![]() |
Severe Bone Loss and Thick Gingiva
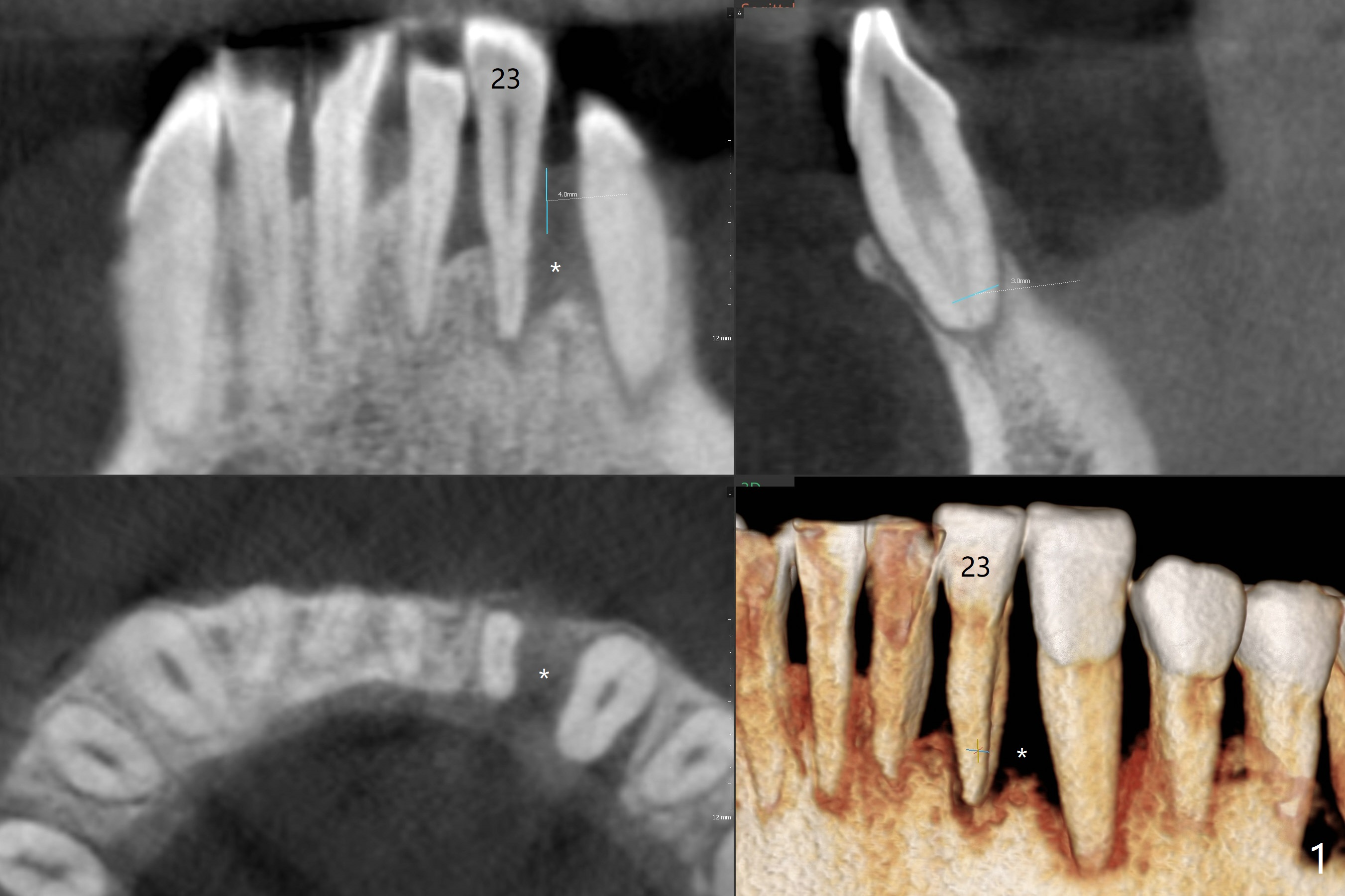
A 47-year-old man has strong desire to take care of #7 cross bite and #23 periodontitis after finishing implants at #3, 9, and 19. CBCT taken 2 years earlier shows severe bone loss around the tooth #23, especially distal (Fig.1 *). After placement of a 3 mm 1-piece implant with 4 mm cuff (because of the thick gingiva), pack bone graft between #22 and 23. Take preop photos and PAs.
Return to
Lower
Incisor
Multiple Tooth Immediate Implant, Armaments,
Clindamycin Metronidazole
No Antibiotic
Xin Wei, DDS, PhD, MS 1st edition 04/22/2018, last revision 04/22/2018