![]() |
![]() |
![]() |
Bone Height Decreases As Residual Roots are Expelled M
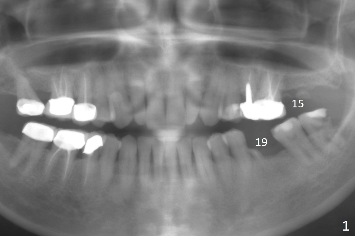
A 47-year-old woman has residual roots at #15 and 19 (Fig.1). Seven years earlier, the bone height is ~ 7 mm (Fig.2), as compared to ~5 mm now (Fig.3). It is apparent that the bone height decreases as the residual roots are expelled. An advantage is that the ridge is flat, easy to initiate osteotomy. Magic Sinus Lifter is to be used for sinus lift. The regular surgical kit should be also available. Proximators will be used to remove the residual roots. Magic Split may be used to initiate osteotomy.
It is also easy to initiate osteotomy at #19 after removal of the mesial residual root (Fig.3). A 5x11 mm IBS implant will be placed (first as compared to #15). After extraction, use Magic Split to increase osteotomy site, followed by Magic Expanders and/or Drills. Take preop photos of the site to show the possible narrow ridge.
Return to
Upper
Lower
Molar Immediate Implant, Prevent
Molar Periimplantitis (Protocols,
Table),
Armaments,
Metronidazole
Xin Wei, DDS, PhD, MS 1st edition 11/17/2017, last revision 03/21/2020