![]() |
![]() |
![]() |
Long Implants for Partial Edentulism
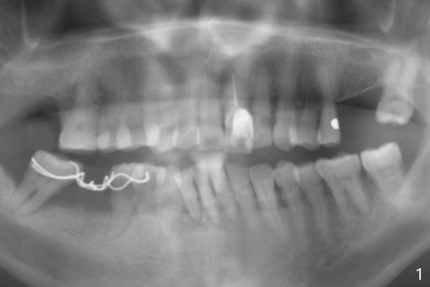
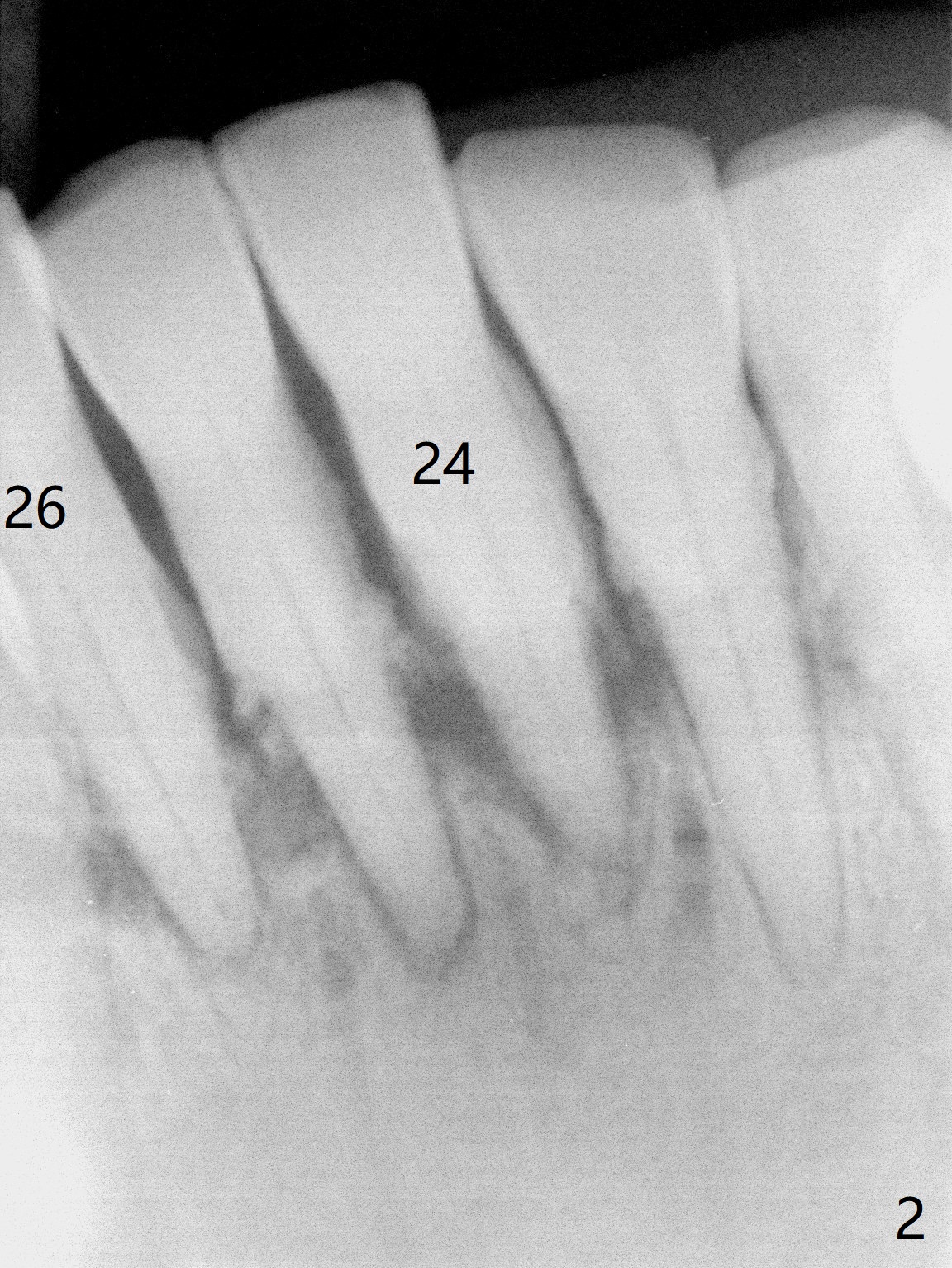
A 73-year-old man has poor dentition with lack of posterior support (Fig.1). The teeth #24-26 were mobile > 1 year ago (Fig.2), while the tooth #27 is reportedly now. To counter heavy mastication, long implants are to be placed (Fig.3). Take preop photos and PAs.
Lower Incisor Canine Immediate Implant, Armaments, Clindamycin, 14/15
Xin Wei, DDS, PhD, MS 1st Version 03/22/2018, Last Update 10/21/2018