![]() |
![]() |
![]() |
低扭力
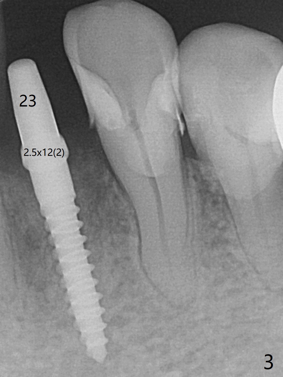
术前检查植牙位点角化龈,好像不太成熟(23,29号牙位点保存2个月,26号牙4个月),所以切开。翻瓣后,放置导板,29号牙位有意减少钻洞直径,用完3毫米钻头后,颊侧骨板已经薄,因此放入3.8x8.5毫米植体(设计4.5x8.5),颊侧植体顶端略微暴露,种深0.5毫米,之后颊侧放置自体骨和异体骨(图一:*)。26号牙钻洞也偏颊侧,所以选择4毫米袖的一段式植体,可以种深(图二,与图三对比),植入自体骨后,使用胎盘膜覆盖。由于没有特别一段式植体导板钻头,最细钻头2.2毫米,所以扭力低,没有即刻修复,下次应该减少钻洞深度,增加扭力。
Return to
No
Caries
Torque
Xin Wei,
DDS, PhD, MS 1st edition 04/01/2021, last revision
04/01/2021