植骨后2-3个月会不会太早植牙?

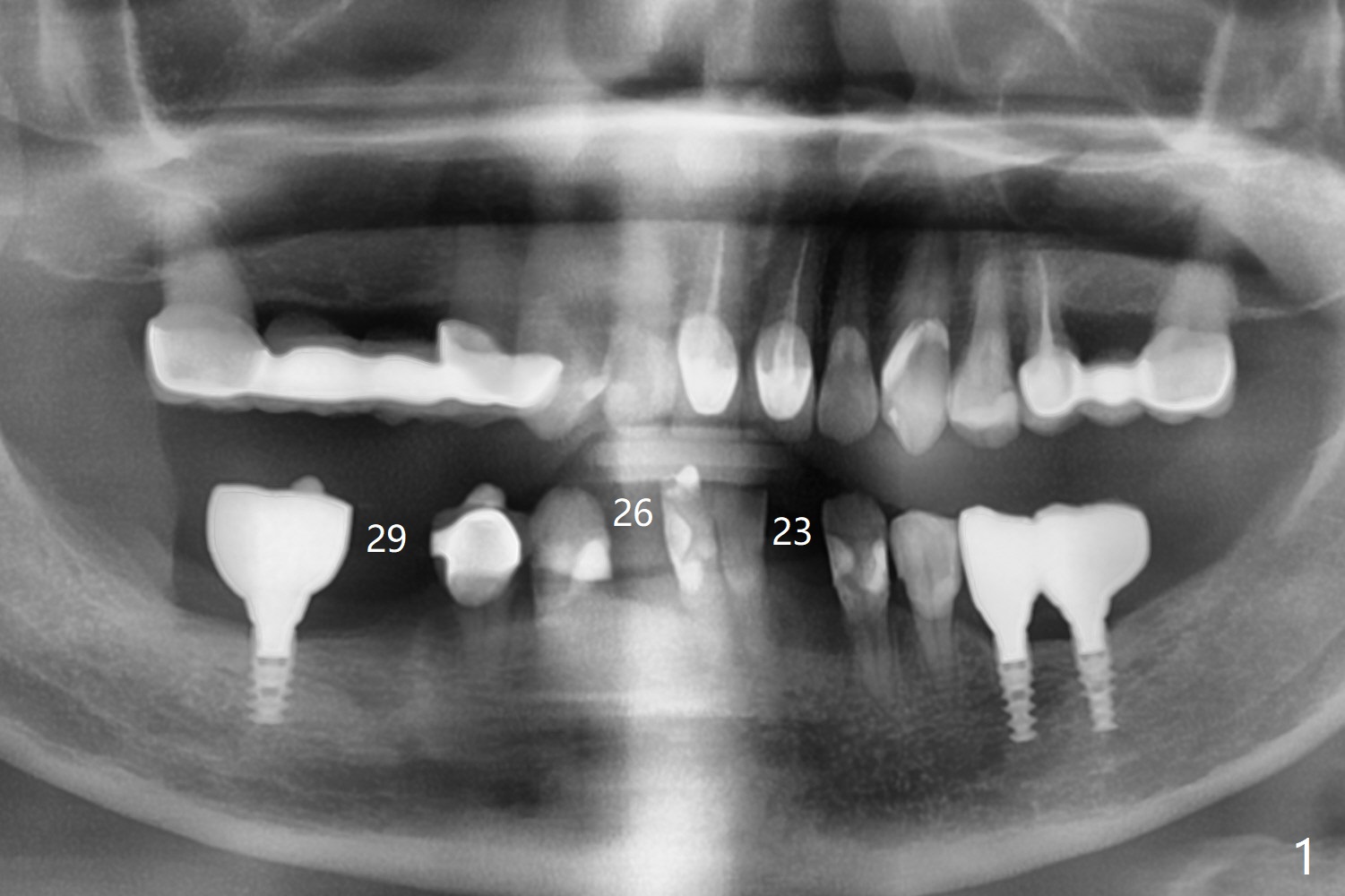
 57岁女,口干症,前一个月(23,29号牙),三个月(26号牙)拔除植骨,可能需要再等一个月(出差)才能手术,会不会太早植牙?骨质还不够

Return to No Caries 手术

Xin Wei, DDS, PhD, MS 1st edition 03/01/2021, last revision 04/01/2021