![]() |
Low Density
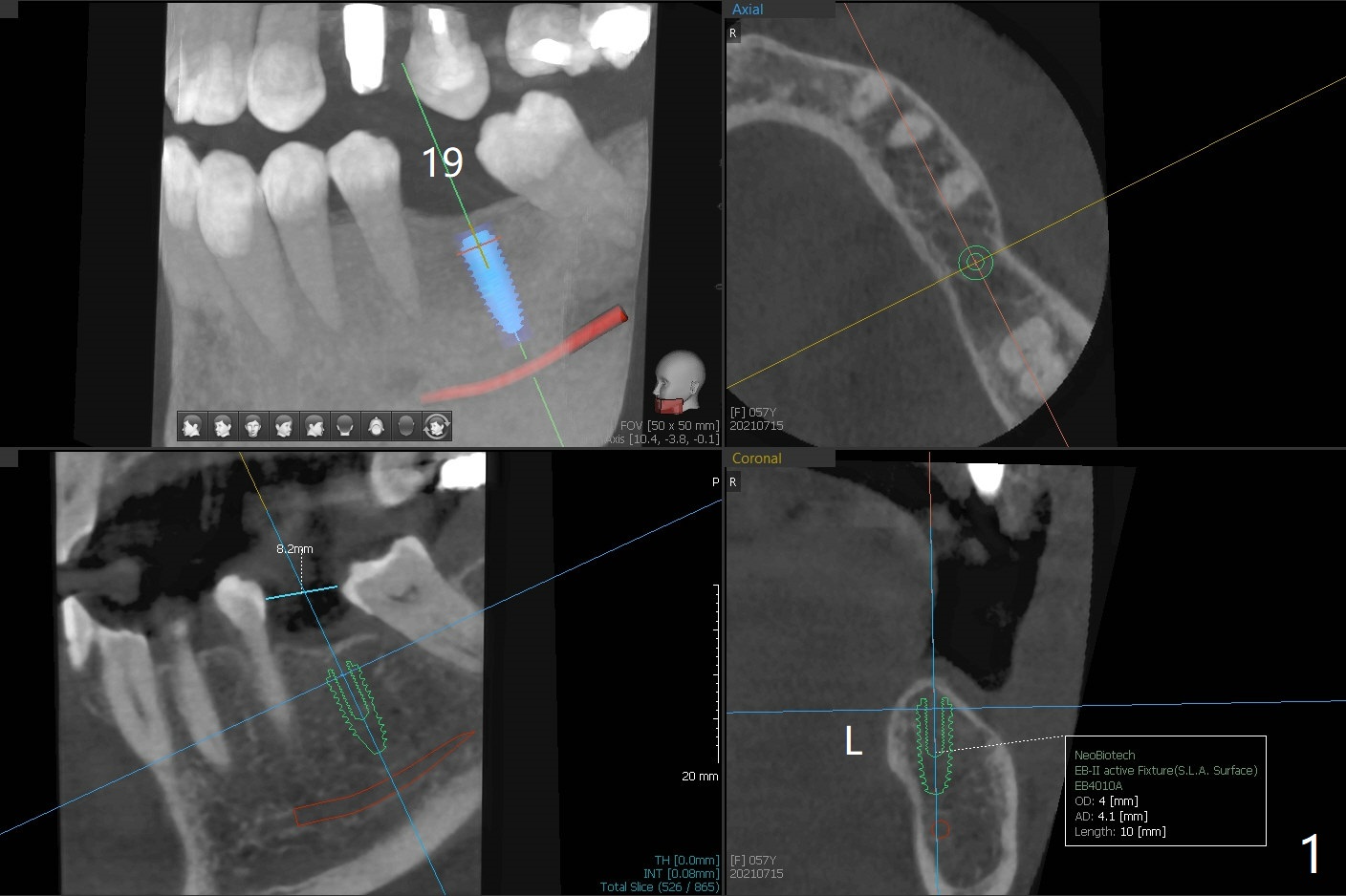
A 57-year-old woman agrees to have #19 implant placed after #12 one and before upper right ones (Fig.1).
Return to
Protect
Graft
Oral
Scanner
Guide
Xin Wei,
DDS, PhD, MS 1st edition 07/17/2021, last revision
08/01/2021