![]() |
![]() |
![]() |
![]() |
Place Implant Buccal to IAC
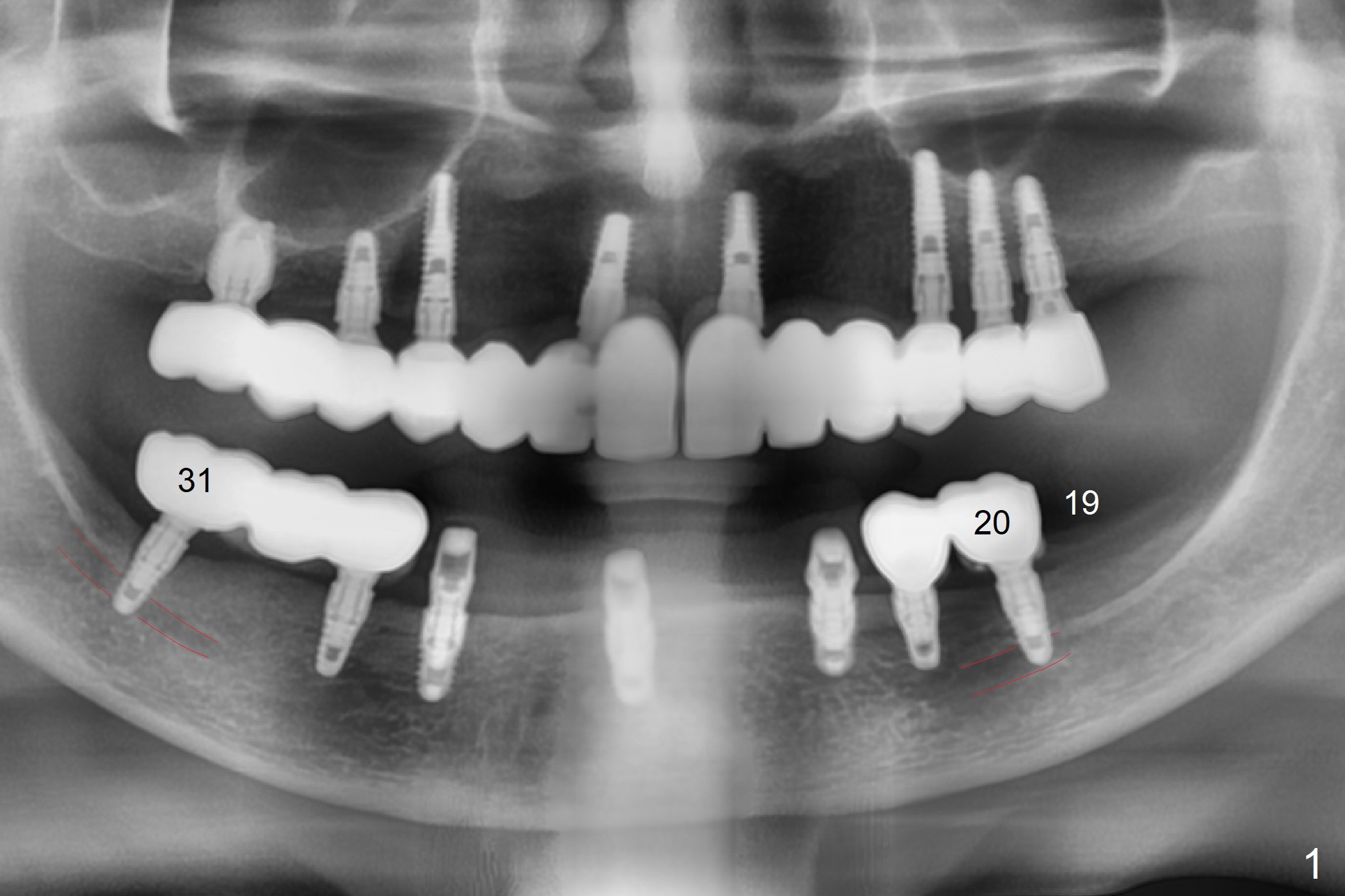
A 56-year-old woman with atrophic jaws requests redoing lower implant restoration (in function 1 year) for cosmetic reason and placing an implant at #19 (because she could not masticate on the left, Fig.1). While the 3.8x8.5 mm implants at #31 and 20 are placed lingual (L) to the Inferior Alveolar Canal (IAC, Fig.2,3) "free hand", can a 4x7.3 mm implant (Fig.4 blue outline) be placed buccally (B) at #19 with a guide?
Return to
Full Mouth Implant Reconstruction, Armaments
Xin Wei, DDS, PhD, MS 1st edition 06/20/2018, last revision 06/20/2018