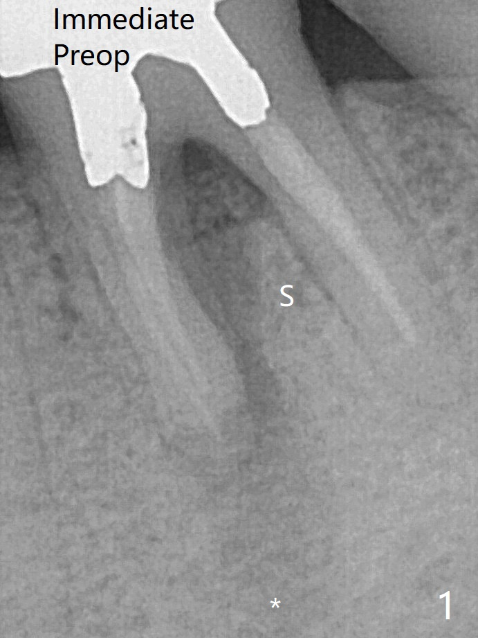
When the patient returns for #15 comp, the bone resorption and swelling at #19 are worse than those 3 years ago (Fig.1,2).  53岁男三年来左下六反复感染(图一,二)。

BioXclude     Last     Next

Xin Wei, DDS, PhD, MS 1st edition 07/13/2020, last revision 07/29/2020