![]() |
![]() |
![]() |
Tooth Crack: Emergency
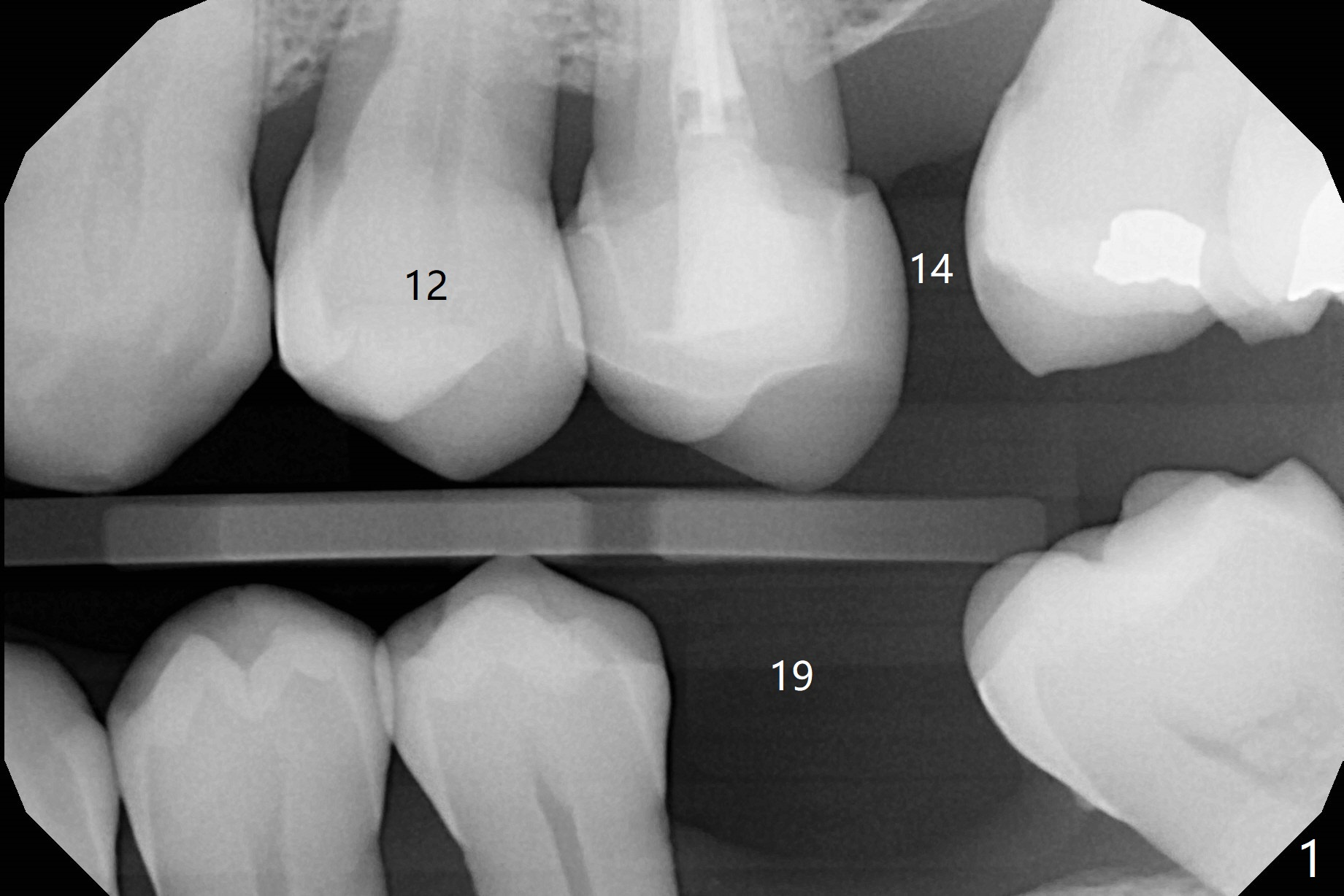
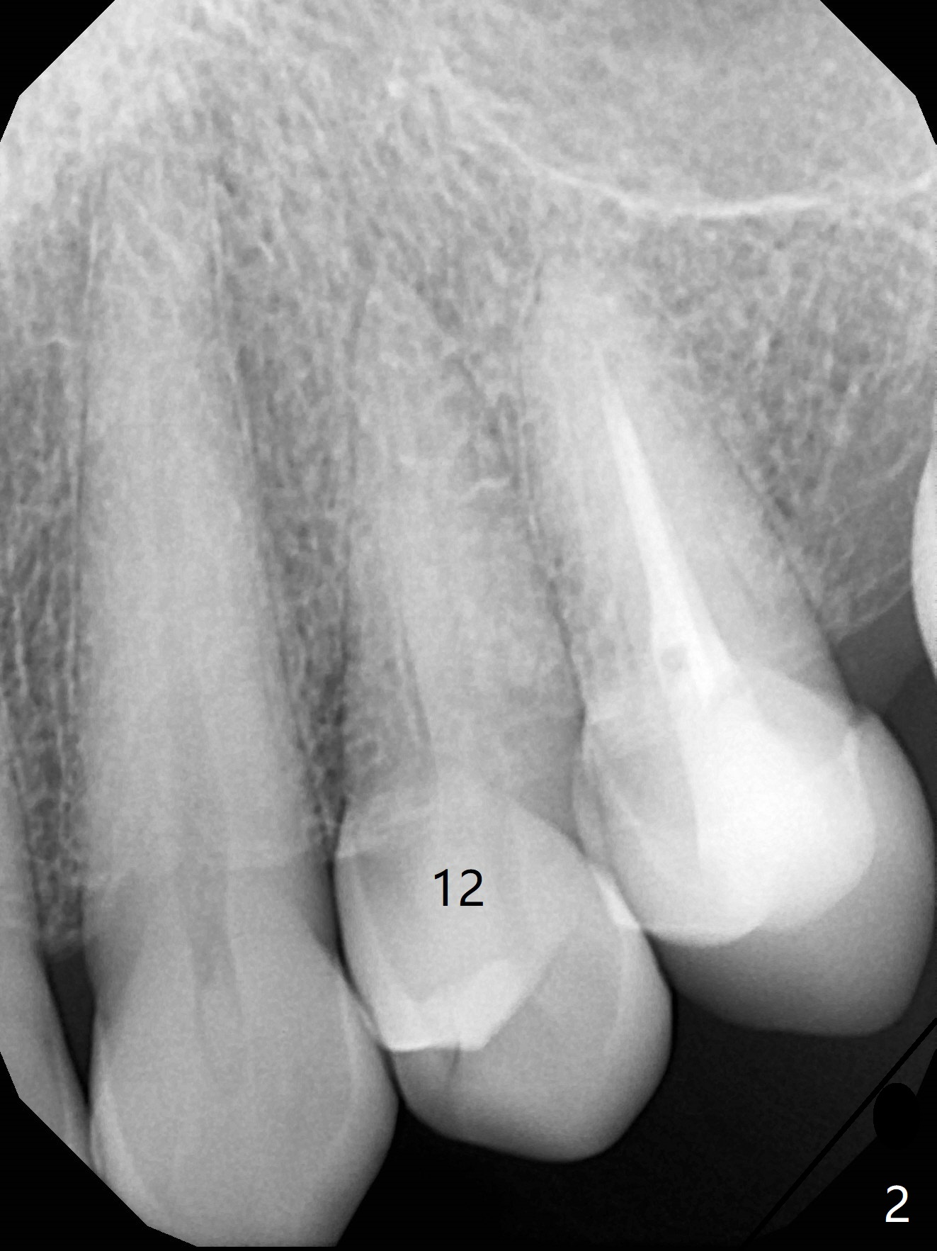
A 57-year-old woman presents to clinic when her ex-dentist is too busy to place immediate implant for a crack tooth at #12 (Fig.1,2). Free hand placement is scheduled in 2 days. Because of loss of several molars, the occlusal clearance for the immediate provisional should be sufficient (Fig.3). Prepare 4 or 4.5 x17 or 20 mm Tatum implants. Take photos of the crack before surgery.
Return to
Protect
Graft
Clindamycin
位点保存
19
Xin Wei,
DDS, PhD, MS 1st edition 07/07/2021, last revision
07/18/2021