![]() |
![]() |
![]() |
![]() |
![]() |
![]() |
![]() ![]() |
![]() |
||
|
|
![]() |
![]() |
|
|
3 Implants for 4 Lower Incisors
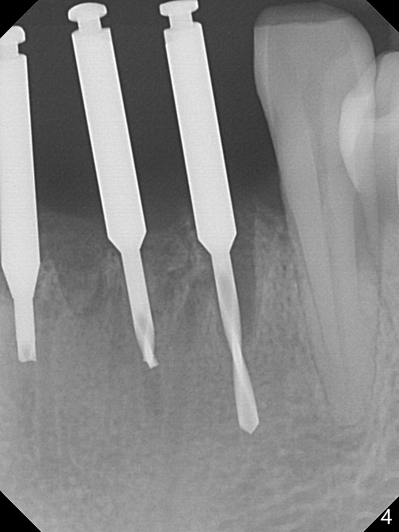
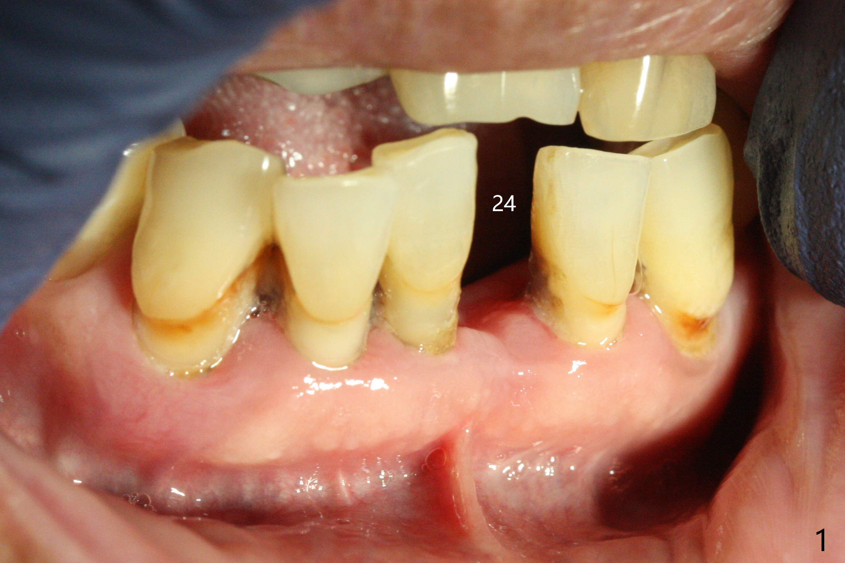
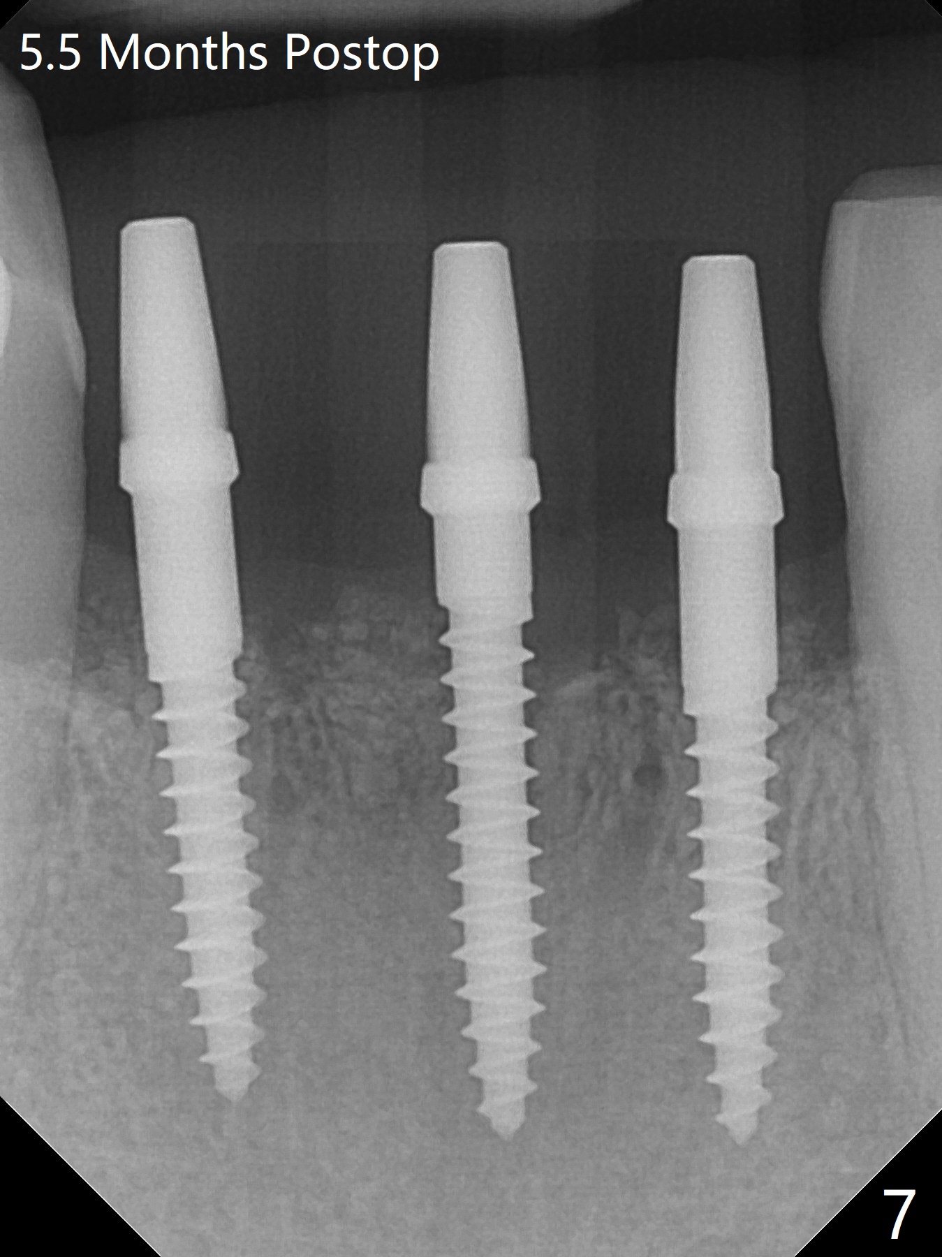
When the patient returns, the tooth #24 has exfoliated, while the ones at #25 and 26 has mobility III (Fig.1). The patient requests the tooth #23 extraction (Fig.2), but not #27. After SRP and extraction, osteotomy is initiated mesial to the sockets #23,25 and 26 (Fig.3,4) with intention to place 3 1-piece implants for 3 incisor crowns (Fig.5,6). Following Vanilla graft (Fig.5 *) a splinted provisional is fabricated to close the sockets (Fig.6). Peri-implant spaces close 5.5 months postop (Fig.7). Impression is taken after reprep for margin and parallelism (Fig.8). The final restoration consists of #23 single unit crown and #24-26 3-unit FPD (Fig.9). It appears that 2.5 mm 1-piece implants are not too small for the lower incisors (Fig.10-12), especially the central one (Fig.11). There may be perforation in the apical half of the lingual plate (L in Fig.10). The patient is not pleased with the shade of the #24-26 3-unit FPD (Fig.13 (6 months post cementation)). There is metal show through the abutments (*).
Return to Lower Incisor Immediate Implant, Armaments, 10, 14/15
Xin Wei, DDS, PhD, MS 1st edition 03/30/2018, last revision 04/16/2019