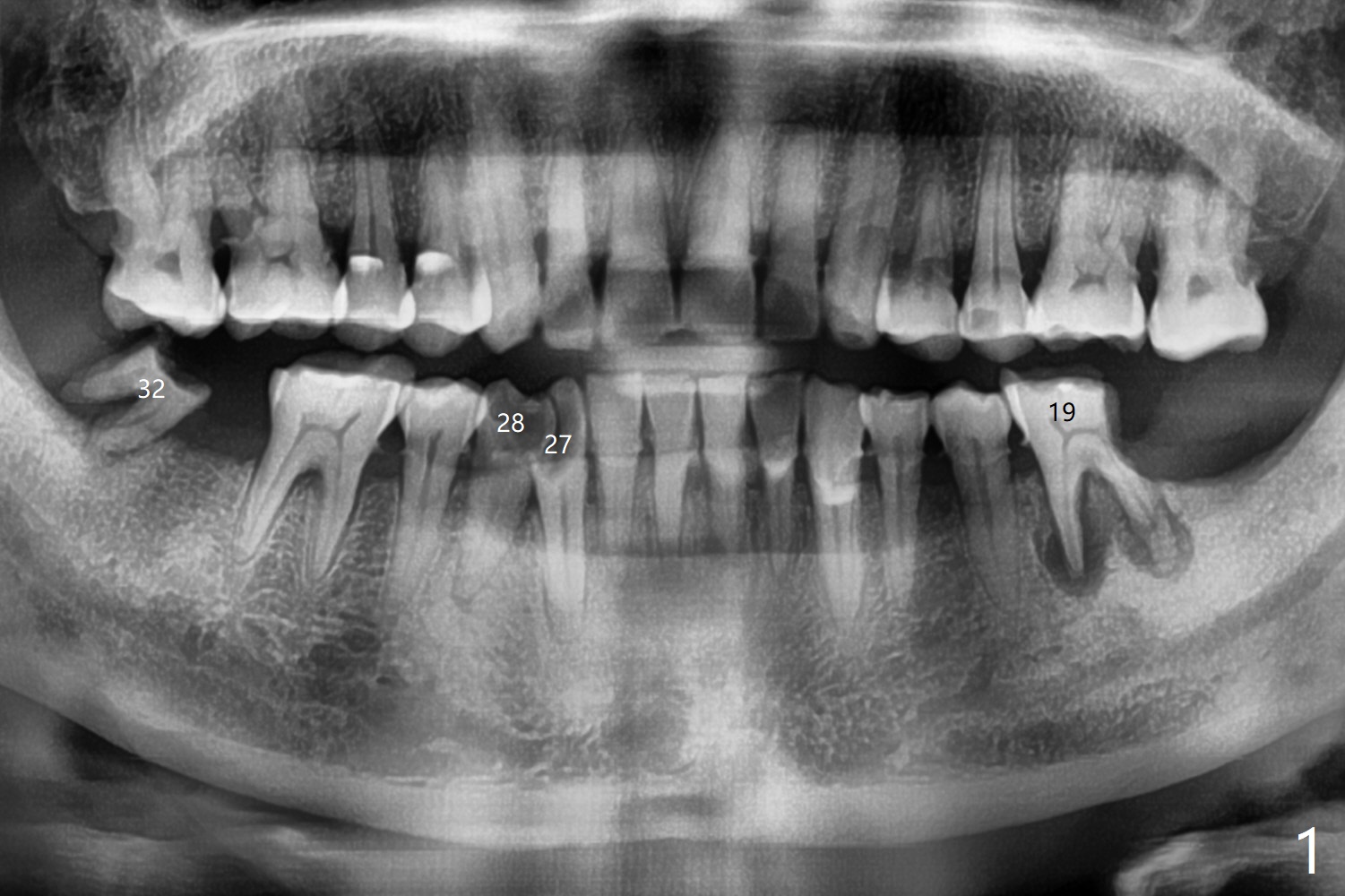
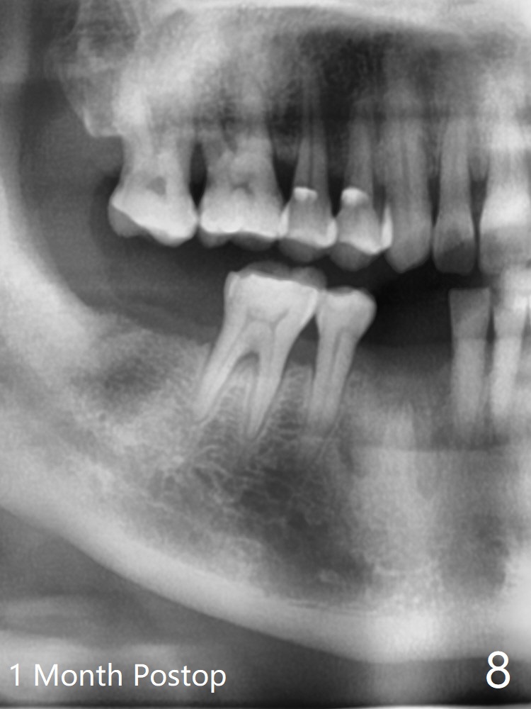
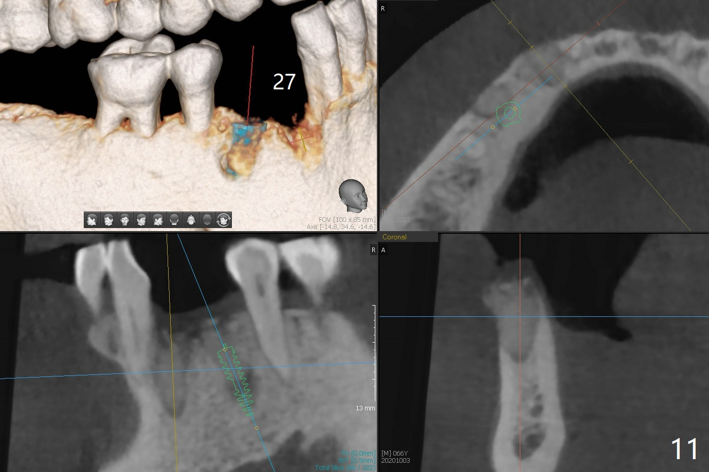
66岁男1.5年前来诊所拍摄全景片(图一),似乎27,28号牙还能保留,今天突然回来,主诉27、28区疼痛瘘道,商量决定先拔除27,28,32及右下深洗。拔除32号牙时发现它接近31区(将要植牙),必须植骨(近中部分(远中塞入胶原塞)),27,28颊侧骨板缺失(大量肉芽组织),植骨理所应当,而且必须拼命推压,但愿推到颊侧骨板,细的皮质骨没有压制感,非要加入粗的松质骨皮质骨,一张12x12毫米胎盘膜剪成两片覆盖27/28和32拔牙窝,4-0 PGA缝线固定,拍摄术后半侧全景片后(图二 (*:骨粉)),使用牙周敷料保护伤口。术后一个月27,28号牙位骨粉保持原位,而且颊侧骨板好像已经重建(图八,十一,九),似乎能植入两个植体(图十,十二)。
Since the distal crest is low at #19 after extraction (Fig.3), a 4.5x11 mm FC implant (Fig.4 green) will be immediately placed in the mesial socket (lingual), which has more clearance from the Inferior Alveolar Canal (yellow). Sticky bone will be initially up to the implant plateau, followed by insertion of a cemented abutment (pink), placement of the 2nd round of bone graft (red) and fabrication of an immediate provisional (white). To save time, a piece of collagen plug is inserted into the apical portion of the distal socket (blue). The distal crest will be expected to increase ~ 3 mm by the procedure mentioned above. The #32 socket heals with apparent exposure of collagen plug 2 weeks postop (Fig.5). The #27 and 28 sockets heal with fresh granulation tissue 2 weeks postop (Fig.6). The fistula buccal to #28 socket appears to have shrunken 2 weeks postop (Fig.7).
Prevent Molar Periimplantitis (Protocols,Table) No Deviation Metronidazole Plug 19 位点保留后 Xin Wei, DDS, PhD, MS 1st edition 08/29/2020, last revision 07/05/2021