![]() |
![]() |
![]() |
![]() |
![]() |
![]() |
Septum
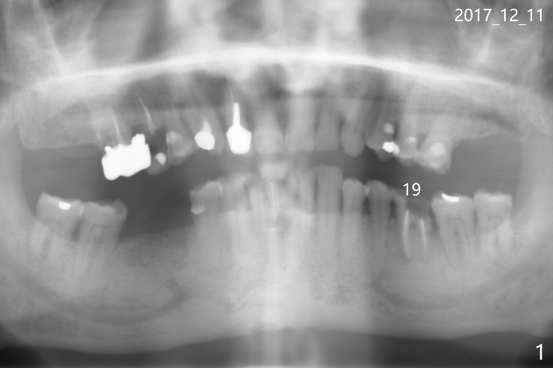
A 73-year-old man (with history of lung cancer with chemotherapy 6 years ago) requests removing the tooth #19 (Fig.1) with the loose mesiolingual fragment (Fig.2 ML). The mesiobuccal plate is low when the tooth is extracted. The septum should provide additional blood supply to bone graft to facilitate healing (Fig.3 S, as compared to the case without it). After placement of 6-month membrane and suturing, acrylic dressing is applied, which is stable 9 days postop (Fig.4 A). The acrylic dressing remains in place 1 month postop (Fig.5). After wiggling, it dislodges fairly easily. The socket heals with slight atrophy (Fig.6).
Return to
Lower Molar
Immediate Implant,
Trajectory
Xin Wei, DDS, PhD, MS 1st edition
07/23/2019, last revision
08/22/2019