![]() |
![]() |
![]() |
![]() |
![]() |
![]() |
![]() |
|
Redo Lower Implant Restoration
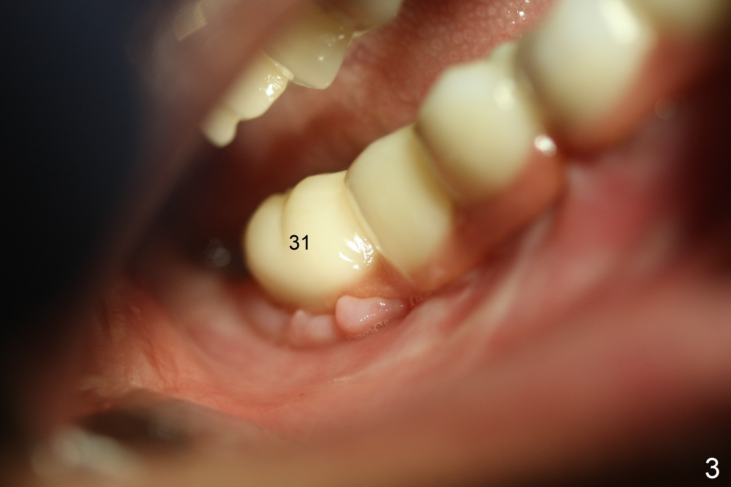
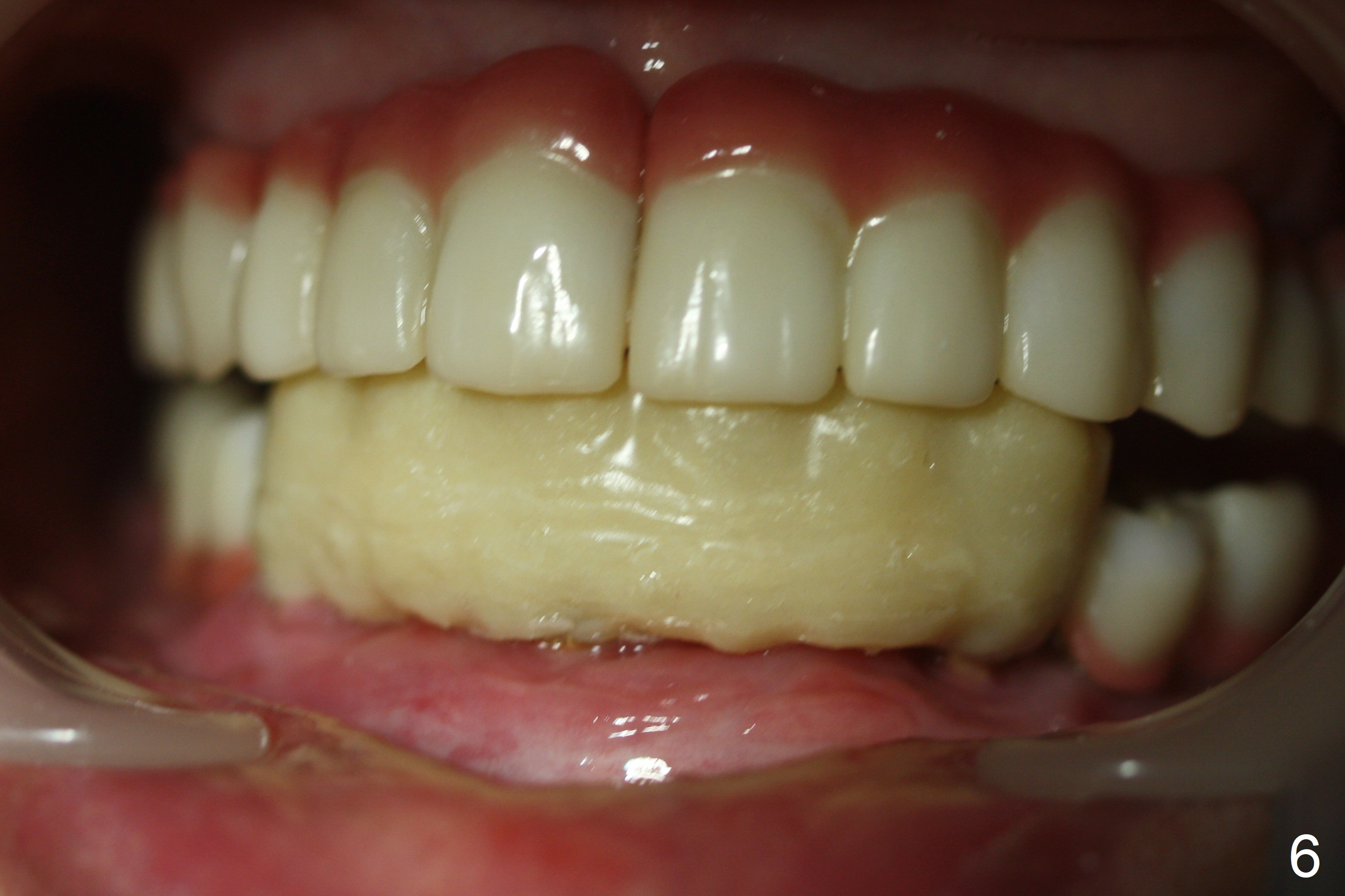
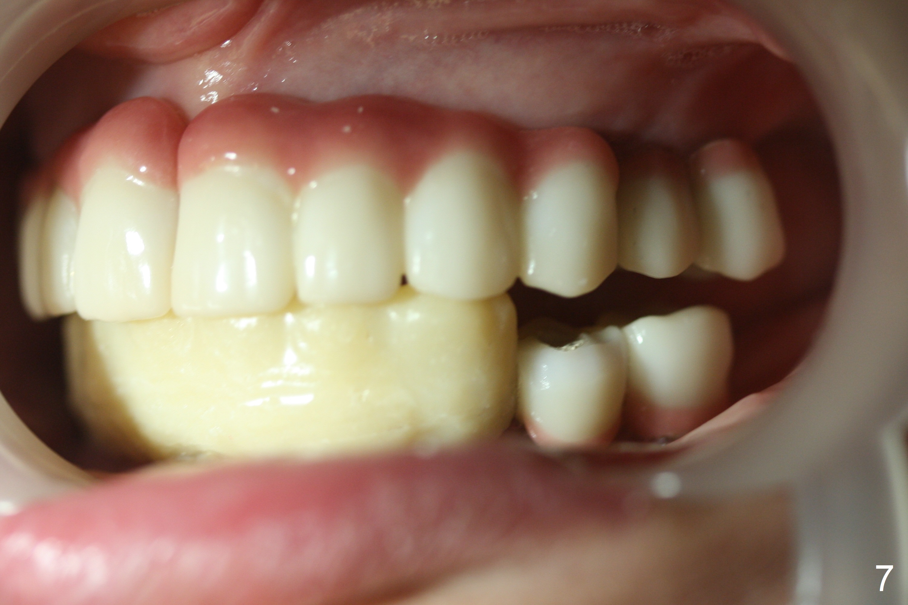
A 56-year-old woman with atrophic jaws requests redoing lower implant restoration (in function 1 year) for cosmetic reason and placing an implant at #19 (because she could not masticate on the left). Note the discrepancy between CR and CO (Fig.1,2). There is gingival hypertrophy at #31 (Fig.3), while the anterior restoration looks short with gingival recession (Fig.4). The patient is pleased instantly when lower anterior provisional is fabricated (Fig.5-7).
Return to
Full Mouth Implant Reconstruction,
Armaments
Xin Wei, DDS, PhD, MS 1st edition 06/20/2018, last revision 06/20/2018