![]() |
![]() |
![]() |
|
![]() |
![]() |
![]() |
![]() |
![]() |
|||
牙齿敏感
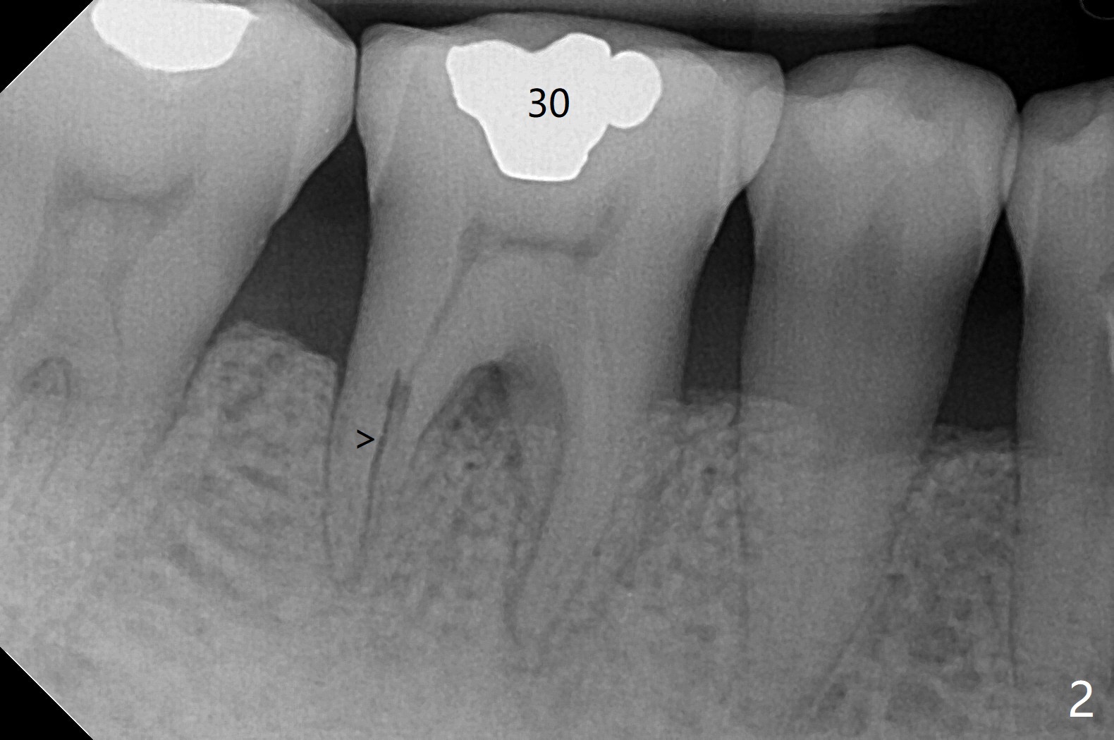
57岁女全口牙龈萎缩骨质吸收,其实卫生好,3号牙金属圈多年,治疗牙齿隐裂,骨质吸收和牙裂与咀嚼力大有关。最近抱怨19,30号牙敏感(图一),涂脱敏剂无效,拍摄根尖片(图二,三),显示30号牙远中根,19号牙近中根从牙槽嵴开始仿佛纵裂(图二,三),牙周探针患根周围触痛。磨牙牙根好像一段式植体,断裂总是发生于牙槽嵴顶,不过是横裂,所以一定要植入牙槽嵴之下,还要考虑今后牙槽嵴吸收。如何确诊牙根纵裂呢?例如19号牙CT显示颊侧近中根(图四,六:B)牙槽嵴处断裂(箭头)。利用一个叫Profile Program(Profilogram)测定近中根横断面平均密度,舌侧密度基本均匀(图七),而颊侧断裂处密度突然降低(图八)。当断裂还不是很明显时(隐裂),测定平均密度就显得重要,帮助诊断。
Return to
Prevent Molar Periimplantitis (Protocols,
Table)
No
Caries
Clindamycin
提升
Guide 19 手术
19
纠纷
Xin Wei,
DDS, PhD, MS 1st edition 04/02/2021, last revision
06/06/2021