![]() |
![]() |
![]() |
![]() |
![]() |
![]() |
![]() |
![]() |
![]() |
![]() |
![]() |
![]() |
Free Hand Osteotomy While Roots are in Place
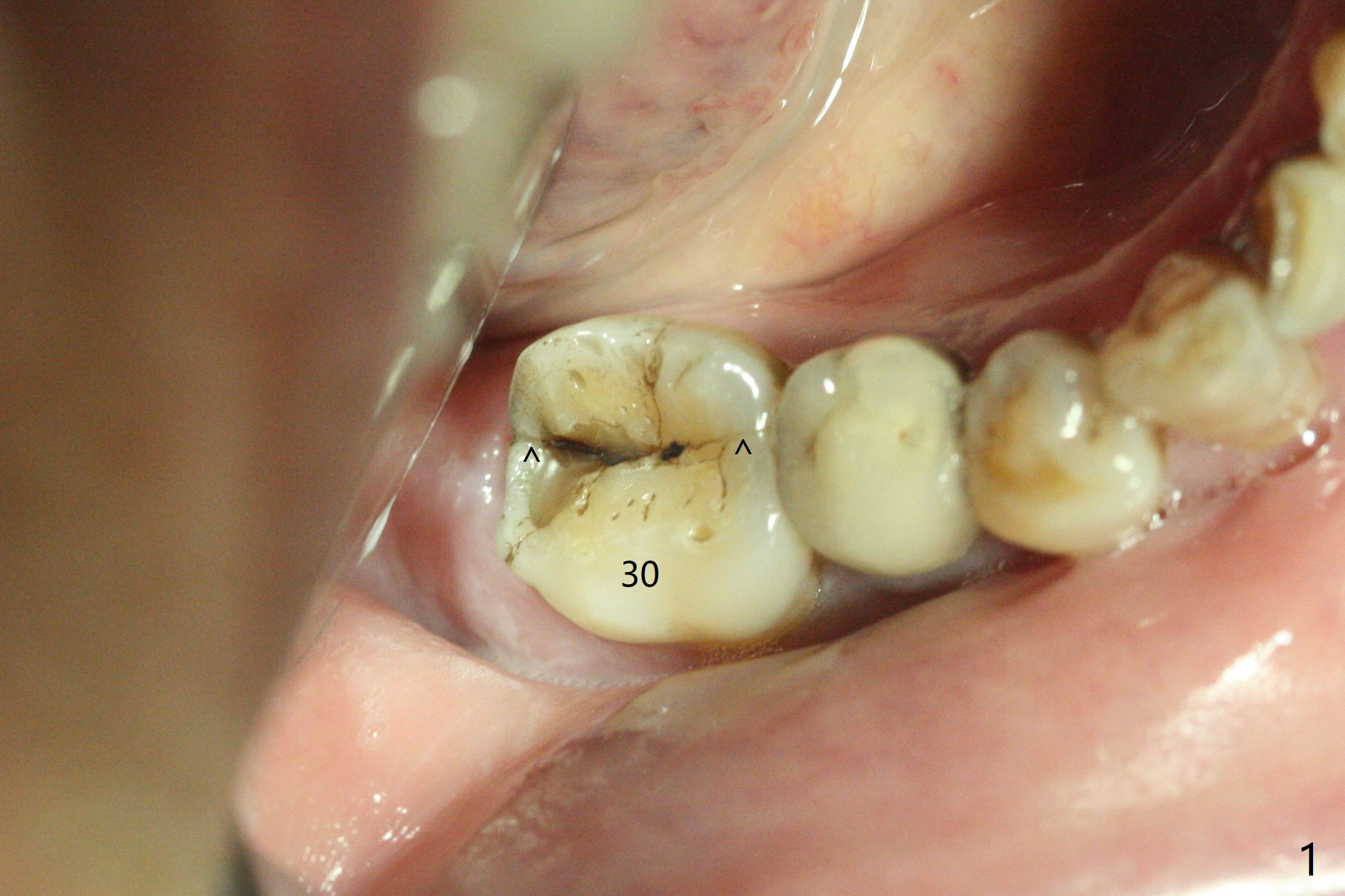
A 59-year-old woman with severe pain and mobility at #30 returns to clinic for extraction and implant on emergency basis (Fig.1 ^: crazing line). To prevent osteotomy deviation off the septum, the crown is sectioned (Fig.2) and the coronal end of the septum is exposed. In fact the initial osteotomy is blind (Fig.3). After increasing the access (Fig.4), trying to change trajectory and increasing the depth and diameter of the osteotomy, the trajectory deviates to the distal socket (Fig.5). Following root extraction, debridement of the sockets and minor trajectory change, a 4x11 mm dummy implant is placed (Fig.6). With a drastic change in osteotomy, the dummy implant position is somewhat acceptable with a 5.2x4 mm planning abutment (Fig.7 P). After placement of bone graft around the 4.5x11 mm final implant to enhance stability, a 5.5x4(3) mm definitive abutment is placed in a restorable position (Fig.8). The implant turns while the abutment screw is hand tightened. Since there is an apical space (Fig.8 <), the implant is then placed ~ 1mm deeper with ~ 30 Ncm (Fig.9). A longer cuffed abutment is inserted and more bone graft is placed (*). In summary, roots in the sockets do not seem to help free hand osteotomy in the lower 1st molar. It is also difficult to control pain during acute infection. Block anesthesia has to be administered, increasing the chance of nerve injury. Either guided surgery or delayed implant should be conducted. There is no postop paresthesia, although the buccal gingiva is slightly erythematou, edematous and tender 1 week posotp. Oral Amoxicillin is prescribed for one more week. The keratinized gingiva (Fig.10 ^) and the papilla (*) are maintained in place around the immediate provisional (P) 2 months 20 days postop. The soft tissue remains normal 4 months postop (Fig.11) and immediate pre cementation (Fig.12).
Return to
Prevent Molar Periimplantitis (Protocols,
Table)
No Deviation
Metronidazole
Webinars
Next Case
Xin Wei,
DDS, PhD, MS 1st edition 07/09/2020, last revision
11/04/2020