![]() |
![]() |
![]() |
![]() |
中隔正中
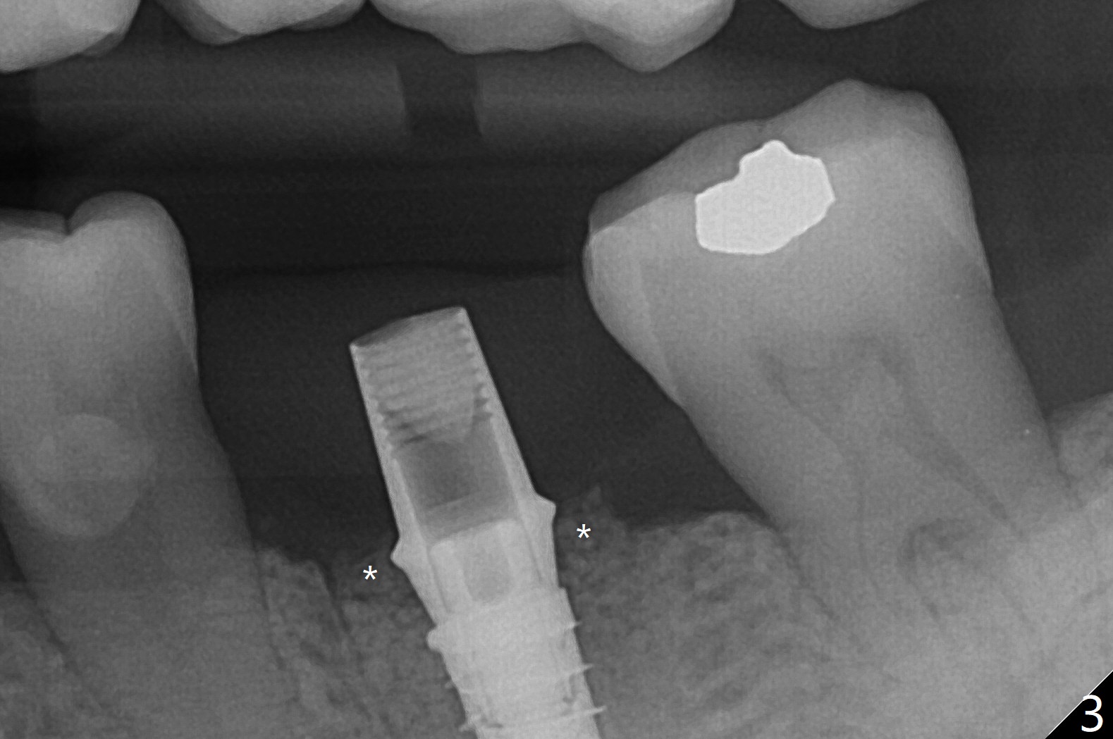
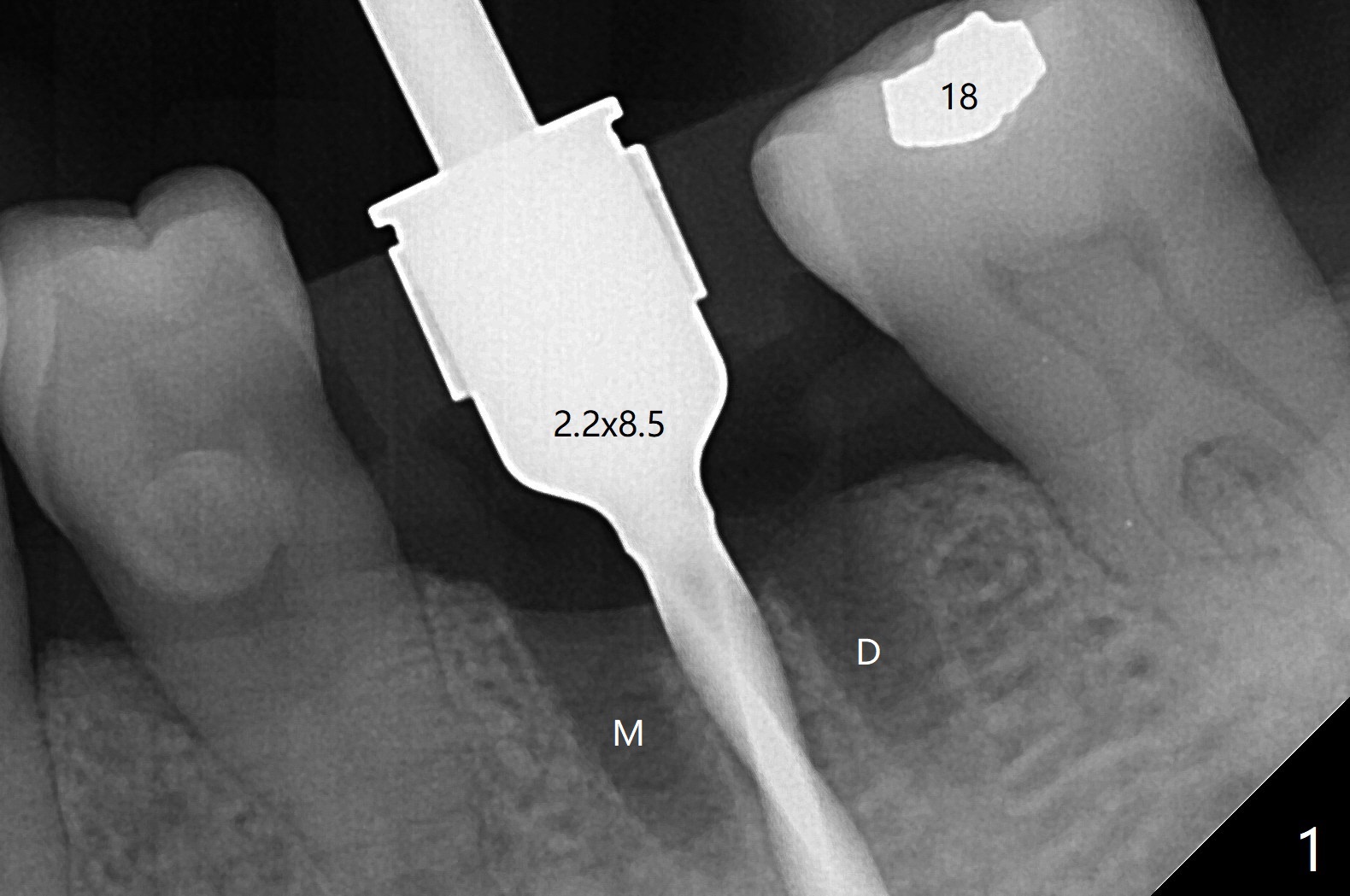
左下第一磨牙拔除后,放置导板,最细钻头到深度,没有偏移: 在中隔正中(图一),细短植体植入后基本保持在中隔之中(图二),扭力~30Ncm,在近中,远中剩余牙槽窝植骨后(图二:*),安置修复基台。制作临时牙冠后,在基台周围再次放置骨粉(图三)。术后7天牙周敷料脱落,12天复查时,临时牙冠周围软组织(角化龈,龈乳头)正常(图四)。
Return to
Prevent Molar Periimplantitis (Protocols,
Table)
Protect
Graft
Torque
纠纷
Xin Wei,
DDS, PhD, MS 1st edition 05/24/2021, last revision
06/06/2021