![]() |
![]() |
![]() |
|
![]() |
![]() |
![]() |
|
![]() |
![]() |
![]() |
![]() |
![]() |
![]() |
![]() |
|
牙龈凹陷
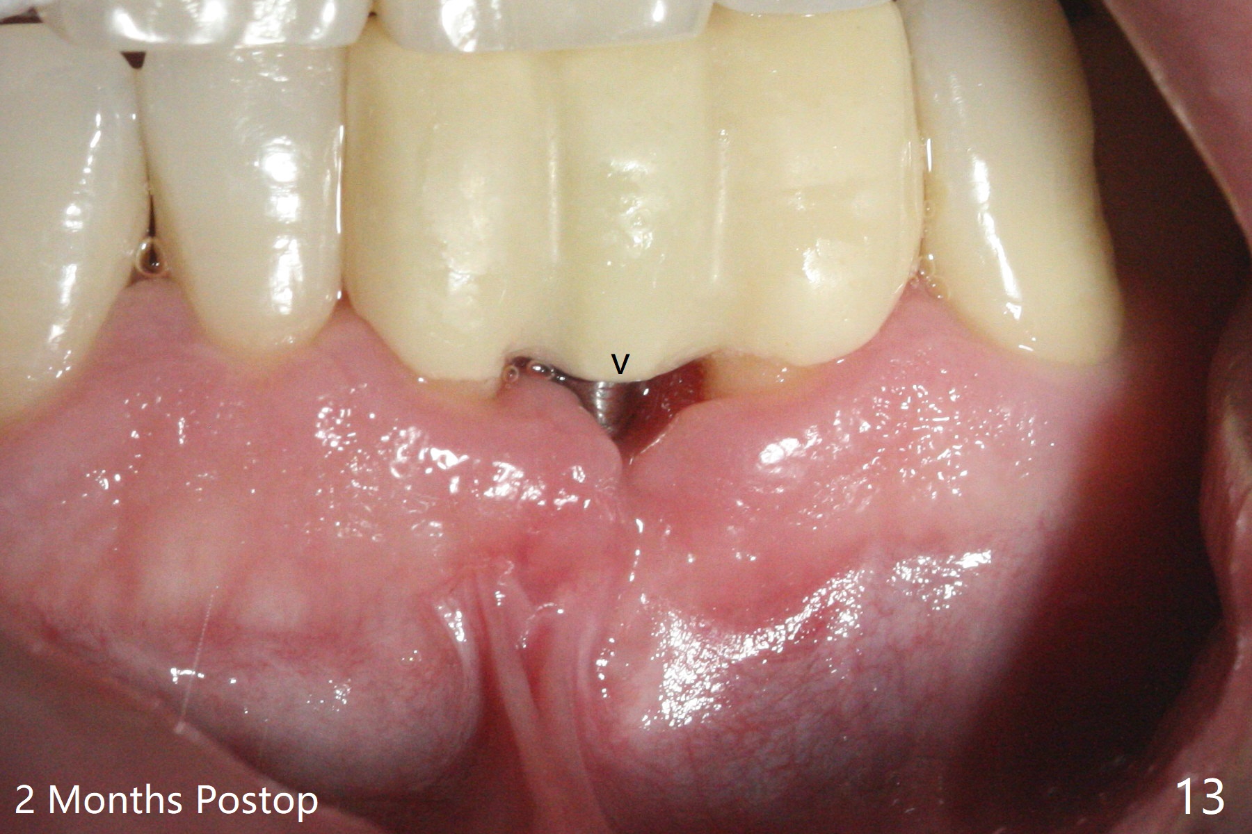
经过深洗以及改善口腔卫生,术前下前牙区牙龈基本没有红肿,但是缺牙处牙龈凹陷(图一,二:箭头),这个现象代表什么?如何影响手术进路?其实后者部分是因为牙龈与下面骨质(骨嵴)粘连(图三:*)产生的,分离粘骨膜瓣时不小心撕裂颊侧牙龈(图三(骨膜分离器下面:#),造成后来缝合困难,需要多用一个胎盘膜)。如果术前仔细分析CT 3D图像(图四,五)可以发现严重颊侧骨壁凹陷(图三:^)以及骨嵴(图四:*),事先抽血制备PRF膜和粘性骨粉,植骨效果好些(图六)。术中发现缺损,再抽血会拖延手术。最后将就用血调袢骨粉,使用胶原膜和胎盘膜覆盖(图七,八)。颊侧裂口术后十天愈合了(图九,十)。术后一个月颊侧牙龈凹陷,牙桥边缘(图十一:箭头)粗糙,临时牙桥取出,调整边缘,有利于局部卫生(图十二)。术后两个月桥边缘光滑(图十三:箭头),局部卫生和牙龈凹陷有所改善。病人将一个半月后回来取模。Return to Protect Graft 前磨牙即种 101 Xin Wei, DDS, PhD, MS 1st edition 04/30/2021, last revision 07/03/2021