![]() |
![]() |
|
![]() |
![]() |
![]() |
Small and Lingual
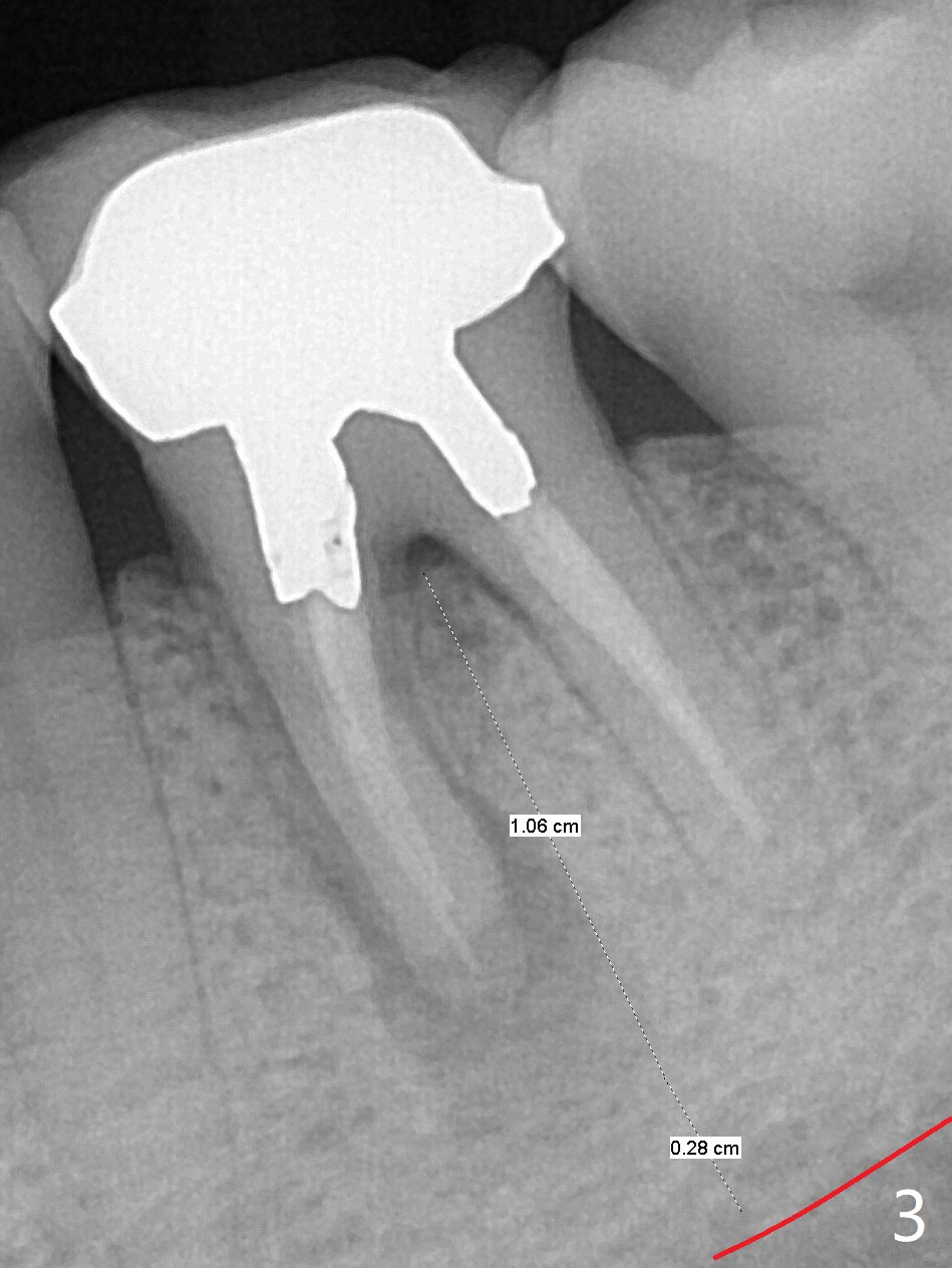
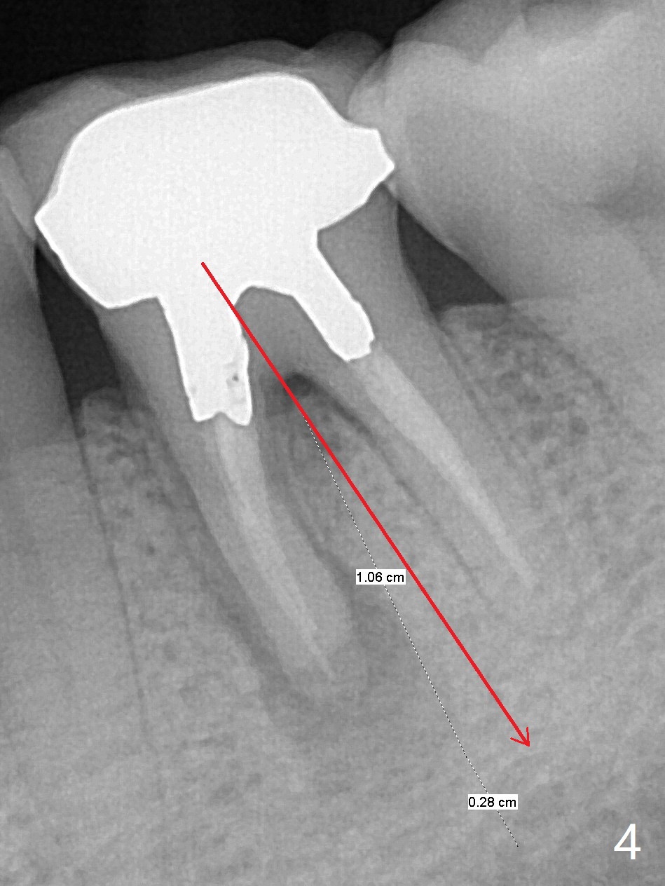
A 53-year-old man has had pain with chewing gums at #19 for 3 years (Fig.1). While a 7x17 mm implant was immediately placed at #30 six years earlier, a 5x17 mm one will be inserted at #19 as lingual as possible to reduce buccal thread exposure (Fig.2). The whole tooth will be extracted before osteotomy in the septum, since the roots in the sockets do not help free hand osteotomy unless the crown breaks off during extraction. Initial depth will be 14 mm. Use Tatum 17 mm drills. Drills are more likely deviated to the mesial socket with large PARL (Fig.1 *). Use visual acuity to correct deviation as early as possible. Pack sticky bone into the mesial bony defect for repair. Take photos of #19 and 30 for buccal recession and fistula if present. It is safe to place a 11 mm long bone level implant (Fig.3,5). It would be ideal to establish initial osteotomy as indicated by the red arrow (Fig.4).
Return to Lower Molar Immediate Implant, Prevent Molar Periimplantitis (Protocols, Table) No Deviation No Antibiotic Webinars
Xin Wei, DDS, PhD, MS 1st edition 07/12/2020, last revision 07/13/2020