![]() |
![]() |
![]() |
![]() |
![]() |
![]() |
![]() |
![]() |
![]() |
|||
![]() |
![]() |
![]() |
|||
PRF and Allograft Repair Buccal Plate
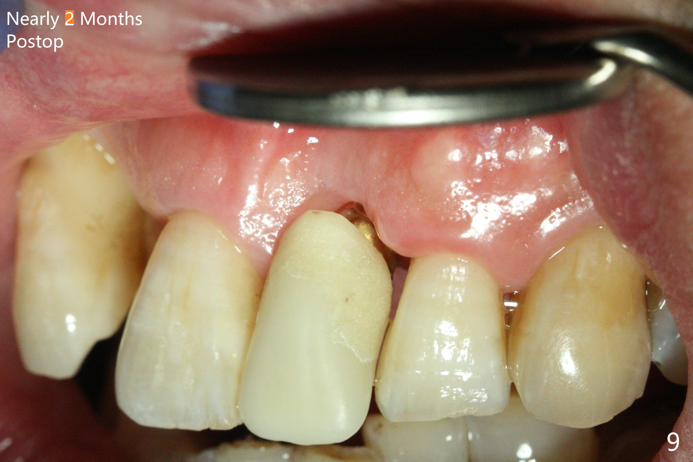
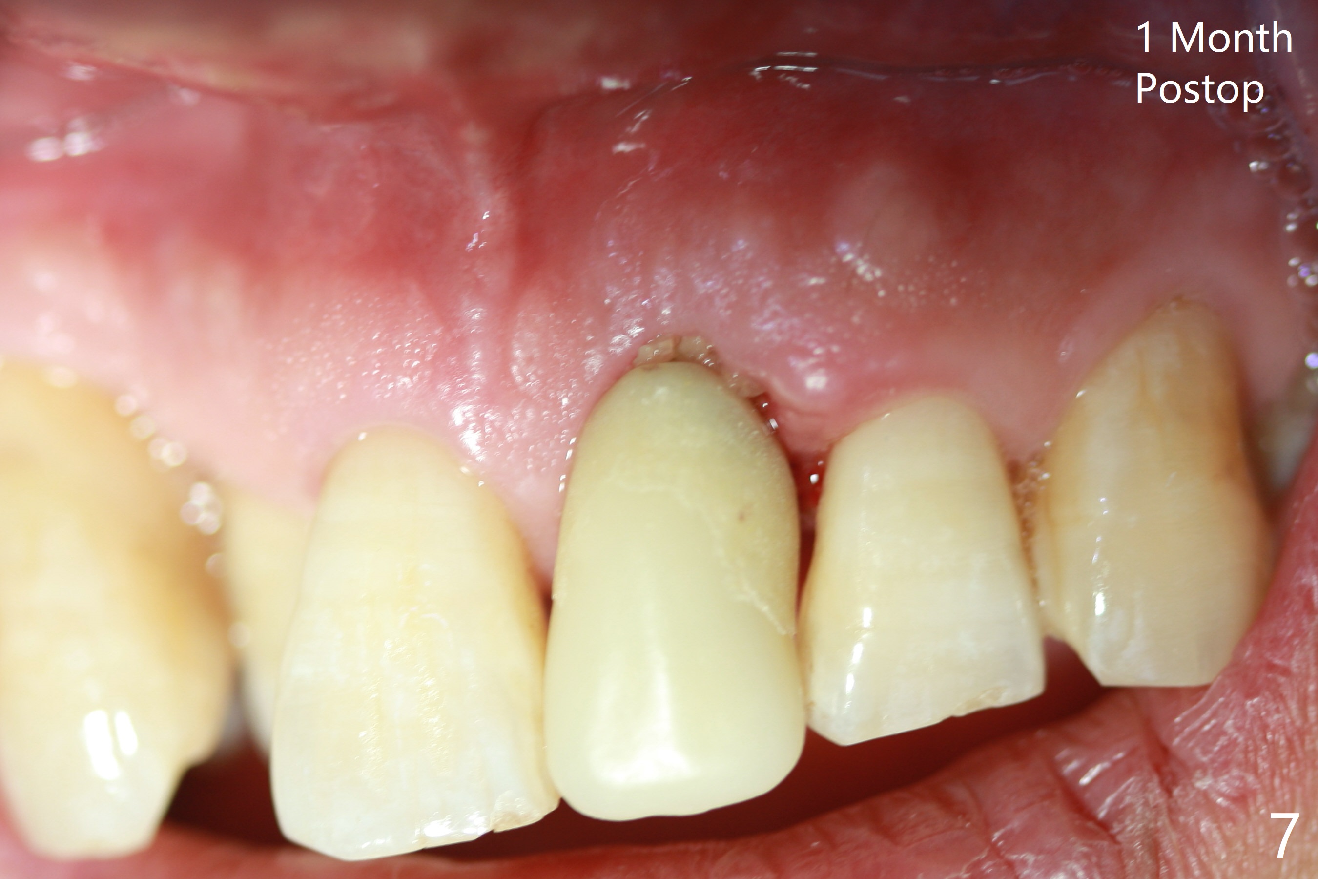
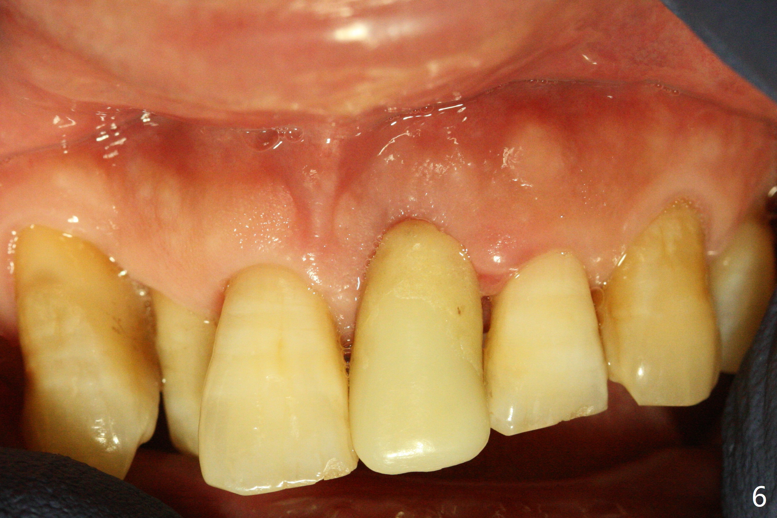
Immediately preop PA confirms loss of the buccal plate at #9 (Fig.1 *). In contrast the palatal crest is ~ 4 mm subgingival (WNL) after extraction. When initial osteotomy reaches 18 mm, there is moderate hemorrhage, probably due to close to the nasal floor (Fig.2 red dashed line). Following sequential osteotomy, a 3.8x15 mm dummy implant is placed partially (Fig.3 (pink: apical osteotomy)). After placement of an implant with the same dimension as the dummy's (Fig.4), PRF is laid against the inner surface of the buccal defect and allograft (Fig.5 *) is packed mainly in the buccal gap before and after insertion of a 4.5x5(4) mm abutment. The patient is satisfied with the immediate provisional (Fig.6: 1 week postop). The buccal margin of the provisional is shortened with exposure of bone graft to facilitate gingival downgrowth (Fig.6: 1 month postop). The buccal plate seems to collapse nearly 2 months postop (Fig.8 *), probably due to loss of the bone graft. The abutment is exposed buccally (Fig.9). The margin of the abutment is reprep and the provisional is relined so that the margin of the provisional is palatal to the buccal gingival margin. In 2-3 weeks, a temporary abutment will be used to bulk the buccal gingiva. The gingiva seems to have downgrown; the buccal plate collapse appears normal nearly 3 months postop (Fig.10). The patient is more concerned about cross bite at #7. A temporary abutment is not used. The bone graft remains in place 3.5 and 4.5 months postop (Fig.11,12 *). Between 3 and 4 months postop, the mesial surface of the abutment has been trimmed (Fig.12 >). Since the mesial surface of the tooth #10 will be reduced (white curved line) to correct the upper dental midline, an angled abutment (red line) seems to be necessary to shift the provisional distal.
Before bracketing (u5-5) or power chain/open coil spring, align the mesial surface of the provisional to the facial midline.
Return to Upper Incisor Multiple Tooth Immediate Implant, Armaments, 3, 19, 23, Ortho Model
Xin Wei, DDS, PhD, MS 1st edition 02/02/2018, last revision 09/03/2018