![]() |
![]() |
![]() |
无缝线位点保留
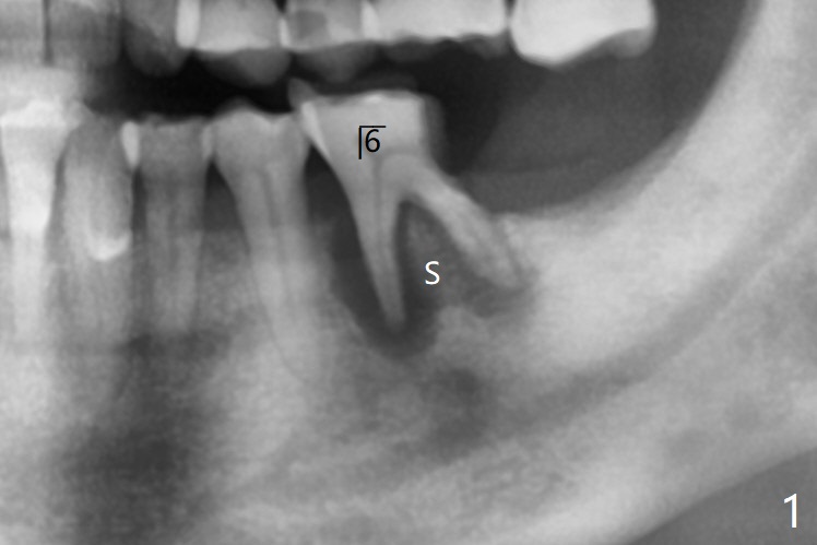
66岁男要求拔除左下6(图一),中隔好像斜型吸收(S),如果即刻植牙植入中隔,冠方螺纹三面暴露(图二:箭头)。当植入近中牙槽窝(图三:M),似乎只有一面螺纹暴露。病人右下3,4颊侧骨板仿佛植骨后修复,不妨尝试同样方法。不过需要如下改善:尽量少制备粘性骨块,用剩余PRF上清液临时调袢骨粉,放置牙槽窝底部(好压紧),而粘性骨块放在颊侧缺陷和牙槽窝开口(防止下面骨粉脱落),最后放置PRF膜。安置间隙维持器,拍摄根尖片,放置牙周敷料(避免缝线)。
Return to
No Deviation
No
Antibiotic
Xin Wei,
DDS, PhD, MS 1st edition 10/03/2020, last revision
10/29/2020