![]() |
![]() |
![]() |
|||
![]() |
![]() |
![]() |
![]() |
||
![]() |
![]() |
![]() |
![]() |
![]() |
![]() |
![]() ![]() |
![]() |
![]() |
|||
![]() |
![]() |
![]() |
|||
Septum-Related Osteotomy Deviation
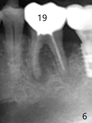
Venopuncture is conducted (Fig.1) for PRF and sticky bone (cortical chip and .5 cc ß-TCP). After use of proximators at #19, cowhorn forceps are applied, resulting in metal crown dislodgement. Since there is distal bone loss, distal socket sheath is contemplated. The tooth is sectioned. When an elevator is inserted between the roots, the distal root is loosened first. The 2 roots are removed, revealing a rounded end septum (Fig.2 S) and a larger distal socket. To avoid osteotomy deviation over the septum, a 12 mm bone trimmer is used, followed by point drill (Fig.3 *). But the lower half of the implant is deviated mesial (Fig.4) with decreased torque (~ 10 Ncm). To overcome this misfortune, the roots should not be removed until osteotomy is finished. Dual zones of bone graft is conducted. Sticky bone is placed until the plateau of the implant with a healing screw in place (Fig.4 * (bone zone)). After placement of a pair abutment, the same bone graft is packed until the margin of the abutment (Fig.5 * (soft tissue zone)). An immediate provisional is fabricated to close the socket with a piece of PRF as well. Fig.6-11 explains why the lower half of the implant deviates to the mesial socket, while Fig.12-16 illustrates how to prevent the deviation. After extraction of #19 (Fig.6,7), the crest of the septum is flattened (Fig.8 arrowhead) to prevent the initial deviation (Fig.9 red line). When a drill reaches a space (a socket, mesial in this case), the drill is deflected to the least resistant area (Fig.10 a bent red line), leading to the implant deviation apically (Fig.11 green). To prevent the apical deviation, therefore, the roots of the affected tooth is temporarily not removed (Fig.12). The osteotomy should not deviates with surgical guide because of similar density between the tooth and the bone (Fig.13). When the osteotomy is finished (Fig.14), the roots are extracted (Fig.15). The implant to be placed should not have deviation (Fig.16 green). The papillae are maintained by the immediate provisional 11 days postop (Fig.17). The incompletely seated abutment at #18 (Fig.5 <) is reseated completely 6 months postop (Fig.18). Crestal bone forms distal to #19 implant. There is no bone loss 4 months and 3 years 1 month post cementation at #19 and 18, respectively (Fig.19,20).
Return to
No Deviation
GEM21S Plug
Next Case (Deviation)
4 纠纷
Xin Wei,
DDS, PhD, MS 1st edition 05/28/2020, last revision
06/11/2021