![]() |
![]() |
![]() |
||
![]() |
![]() |
![]() |
![]() |
![]() |
![]() |
||||
Mesial Residual Root, Distal Narrow Ridge M
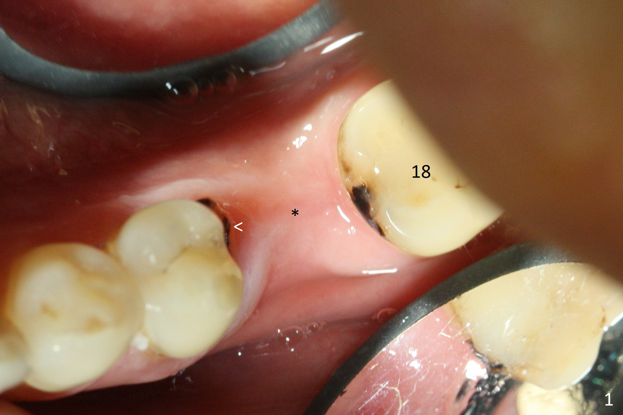
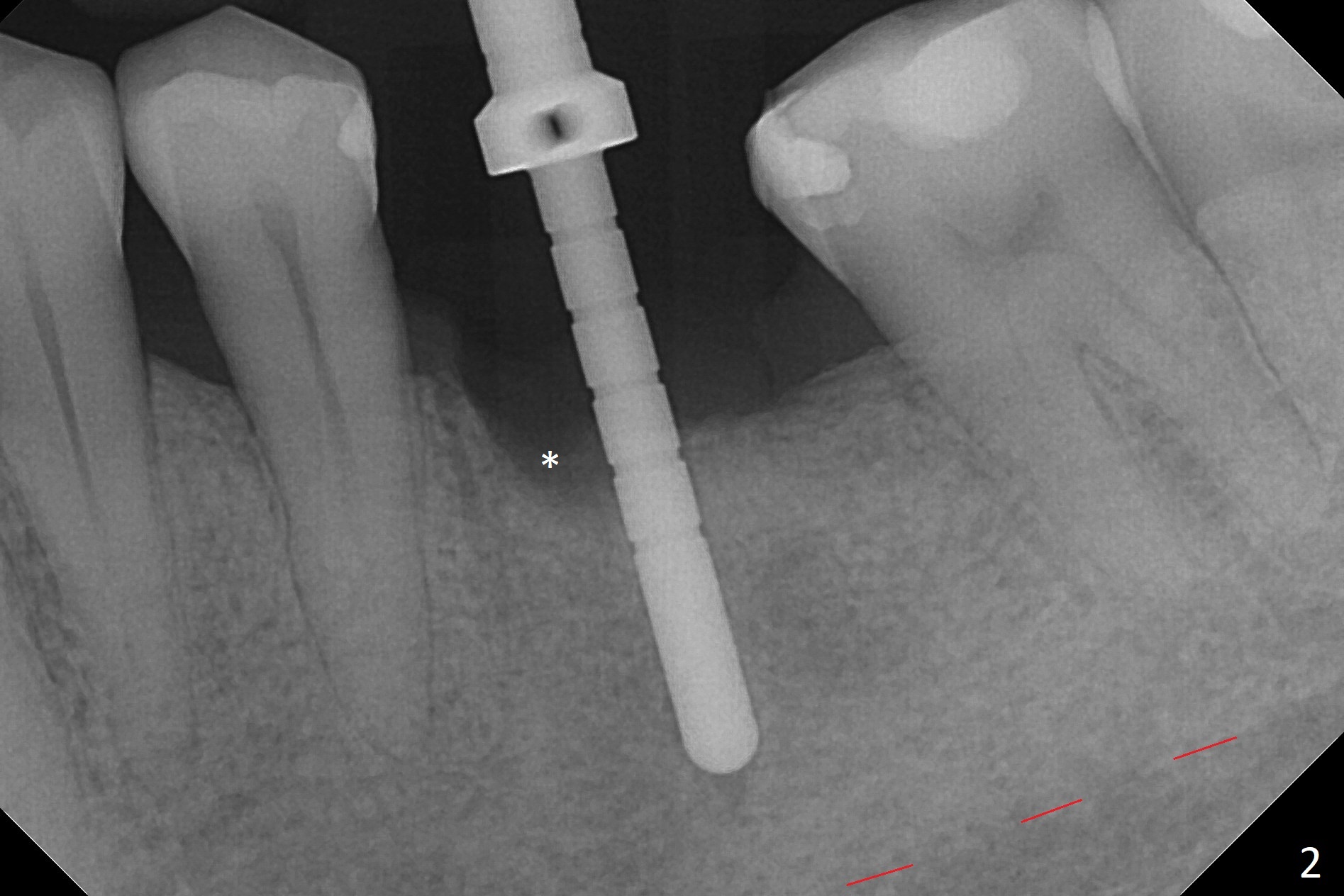
While the mesial ridge is relatively wide associated with residual root at #19 (Fig.1 <), the distal one is narrow (*). Osteotomy is initiated distal to the mesial socket (Fig.2,3 *). Due to the narrow ridge, a 4.5x11 mm implant is placed (Fig.4); before as well as after placement of a 6x4(3) mm abutment, the mesial socket (*) is filled with Vera graft and autogenous bone as well as collagen plug. Following suturing, periodontal dressing is applied to the wound. There is no apparent bone loss 7 months postop (Fig.5,6) or 14 months post cementation (Fig.7). In fact the abutment has been incompletely seated (Fig.5-8), which may be related to #13 failure. The ridge appears to be narrow for the 4.5 mm implant 1.5 years post cementation (Fig.9). When a lady looks skinny with sign of the narrow ridge, choose an implant as narrow as possible.
Return to
Lower
Molar Immediate Implant, Prevent
Molar Periimplantitis (Protocols,
Table),
Armaments, #15
13
Xin Wei, DDS, PhD, MS 1st edition 11/27/2017, last revision 03/21/2020