![]() |
![]() |
![]() |
![]() |
Dense Bone Post Socket Preservation
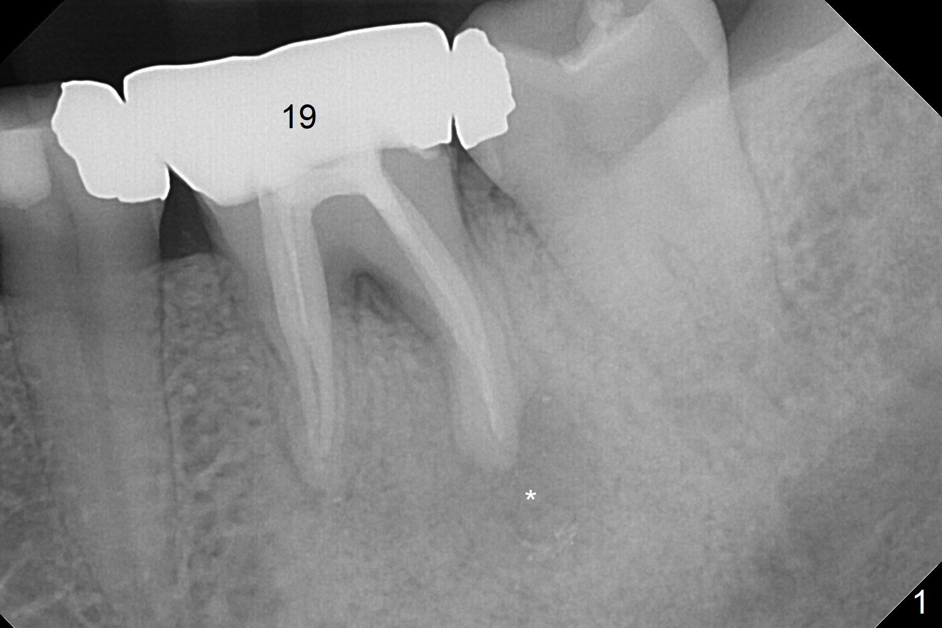
A 53-year-old woman has discomfort at #19 4-5 years post RCT (Fig.1 (*: PARL), 1 year before extraction). She returns for implant placement 4 months post socket preservation in other office (Fig.2 *). The socket appears to have healed with dense bone formation (average 1160 units, Fig.3). A 5x11.5 mm implant will be placed with guide (Fig.4). Will composite at #20 MOL (Fig.2 arrowhead) and PVS impression after CBCT affect surgical guide fabrication accuracy? Or the composite should be done after guided surgery?
Return to
Lower
Molar Immediate Implant,
Armaments
手术
位点保存/导板
Xin Wei, DDS, PhD, MS 1st edition 05/19/2018, last revision 11/08/2020