![]() |
![]() |
![]() |
![]() |
![]() |
![]() |
![]() |
![]() |
![]() |
2 Sinus Tracks, 2 Residual Roots? M
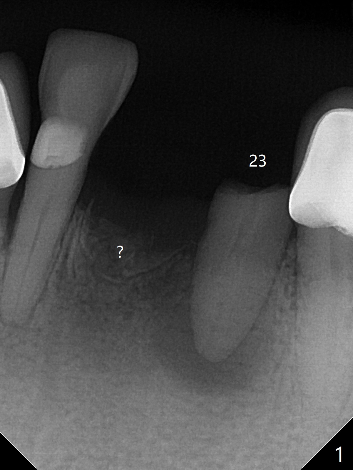
A 64-year-old woman requests extraction of the tooth #23 for lower partial (Fig.1). Since there are 2 buccal sinus tracks, another residual root is suspected (?). After shown loss of the buccal plate (Fig.2,3), the patient agrees to have socket preservation with allograft (Fig.5,6 *) and BioXclude (Fig.4 >). The suspected residual root is not explored considering the 2 sinus tracks being associated with the lesion of #23 (Fig.2,3). Cytoplast is not used because of time constraint and fear of gingival dehiscence associated with extensive dissection. In fact the sinus tracks shrink in a week, while the buccal plate remains bulging (Fig.7 *) and the socket heals (Fig.8 >). The buccal plate is flat (no swelling) 1 month postop (Fig.9).
Return to
Lower
Incisor Immediate Implant,
Trajectory II
Xin Wei, DDS, PhD, MS 1st edition
11/16/2019, last revision
01/19/2020